PAPER

Leonurine as a dietary compound: Its role in ferroptosis inhibition through Nrf2 signaling pathway activation

Le Qi*, Lili Zhu

Department of Gastroenterology, Anhui Public Health Clinical Center, Hefei City, Anhui Province, China

Abstract

This research explores the potential of leonurine, a component found in motherwort, to inhibit intestinal inflammatory response in patients of inflammatory bowel disease (IBD) through dietary means with a particular emphasis on how it influences the nuclear factor erythroid 2-related factor 2 (Nrf2) signaling pathway. Using colon epithelial cell lines, HT29 and Caco-2, we set up models to study the impact of inflammation, oxidative stress, and apoptosis induced by lipopolysaccharide (LPS). In addition, we employed Nrf2 knockout cell lines to understand its function in a better way. The introduction of leonurine is aimed to evaluate its ability to reduce cell damage and inflammatory reactions by activating the Nrf2–heme oxygenase-1 (HO-1) pathway. Results indicated that LPS exposure led to inflammation, oxidative stress, apoptosis, and potential ferroptosis. It was observed that Nrf2 acted as a suppressor in this scenario; its absence increased cell susceptibility to these challenges. Treatment with leonurine notably decreased inflammation, oxidative stress, and apoptosis; however, these protective effects were significantly reduced in cells lacking Nrf2. This confirms that leonurine can inhibit oxidative stress, inflammatory response, apoptosis, and potential ferroptosis mechanism of colon epithelial cells by activating Nrf2. This study not only enhances our understanding of how leonurine regulates IBD but also highlights the importance of Nrf2 by shedding light on IBD development and potential nutritional approaches for its management.

Key words: ferroptosis, leonurine, Nrf2 signaling pathway

*Corresponding Author: Le Qi, Department of Gastroenterology, Anhui Public Health Clinical Center, No. 100, Huaihai Avenue, Hefei City, Anhui Province 230000, China. Email: qile4022001@163.com

Received: 24 May 2024; Accepted: 2 July 2024; Published: 30 July 2024

DOI: 10.15586/ijfs.v36i3.2630

© 2024 Codon Publications
This is an Open Access article distributed under the terms of the Creative Commons Attribution-NonCommercial-ShareAlike 4.0 International (CC BY-NC-SA 4.0). License (http://creativecommons.org/licenses/by-nc-sa/4.0/)

Introduction

Inflammatory bowel disease(IBD) is a group of chronic inflammatory conditions affecting the gastrointestinal tract (GIT), notably Crohn’s disease and ulcerative colitis (UC) (Baumgart and Carding, 2007). At present, the exact triggers and development process of IBD remain unknown. Studies suggest that IBD develops because of a combination of factors. These factors encompass predisposition impairment to the epithelial barrier, imbalance in gut microbiota composition, and malfunctioning of the intestinal innate immune system. Each factor adds to the nature of IBD, highlighting its origins. This complex causality challenges our comprehension and management of IBD, calling for an approach to research and treatment (Xavier and Podolsky, 2007).

Leonurine has been recognized for reducing inflammation, combating oxidation, and preventing cell death. It regulates the release of agents in parts of the body through various routes, effectively displaying its anti-inflammatory properties. Leonurine’s utilizes two methods to achieve this. First, it directly hinders the activation of toll receptor 4 (TLR4) found on cell surfaces, reducing the expression of different inflammatory agents. Second, it diminishes the function of nuclear factor kappa B (NF-κB), suppressing pathway and decreasing the production of various inflammatory substances. These mechanisms underscore leonurines’ potential as a therapy for conditions marked by inflammation and oxidative pressure (Wojtyniak et al., 2013). In a mouse model of acute endotoxic uveitis, leonurine protected retinal function to a certain extent and reduced inflammatory response and structural damage of uveal by down-regulating NF-κB activity. Leonurine, along with its elements, displays notable anti-inflammatory effects. These effects include blocking tumor necrosis factor-alpha (TNF-α), suppressing NF-κB phosphorylation, and decreasing gene expression related to nitric oxide synthase (NOS) and cyclooxygenase 2 [(COX)-2]. In scenarios involving ischemia, leonurine has shown its capacity to increase levels of nitric oxide (NO) in both blood circulation and heart tissue, lower myocardial endothelin (ET) and malondialdehyde (MDA) levels, and boost superoxide dismutase (SOD) activity. It underscores its potent antioxidant qualities.

In our investigation for this project, we found that leonurine has displayed promising effects in mouse models with IBD. By triggering the nuclear factor erythroid 2-related factor 2–heme oxygenase-1 (Nrf2/HO-1) pathway and blocking the TLR4/NF-κB pathway, leonurine effectively reduces cell death, inflammation, and oxidative stress (OS). These outcomes indicate that leonurine’s two-fold action not only eases clinical manifestations but also targets the root causes of IBD, potentially offering a therapeutic strategy.

Moreover, the results of this research could open up opportunities to explore leonurine as a supplement or pharmaceutical agent for managing chronic conditions involving inflammation and oxidative stress. Its origin from nature and multiple targeted mechanisms make leonurine an appealing candidate for exploration and potential clinical use in conditions where inflammation and oxidative harm play a significant role (Qi et al., 2022). Recent studies have shed light on the role of ferroptosis-related molecules in the development and progression of IBD. Ferroptosis, a type of programmed cell death distinct from apoptosis and necrosis, is driven by the build-up of lipid peroxides. Its relevance in conditions, including inflammatory and autoimmune diseases, is increasingly acknowledged. The interaction between leonurine and ferroptosis pathways presents an area for research. The ability of leonurine to influence these pathways could lead to treatments that target the abnormalities central to IBD. By investigating how leonurine impacts ferroptosis-related molecules, scientists can gain insights into its effects against the inflammatory damage seen in IBD.

Furthermore, the growing recognition of ferroptosis as a mechanism in IBD highlights the importance of exploring how traditional remedies can be combined with pharmacological approaches. Examining both uses and new pharmacological mechanisms offers an understanding of how compounds, such as leonurine, can be optimized for therapeutic purposes.

In the end, this research might lead to more treatments that use the complete benefits of ancient Chinese medicinal ingredients in modern medicine (Xu et al., 2020). However, it remains unclear whether leonurine affects the progression of IBD by regulating ferroptosis. Ferroptosis is a newly discovered form of programmed cell death, and it refers to iron ion-dependent, non-apoptotic, and excessive oxidative necrosis of cells. It is mainly characterized by membrane lipid peroxidation and excessive oxidative stress stimulation caused by iron ion deposition, leading to selective permeability membrane damage and cell death (Xie et al., 2016). Many studies have shown that iron metabolism and lipid peroxidation mediate ferroptosis.

The accumulation of lipid reactive oxygen species (L-ROS) also plays an important role in the ferroptosis process. ROS react with polyunsaturated fatty acids on lipid membrane to generate excess lipid peroxides, causing cell membrane damage and ultimately leading to ferroptosis (Endale et al., 2023). Ferroptosis is involved in the occurrence and development of various diseases, such as ischemia–reperfusion injury, neurological diseases, and cancer (Tang and Kroemer, 2020). Increasing evidence indicates that ferroptosis is closely linked to inflammatory responses. Cell death caused by ferroptosis is an important cause of inflammation in steatohepatitis (Tang and Kroemer, 2020); in a mouse model, systematically deficient of tamoxifen-induced glutathione peroxidase 4 (Gpx4), ferroptosis-related necrotizing inflammation was observed in the kidneys. In the pathogenesis of neoplastic and non-neoplastic colorectal diseases, ferroptosis caused by excessive accumulation of L-ROS is common. In related research on UC, up-regulation or down-regulation of ferroptosis-related signaling molecules was found in intestinal epithelial tissues of UC patients and animal models. More studies have shown that leonurine can alleviate ferroptosis in cisplatin-induced acute kidney injury and alleviate hepatotoxicity caused by overdose of iron via inhibiting ferroptosis (Mao et al., 2020). In these two diseases, leonurine regulates ferroptosis by activating the Nrf2 signaling pathway.

It is clear that leonurine has an important role in Chinese medicine for treating IBD; however, more research is needed to understand its molecular mechanisms. Recent studies have highlighted the importance of ferroptosis-related molecules in the development and progression of IBD. The buildup of lipid peroxides drives ferroptosis, a type of programmed cell death from apoptosis and necrosis. It is increasingly recognized for its involvement in diseases, including autoimmune conditions.

The interaction between leonurine and ferroptosis pathways presents an area for exploration. The ability of leonurine to influence these pathways may lead to treatments targeting the abnormalities underlying IBD. Investigating how leonurine affects ferroptosis-related molecules can enhance our understanding of its effects against the inflammatory damage observed in IBD.

In conclusion, our research, along with the existing literature, supports the idea that leonurine impacts IBD through two mechanisms: activating the Nrf2 signaling pathway and inhibiting ferroptosis. Further research is needed to uncover the processes through which leonurine acts at a cellular level.

This discovery provides knowledge that can help in creating medications for IBD patients, showcasing the promise of leonurine as a potential option for upcoming treatment approaches.

Materials

The cells, reagents, and main instruments used in this study are shown in Tables 13.

Table 1. Details of experimental cells.

Experimental cells Manufacturer
HT-29 human colon cancer epithelial cells Saibaikang (Shanghai) Biotechnology Co. Ltd.
Caco-2 human colon cancer cells Saibaikang (Shanghai) Biotechnology Co. Ltd.

Table 2. Details of reagents and consumables.

Reagents and consumables Manufacturer
Cell counting kit-8 (CCK8) detection kit BIOSS (Beijing, China)
Phosphate-buffered saline (PBS) Hyclone (Utah, USA)
Fetal bovine serum (FBS) BI (Beit-Haemek, Israel)
Trypsin Biyuntian (Shanghai, China)
96-Well plates LabServ (Shanghai, China)
Mitochondrial membrane potential kit (JC-1) Biyuntian (Shanghai, China)
Active oxygen detection kit Biyuntian (Shanghai, China)
Annexin V-FITC/PI apoptosis kit Lianke Biotechnology (Hangzhou, China)
DEPC water Generay Biotech (Shanghai, China)
Novostart SYBR quantitative polymerase chain reaction (qPCR) SuperMix Plus (fluorescent dye) Novoprotein (Shenzhen, China)
PrimeScript™ RT reagent kit with genomic DNA (gDNA) eraser (reverse transcription kit) TaKaRa (Beijing, China)

Table 3. Details of main instruments.

Name Manufacturer
Ordinary PCR machine Hangzhou Lattice Scientific Instruments Co. Ltd (Hangzhou, China).
Low-speed mini centrifuge Haimen Qilin Bell Instrument Manufacturing Co. Ltd (Haimen, China).
High-speed desktop refrigerated centrifuge Anhui Jiawen Instrument Equipment Co. Ltd (Hefei, China).
Micropipette Eppendorf (Hamburg,Germany)
Fluorescence qPCR instrument Thermo Scientific (Waltham, USA)
Microplate mini centrifuge Hangzhou Aosheng Instrument Co. Ltd (Hangzhou, China).
PIKO plate illuminator Thermo Scientific (Waltham, USA)
Ultra-micro-volume spectrophotometer Nanjing Wuyi Technology Co. Ltd (Nanjing, China).

Methods

Cell culture

In the experiment, Caco-2 and HT-29 cells are common colon cancer cells derived from human colon cancer. The structure and function of Caco-2 are similar to those of human small intestinal epithelial cells. Both cell lines are used widely. Many references are demonstrated for culture and drug treatment using these cell lines, presenting certain advantages. However, Caco-2 cells lack complete intestinal tissue morphology, and HT-29 cells are malignant by origin, having a higher glucose consumption rate and impaired glucose metabolism. Therefore, two types of cells were selected for the experiment to improve success rate. Specific steps are as follows.

HT-29 cell culture: recovery, passaging, and cryopreservation

For experiments, McCOY’s 5A medium was used to culture HT-29 cells from 3rd to 5th passages. The cultivation steps are as follows:

Recovery

  1. The water was preheated in a constant temperature water bath to 37°C.

  2. A 15-mL centrifuge tube was prepared, and 5 mL of complete culture medium containing 10% FBS was added; for preheating, the tube was placed in a water bath at 37°C.

  3. Using goggles and thick woolen gloves, the cells were taken out to be resuscitated from liquid nitrogen tank and immediately transferred to cryovials for re-warming in a water bath at a constant temperature of 37°C. The cryovials were shaken to increase re-warming rate.

  4. The thawed cells were transferred from cryovials into a prepared centrifuge tube. After thorough mixing, the tube was centrifuged at 1000 rpm for 5 min.

  5. A T-25 culture flask was prepared; names and dates of cells were labeled, and then 4 mL of complete culture medium was added.

  6. After centrifugation, the supernatant was discarded; the cells were resuspended in 1 mL of complete culture medium and transferred to T-25 cell culture. After mixing, the mixture was transferred to a 5% CO2 incubator for culture. The culture medium was changed when the cells adhered to the wall.

Passaging

  1. Passaging was carried out when the cell confluence reached more than 85%.

  2. The culture bottle lid was opened in a biological safety cabinet, and the culture medium was collected.

  3. After adding 3 mL of sterile 1× PBS into the culture bottle, it was placed horizontally so that PBS could infiltrate all areas on the bottom of the bottle. PBS was then absorbed and discarded.

  4. Digestive juice, 1 mL, was added to the bottle. When digestive juice infiltrated the bottom surface, it was placed in a 37°C CO2 incubator for 1–2 min.

  5. After incubation, an inverted microscope was used to observe whether the cells became round and float. If all cells were digested, 2 mL of complete culture medium containing 10% FBS was added directly to the culture flask, and the suspension was transferred into a 15-mL centrifuge tube.

  6. The tube was centrifuged at 1000 rpm for 5 min.

  7. Two new T-25 culture bottles were prepared, and 4 mL of complete culture medium was added.

  8. After centrifugation, the supernatant was discarded, and the centrifuged cells were resuspended in 2 mL of complete culture medium. The resuspended cells were transferred into two T-25 culture bottles, 1 mL in each culture bottle.

  9. The culture bottle was placed horizontally; after shaking and mixing, the culture bottle was placed in a 5% CO2 incubator at 37°C for static culturing.

Cryopreservation

Half of the medium was refreshed 1 day before cryopreservation. By the next day, the cells should grow to 80–90%. The cryopreservation medium was prepared in the following ratio: complete culture medium–serum–dimethyl sulfoxide (DMSO) = 6:3:1.

Steps 1–6 are the same as described in Section 3.1.1.2 (Passaging procedure).

7. After centrifugation at 1000 rpm/min for 5 min, the supernatant was discarded. A small amount of cells was counted; cell concentration was calculated; and cells were diluted in the proportion range of 1×106–3×106/mL, 1 mL per tube. The cell type and date were labeled.

8. Cryogenic tube was transferred to a programmed cooling box filled with isopropyl alcohol and placed in a refrigerator to cool down overnight at –80°C.

9. Next day, the cryogenic tubes were taken out from sequential cooling box and immediately transferred to a liquid nitrogen tank for storage.

Caco-2 cell culture: recovery, passaging, and cryopreservation

Caco-2 cells were cultured in minimum essential basal medium (MEM) from 3rd to 5th passages for experiments.

Recovery

  1. The water was preheated in a water bath at a constant temperature of 37°C.

  2. The cells to be resuscitated from liquid nitrogen tank were removed and immediately transferred to a constant-temperature water bath for re-warming. Cryopreservation tube was shaken continuously to increase re-warming rate.

  3. The thawed cryovial was transferred with a pipette to a 15-mL centrifuge tube containing 5 mL of complete culture medium. After thorough mixing, the tube was centrifuged at 300 ×g for 5 min.

  4. The supernatant was discarded after centrifugation. The cells were resuspended in 1 mL of complete culture medium and transferred to T-25 cell culture; 4 mL of complete culture medium was added and the bottle was placed in a CO2 incubator for culture.

Passaging

  1. Cells that required to be passaged were removed from CO2 incubator. The lid of the culture bottle was opened in a biological safety cabinet, and culture medium in the bottle was discarded.

  2. Sterile 1× PBS, 3 mL, was added to the culture, and culture bottle was placed horizontally. The PBS was discarded after rotating and shaking of culture bottle so that PBS could infiltrate the entire area of culture plane.

  3. Step 2 was repeated, and 2 mL of digestive juice was added to the bottle. After slight shaking, the bottle was placed in a 37°C CO2 incubator for 1 min.

  4. After incubation, an inverted microscope was used to observe whether the cells became round and float. If some cells were present that were not digested, a pipette was used to remove digestive juice in bio-safety cabinet and clean culture surface.

  5. To terminate digestion, 3 mL of complete culture medium was added to the culture flask containing digesting cells. Then liquid in the culture flask was transferred to a 15-mL centrifuge tube for centrifugation at 300 ×g for 5 min.

  6. The supernatant was discarded after centrifugation, and the cells were resuspended in 2 mL of complete culture medium. The resuspended culture medium was transferred to two T-25 culture bottles, 1 mL in each bottle. Complete medium, 4 mL, was added to each culture bottle in advance.

  7. Culture bottles were placed horizontally and rotated and shaken for even distribution of cells on culture plane. Finally, the bottles were placed in a CO2incubator for culture.

Cryopreservation

  1. Cells to be frozen were removed from CO2 incubator. The lid of the culture bottle was opened in a biological safety cabinet and culture medium in the bottle was discarded.

  2. Sterile 1× PBS, 3 mL, was added to the culture bottle and placed horizontally. The culture bottle was rotated and shaken so that the PBS could infiltrate the entire area of culture plane.

  3. Step 2 was repeated, and 2 mL of digestive juice was added to the bottle. After slight shaking, the bottle was placed in a 37°C CO2 incubator for 1 min.

  4. After incubation, an inverted microscope was used to observe whether the cells became round and float. If some undigested cells were still present, a pipette was used to remove digestive juice in a bio-safety cabinet and clean culture surface.

  5. To terminate digestion, 3 mL of complete culture medium was added to culture flask containing digesting cells. Then the liquid in culture flask was transferred to a 15-mL centrifuge tube for centrifugation at 300 ×g for 5 min.

  6. After centrifugation, the supernatant was discarded and the cell pellet was resuspended in 1 mL of cryopreservation solution. The solution was transferred to a 1.8-mL cryopreservation tube.

  7. The cryogenic tube was transferred to a programmed cooling box filled with isopropyl alcohol and placed in a refrigerator at –80°C to cool down overnight.

  8. Next day, the cryogenic tube was taken out and immediately transferred to a liquid nitrogen tank for storage.

Establishing IBD cell model

Lipopolysaccharide (LPS) treatment of HT-29 and Caco-2 cells for modeling

Detailed step: LPS (final concentration: 1 μg/mL) was added to the HT-29 and Caco-2 cell culture media and cultured for 15 h.

CCK8 detection of cell proliferation activity

CCK8 was used to detect cell proliferation in HT-29 cells, thereby determining the optimal concentration and time of leonurine treatment.

Detailed steps are as follows:

  1. After termination, the logarithmic phase cells were digested with trypsin and collected by centrifugation. Cells were resuspended. The concentration was adjusted to 5 × 104/mL for cell counting.

  2. After gently mixing the prepared cell suspension, 100 μL of leonine solution was added to each well (5 μL, 10 μL, 20 μL, 40 μL, and 80 μL each); each well up to the edges was filled with sterile PBS.

  3. The seeded cell culture plate was placed in an incubator until the cell monolayer covered the bottom of the well (96-well flat-bottom plate).

  4. The plate was incubated at 5% CO2 overnight at 37°C, and an inverted microscope was use for observations.

  5. After performing culture for different periods (0 h, 24 h, 48 h, and 72 h), 10-μL CCK8 was added to each well, and the culture continued for 3 h. The absorbance value of each well was measured at OD 450 nm using a microplate reader. The values were exported to statistical software for subsequent analysis.

CCK8 was used to detect cell proliferation in Caco-2 cells, thereby determining the optimal concentration and time of leonurine treatment. Specific steps were the same as those mentioned above in Section 3.3.

Reverse transcription-quantitative polymerase chain reaction (RT-qPCR) screening of siRNA–Nrf2 sequences

See Table 4.

Table 4. RT-qPCR primer sequences.

Name Forward primer (5'→3') Reverse primer (5'→3')
Nrf2 CCCTGGAGAAGAGCTACGAG GGAAGGAAGGCTGGAAGAGT
β-actin CGCAGACATTCCCGTTTGTA AGCAATGAAGACTGGGCTCT

Group 1

See Table 5.

Table 5. Grouping method.

A Normal group (HT-29 + CD4 + activated T cells)
B Model group (HT-29 + CD4 + activated T cells + TNF-a)
C Model + siRNA–negative control (NC) group
D Model + siRNA–Nrf2-1
E Model + siRNA–Nrf2-2
F Model + siRNA–Nrf2-3

The detailed steps are as follows:

  1. Activated CD4+T cells were inoculated into a transwell chamber at 6 × 105 cells/well.

  2. HT-29 cells were digested. After termination of digestion, the culture medium was centrifuged and discarded. The cells were washed twice with PBS, resuspended in culture medium, and inoculated into a 6-well plate at 3 × 105 cells/well. The model group was stimulated by TNF-α (10 ng/mL) after the cells adhered to the wall.

  3. The cells in upper and lower chambers were co-cultured at a ratio of 2:1 and placed in an incubator for 24 h. When the cell confluence was observed to reach 70–90%, an appropriate amount of LPS was added according to the requirements of each group.

  4. The transwell chamber in each well was removed, and the cells were transfected according to the requirements of each group. Transfection steps are in Table 6.

  5. After culture was performed for 24 h in a 5% CO2 incubator at 37°C, cells were collected for RT-qPCR analysis, which was conducted to screen siRNA–Nrf2 sequences.

Table 6. Treatment methods for each group.

A Blank control = IBD (HT29 + LPS) After adding LPS, cultured for 24 h without treatment
B IBD + siRNA–Nrf2–NC After adding LPS, the cells were transfected with siRNA–Nrf2–NC and cultured for 24 h
C IBD + siRNA–Nrf2-1 After adding LPS, the cells were transfected with siRNA–Nrf2-1 and cultured for 24 h
D IBD + siRNA–Nrf2-2 After adding LPS, the cells were transfected with siRNA–Nrf2-2 and cultured for 24 h
E IBD + siRNA–Nrf2-3 After adding LPS, the cells were transfected with siRNA–Nrf2-3 and cultured for 24 h

Group 2

Detailed steps: Except that the target cells were changed to Caco-2, the steps were the same as mentioned above in Section 3.4.1.

siRNA–Nrf2 transfection

After selecting optimal siRNA–Nrf2 in Section 3.4, the target Nrf2 was transfected (see Table 7).

Table 7. siRNA–Nrf2 transfection sequence.

Gene Sequence
Sense (5'-3') Antisense (5'-3')
NC UUCUCCGAACGUGUCACGUTT ACGUGACACGUUCGGAGAATT
siRNA-Nrf2-1# AGAUAUAGAUCUUGGAGUAAG UACUCCAAGAUCUAUAUCUUG
siRNA-Nrf2-2# CAGUCUUCAUUGCUACUAAUC UUAGUAGCAAUGAAGACUGGG
siRNA-Nrf2-3# CCUGCUUUAUAGCGUGCAAAC UUGCACGCUAUAAAGCAGGAA

The detailed steps are as follows:

  1. 100-pmol siRNA was diluted with 250 μL serum-free medium (5 μL was taken after diluting lyophilized powder with 125-μL diethylpyrocarbonate (DEPC; RNase-free) water and mixed gently.

  2. Lipofectamine 2000 was shaken gently before use; 5 μL of lipofectamine 2000 was then diluted in 250 μL of medium and incubated at room temperature for 5 min.

  3. The siRNA diluted in the above-mentioned two steps was mixed with lipofectamine 2000 (to make the total volume of 500 μL). After gentle mixing, the mixture was left at room temperature for 20 min.

  4. 500-μL transfection solution was added to each well of cells, and the plate was shaken gently. Gene expression was discovered after culture was performed at 37°C for 24 h (see Tables 89).

Table 8. Cell seeding density.

Cell density Culture medium
(μL/well)
96-Well plate 1.5–5.0 × 104 100 μL
24-Well plate 8.0 ×104–2.0 × 105 500 μL
12-Well plate 1.6 ×105–4.0 × 105 1.0 mL
6-Well plate 3.0 × 105–8.0 × 105 2.0 mL

Table 9. Details of cell transfection.

Culture material Area per well Inoculation medium Opti-MEM for dilution siRNA transfection DNA transfection
siRNA Lipofectamine 2000 DNA Lipofectamine 2000
96-Well plates 0.3 cm2 100 μL 2 × 25 μL 5 pmol 0.25 μL 0.2 μg 0.5 μL
24-Well plate 2 cm2 500 μL 2 × 50 μL 20 pmol 1.0 μL 0.8 μg 2.0 μL
12-Well plate 4 cm2 1 mL 2 × 100 μL 40 pmol 2.0 μL 1.6 μg 4.0 μL
6-Well plate 10 cm2 2 mL 2 × 250 μL 100 pmol 5 μL 4.0 μg 10 μL
60 mm 20 cm2 5 mL 2 × 0.5 mL 200 pmol 10 μL 8.0 μg 20 μL
10 cm 60 cm2 15 mL 2 × 1.5 mL 600 pmol 30 μL 24 μg 60 μL

Treatment groups

Cells of treatment groups were treated with the optimal concentration + time of leonurine obtained in Section 3.3 and the siRNA-Nrf2 obtained in 3.4. The groups were set as follows:

Group 1: HT-29 group (detailed transfection steps were the same as mentioned above in Section 3.5) (see Table 10).

Table 10. Transfection details of each group in HT-29 cells.

Group A Blank control = (HT-29) Cells were not treated
Group B Blank control + LPS = IBD After adding LPS, it was incubated for 24 h
Group C IBD + siRNA–Nrf2-NC After adding LPS, siRNA–Nrf2-NC was transfected and cultured for 24 h
Group D IBD + siRNA–Nrf2 After adding LPS, siRNA–Nrf2 transfection was performed and cultured for 24 h
Group E IBD + leonurine treatment After LPS was added, an appropriate amount of leonurine was added, and the cells were cultured for 24 h
Group F IBD + siRNA-Nrf2 + leonurine treatment After adding LPS, siRNA-Nrf2 transfection was performed, and an appropriate amount of leonurine was added. The cells were cultured for 24 h

Group 2: Caco-2 group (detailed transfection steps were the same as mentioned above in Section 3.5) (see Table 11).

Table 11. Transfection details of each group in Caco-2 cells.

Group A Blank control = (Caco-2) Cells are not processed
Group B Blank control + LPS = (IBD) After adding LPS, incubate for 24 h
Group C IBD + siRNA-Nrf2-NC After adding LPS, siRNA-Nrf2-NC was transfected and cultured for 24 h
Group D IBD + siRNA-Nrf2 After adding LPS, siRNA-Nrf2 transfection was performed, and the cells were cultured for 24 h
Group E IBD + leonurine treatment After adding LPS, an appropriate amount of leonurine was added, and the cells were cultured for 24 h
Group F IBD + siRNA-Nrf2 + leonurine treatment After adding LPS, siRNA-Nrf2 transfection was performed, and an appropriate amount of leonurine was added. The cells were cultured for 24 h

Tissue and specimen collection

CCK8 detection of cell viability in two groups

The steps were the same as in Section 3.3, and the cell viability of each group was discovered separately.

Detection of mitochondrial membrane potential (JC-1)

Cells from each group were collected and counted. The cells were resuspended with 500-μL JC-1 staining solution. The solution was incubated at 37°C in a 5% CO2 incubator for 20 min. The solution was centrifuged at 600 × g for 4 min to collect cells, and the cells were washed twice with JC-1 staining buffer. The cells were then resuspended in an appropriate amount of JC-1 staining buffer. Flow cytometry was used for analysis and the data were exported to statistical software for analysis.

ROS detection

Cells from each group were collected, and the cell concentration was adjusted to (1–10) × 106. 2'−7'-Dichlorodihydrofluorescein diacetate (DCFH-DA, 10 μmol/L) was added to cell culture and incubated at 37°C for 20 min. The culture was shaken every 5 min to ensure probe and cells were fully interacted. Unstained cells were set as negative cell controls. The cells were washed twice with PBS to remove DCFH-DA that had not entered the cells, and flow cytometry was used to observe ROS.

Detection of cell apoptosis by flow cytometry

Cells were collected by centrifugation. After digestion, another round of centrifugation was performed to collect cells. Cells were washed with cold PBS. A total of 1–10 × 105 cells (including cells in culture supernatant) were collected. 5× Binding buffer was diluted with double-distilled water to prepare 1× working solution; 500 μL of 1× binding buffer was used to suspend cells, and 5-μL Annexin V-FITC and 10-μL propidium iodide (PI) were added to each tube. After gentle mixing with vortex, the solution was incubated at room temperature in dark for 5 min. Flow cytometry was performed using the experimental method. The data were exported to statistical software for analysis.

Western blot analysis

The steps were the same as in the first part of the experiment. The levels of apoptosis-related molecules BAX, BCL-2, cleaved caspase-3, and the levels of Nrf2 signaling pathway-related molecules Nrf2 and HO-1 in the cell supernatants of each group were observed.

Enzyme-linked immunosorbent serological assay (ELISA) analysis

ELISA kit was used according to manufacturer’s instructions to measure the concentrations of TNF-α, interleukin 6 (IL-6), and interleukin 1β (IL-1β) in the cell culture supernatant of each group.

Determination of glutathione (GSH), MDA, SOD, and iron (Fe) ions

Cell supernatant was collected from each group. Relevant kits were used to measure GSH, MDA, and SOD activities as well as level of Fe ions of cells in each group according to instructions.

Statistical analysis

This study’s quantitative analyses and plotting were performed using GraphPad Prism (Prism 6.0 for Windows). For comparison between groups, analysis of variance (ANOVA) was used, followed by post hoc analysis using Tukey’s test. All values were expressed as group mean ± standard error of the mean (SEM); p < 0.05 was considered as statistically significant, compared to the blank control group + LPS group.

Results

The screened optimal siRNA knockout sequence is siRNA–Nrf2-2

RT-qPCR was used to discover the mRNA expression level of Nrf2 in group 1 (HT-29) and group 2 (Caco-2) and the optimal siRNA knockout sequence was screened. The results showed no difference between negative control (NC) and IBD in the two groups of cells, indicating that the siRNA vector did not affect the mRNA expression of Nrf2. After transfection with the siRNA plasmid of Nrf2, its expression level was significantly down-regulated, compared to the NC group; siRNA–Nrf2-2’s down-regulating effect was most pronounced (Figure 1). Therefore, siRNA–Nrf2-2 was selected for subsequent experiments.

Figure 1. Screening for optimal siRNA knockout sequences.

CCK8 detection determined that the optimal concentration of cellular motherwort was 20 μM and optimal time was 24 h

CCK8 was used to detect cell viability in group 1 (HT-29) and group 2 (Caco-2). The results showed that the cell viability of two groups increased after leonurine treatment. Cell viability increased if 20-, 40-, and 80-μM leonurine was added. No significant difference was observed in cell viability at 24 h, 48 h, and 72 h after treatment (Figure 2). Therefore, treating cells with 20 μM of leonurine for 24 h was determined.

Figure 2. CCK8 screening for optimal concentration and duration of action of leonurine in HT-29 cells.

Leonurine can increase cell viability by activating Nrf2

In our research, we studied how cells survived in two groups: group 1 had HT29 cells and group 2 had Caco-2 cells. We used CCK8 test to measure cell survival, a way to determine the number of living cells based on their metabolic functions.

When exposed to LPS, a toxin linked to inflammation, both group 1 (HT29) and group 2 (Caco-2) cells showed survival, compared to untreated samples. This drop in cell survival indicated that LPS affected cell health, aligning with its inflammatory nature.

We also studied how silencing Nrf2 using siRNA affected cell survival. We found that using siRNA–Nrf2 led to a decrease in cell survival, compared to the conditions observed in IBD, suggesting that Nrf2 had a role in protecting cell viability during inflammation.

On the other hand, adding leonurine, a compound known for its antioxidant properties, boosted cell survival in both groups of cells (Figure 3). This finding suggested leonurine’s ability to shield against damage through its antioxidant effects.

Figure 3. Cell viability of each group in CCK8 detection.

When leonurine was imparted with siRNA–Nrf2, we noticed a drop in cell viability, compared to the cells treated with leonurine. This discovery implied that leonurine’s positive effects on cell viability could be influenced by activating Nrf2 signaling pathway. Essentially, leonurine could be protecting cells by boosting Nrf2 activity, which helped them withstand stressors.

These findings highlighted the potential of using leonurine to reduce inflammation-induced harm by adjusting Nrf2-mediated antioxidant responses. It’s important to explore molecular interactions between leonurine and Nrf2 signaling pathways to understand its complete therapeutic benefits in inflammatory conditions as in IBD.

Leonurine alleviated mitochondria-mediated apoptosis by activating Nrf2

In our study, we analyzed the membrane potential (MMP) of cells in group 1 (HT29) and group 2 (Caco-2) using the JC-1 assay, a method for evaluating mitochondrial health and function.

When exposed to LPS, a substance linked to inflammation, both group 1 and group 2 cells showed an increase in MMP, compared to samples. This increase in MMP suggested a reaction to stress caused by LPS, which indicated an adaptive mechanism to improve mitochondrial function during inflammatory conditions.

Additionally, we investigated the effects of siRNA-mediated down-regulation of Nrf2 on MMP. Interestingly, introducing siRNA–Nrf2 led to an elevation in MMP compared to the conditions mimicking IBD. This discovery suggested Nrf2 potentially playing a role in controlling function; inhibiting it resulted in MMP levels probably contributing to cellular stress and apoptosis.

Conversely, treating both cell groups with leonurine resulted in decreased MMP. This reduction suggested that leonurine offered protection against dysfunction and apoptosis due to its properties.

When leonurine and siRNA–Nrf2 were imparted together, we noticed an increase in MMP, compared to the cells treated with leonurine (Figure 4). This discovery implied that blocking Nrf2 worsened mitochondria, which triggered cell death, as shown by MMP levels. Conversely, increase in MMP observed with leonurine suggested that leonurine could ease mitochondria-triggered cell death by activating Nrf2 pathway.

Figure 4. JC-1 discovered the mitochondrial membrane potential of cells.

These findings emphasized the relationship between Nrf2 signaling, mitochondrial function, and regulating cell death. Adjusting Nrf2 activity substances, such as leonurine, could offer hope in reducing stress and cell death linked to inflammation. Further understanding of the mechanisms involved in these interactions is crucial for creating treatment strategies focused on protecting mitochondrial function and enhancing cellular resilience during inflammatory diseases.

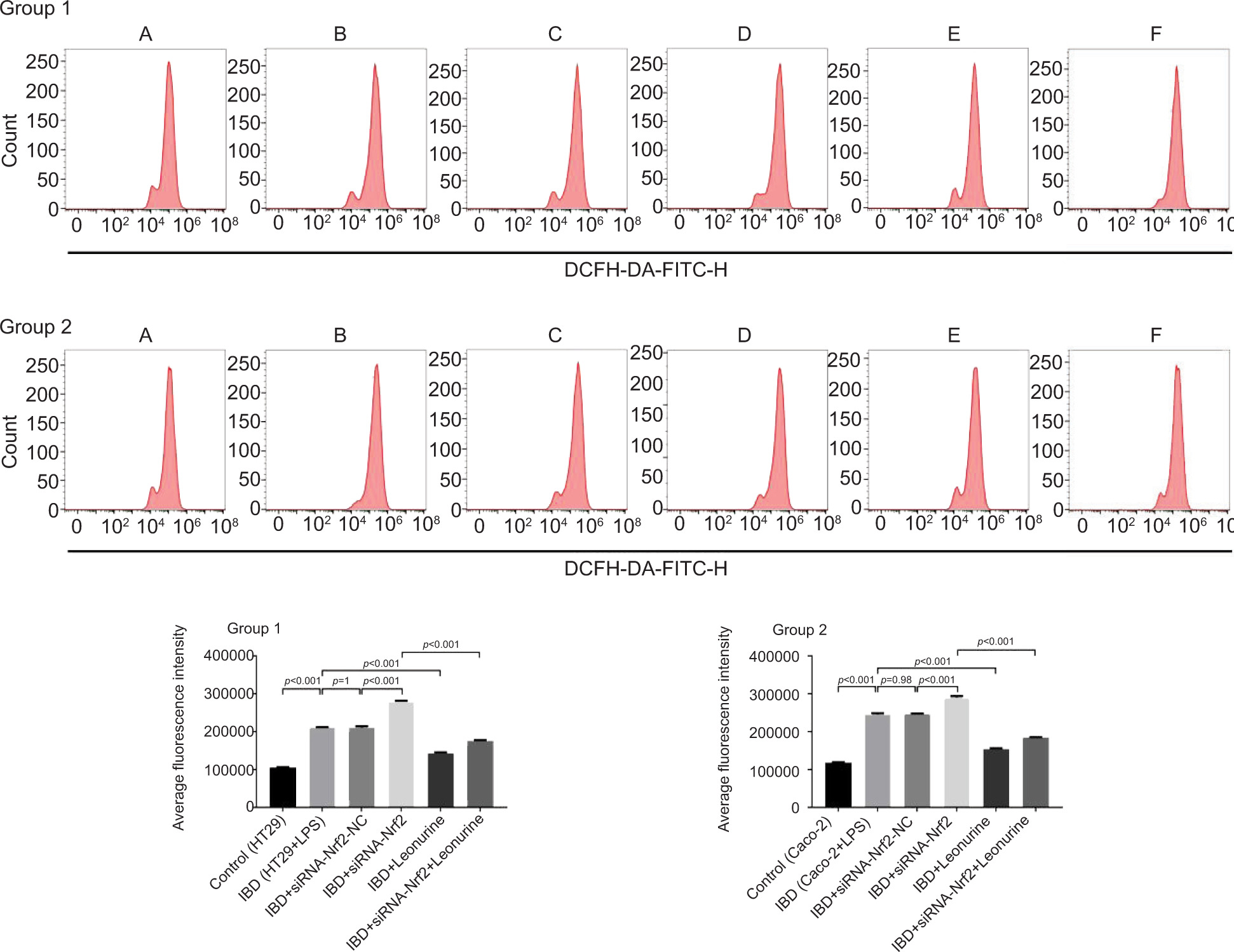
Leonurine can reduce cellular ROS levels by activating Nrf2

During our study, we used flow cytometry to measure ROS in both cell groups: group 1 (HT29) and group 2 (Caco-2). ROS is a stress marker, a condition linked to inflammation and cell harm.

When exposed to LPS, both group 1 and group 2 cells showed an increase in ROS levels, compared to samples. This rise in ROS suggested a response to stress potentially triggered by the inflammatory effect of LPS.

We also looked at how reducing Nrf2 using siRNA impacted ROS levels. Interestingly, using siRNA–Nrf2 led to higher ROS levels than in conditions mimicking IBD. This discovery indicated Nrf2’s role in managing redox balance; blocking it worsened oxidative stress and increased ROS production.

On the other hand, adding motherwort caused a drop in ROS levels in both cell groups. This decrease signified motherwort’s antioxidant effect, which could help combat stress and shield cells from harm.

When we gave leonurine with siRNA–Nrf2, we noticed that ROS levels increased, compared to those of cells treated with leonurine only (Figure 5). This finding indicated that blocking Nrf2 activity could lead to an increase in ROS levels, which might worsen stress and cell damage. On the other hand, decrease in ROS levels when leonurine was present suggested that leonurine could help reduce stress by activating Nrf2 signaling pathway.

Figure 5. ROS detection.

These findings highlighted the importance of Nrf2-mediated antioxidant defenses for maintaining a balance of redox in cells and shielding them from harm. Substances such as leonurine are potential treatments for easing stress in diseases linked to inflammation by boosting Nrf2 activity. Further research on how Nrf2 signaling interacts with oxidative stress is needed to understand how Nrf2 activators could be used to combat inflammatory conditions.

Leonurine can reduce the level of apoptosis by activating Nrf2

According to flow cytometry analysis of group 1 (HT-29) and group 2 (Caco-2), the research results showed that adding LPS to the cells of both groups increased the apoptosis levels of both groups. Compared to IBD, the level of apoptosis increased after adding siRNA–Nrf2; and the level of apoptosis decreased after adding motherwort. Compared to cells treated with leonurine, simultaneous addition of siRNA–Nrf2 increased the level of apoptosis (Figure 6), indicating that inhibiting Nrf2 could aggravate apoptosis and leonurine could reduce the level of apoptosis by activating Nrf2.

Figure 6. Flow cytometry detection.

Leonurine can inhibit apoptosis by activating Nrf2

Group 1 (HT-29) and group 2 (Caco-2) were assessed by Western blot analysis. The results showed that addition of LPS to both groups of cells increased the expression levels of Bax and cleaved caspase-3 proteins but decreased the expression levels of Bcl-2 proteins. Compared to IBD, addition of siRNA–Nrf2 also increased the expression levels of Bax and cleaved caspase-3 proteins but decreased the expression level of Bcl-2 proteins. However, addition of leonurine decreased the protein expression levels of Bax and cleaved caspase-3 but increased the expression level of Bcl-2 protein. Compared to the cells treated with leonurine, simultaneous addition of siRNA–Nrf2 increased the expression levels of Bax and cleaved caspase-3 proteins and decreased the expression level of Bcl-2 protein (Figure 7), indicating that leonurine could activate Nrf2 to inhibit apoptosis.

Figure 7. Western blot detection of apoptosis related proteins.

Leonurine can activate the cellular Nrf2/HO-1 signaling pathway

The levels of HO-1 and Nrf2 were measured in group 1 (HT-29) and group 2 (Caco-2) cells using Western blot analysis. The results of the two groups showed that the expression levels of Nrf2 and HO-1 proteins reduced in cells after adding LPS. Compared to IBD, the protein expression levels of Nrf2 and HO-1 reduced after adding siRNA–Nrf2; however, the protein expression levels of Nrf2 and HO-1 increased after adding leonurine. Compared to the cells treated with leonurine, simultaneous addition of siRNA–Nrf2 reduced the expression levels of Nrf2 and HO-1 proteins (Figure 8), indicating that leonurine may be able to activate the cellular Nrf2/HO-1 signaling pathway.

Figure 8. Western blot detection of Nrf2/HO-1 signaling pathway.

Leonurine can increase the levels of cellular inflammatory factors by activating Nrf2

In our research, we used ELISA to measure the levels of markers, such as IL-6, IL-1β, and TNF-α, in cells of group 1 (HT29) and group 2 (Caco-2). These markers are important in triggering inflammation. It can be disrupted in inflammatory conditions.

When we exposed group 1 and group 2 cells to LPS, the levels of IL-6, IL-1β, and TNF-α increased, compared to untreated cells. This rise in markers indicated that an inflammatory response was activated within cells because of LPS stimulation.

Additionally, we studied how reducing Nrf2 with siRNA affected the levels of these markers. Interestingly, when we introduced siRNA–Nrf2, there was an increase in IL-6, IL-1β, and TNF-α levels, compared to the conditions mimicking IBD (Figure 9). This discovery implied that Nrf2 had a role in regulating inflammation, as its suppression worsened the release of inflammatory molecules. On the other hand, using motherwort extract decreased the levels of IL-6, IL-1β, and TNF-α in both groups of cells. This decline in markers suggested that motherwort might have inflammatory properties that could help reduce inflammation-related issues.

Figure 9. ELISA detected the levels of lL-6, lL-1β, and TNF-α in cells.

Interestingly, when leonurine was given with siRNA–Nrf2, an increase in IL-6, IL-1β, and TNF-α was observed, compared to the cells treated with leonurine. This finding indicated that blocking Nrf2 activity could worsen the response, as shown by the levels of inflammatory markers. In contrast, decrease in these markers when leonurine was present suggested that leonurine possibly dampened inflammation by activating Nrf2 pathway.

These findings underlined how Nrf2 signaling pathway interacted with regulating responses. Substances such as leonurine showed potential as treatments for reducing inflammation through Nrf2 modulation. Further research in understanding how Nrf2 signaling and inflammation interacted at a level is essential to understanding the therapeutic benefits of Nrf2 activators for inflammatory conditions.

Leonurine can reduce oxidative stress in cells by activating Nrf2

The cell oxidative stress index was measured in groups 1 (HT-29) and 2 (Caco-2) cells. The results showed that MDA level of cells increased and SOD and GSH levels decreased by adding LPS to both groups, which was consistent with IBD. Compared to cell cultures with addition of siRNA–Nrf2, the MDA level was higher, and the SOD and GSH levels were lower. However, addition of leonurine decreased MDA level but increased SOD and GSH levels. Compared to the cells treated with leonurine, the MDA level was increased but SOD and GSH levels were reduced when siRNA–Nrf2 was added simultaneously (Figure 10). The above results showed that leonurine increased the levels of reactive oxygen scavengers, such as SOD and GSH, in cells but reduced oxidative stress product MDA, suggesting that motherwort could reduce LPS-induced oxidative stress by activating Nrf2 and increasing reactive oxygen scavengers.

Figure 10. Measurement of MDA, SOD, and GSH levels.

Leonurine can increase cellular Fe levels by activating Nrf2

Fe levels of group 1 (HT-29) and group 2 (Caco-2) cells were measured. The results showed that the cellular Fe levels of both groups decreased by adding LPS. Compared to IBD, cellular Fe levels decreased by adding siRNA–Nrf2 but increased by adding leonurine. Compared to the cells treated with leonurine, the cellular Fe levels decreased by simultaneous addition of siRNA–Nrf2 (Figure 11), showing that leonurine could increase Fe levels of cells by activating Nrf2.

Figure 11. Detecting Fe ions.

Discussion

Inflammatory bowel disease, a chronic state of gastrointestinal inflammation, is mainly divided into Crohn’s disease (CD) and UC. Globally, the prevalence of IBD continues to increase, and its chronic relapses and unpredictable nature result in expensive medical costs, imposing a huge economic burden on society. The pathophysiological mechanism of IBD is still unclear, and excessive intestinal epithelial cell (IEC) death may be one of the pathogenesis of IBD. Recently, cellular ferroptosis was observed to be involved in the development and progression of IBD and could become a new therapeutic target.

Ferroptosis is a novel mode of programmed cell death that is different from apoptosis, necrosis, and autophagy at cellular morphology, biochemical characteristics, and genetic levels, as it is characterized by the iron-dependent accumulation of lipid peroxidation reaching lethal levels (Kong et al., 2023). Ferroptosis was first observed in tumor cells as a unique and novel form of cell death (Xia et al., 2019). With progress in research, it is found that in addition to tumors, the development and progression of various diseases are related to ferroptosis (Capelletti et al., 2020; Mao et al., 2020; Ren et al., 2020; Stockwell et al., 2020). Recent studies have shown that ferroptosis is a key regulatory mechanism in intestinal diseases, and inhibiting ferroptosis is expected to become a new direction in preventing and treating IBD.

Ferroptosis, a type of controlled cell death, is known for the buildup of lipid peroxidation byproducts and reduction of membrane polyunsaturated fatty acids (PUFA). This process is fueled by iron-triggered lipid peroxidation, leading to excess ROS and eventual cell demise. The origins of ROS in ferroptosis involve both heightened production and insufficient removal mechanisms.

In the realm of IBD, such as UC, imbalanced iron regulation and oxidative stress are key players in worsening intestinal inflammation and tissue harm. Iron chelators, substances that bind to and isolate iron, have emerged as treatments for lessening ROS buildup and supporting the repairing of epithelial cells in UC patients.

Research indicates that iron chelators effectively lower ROS levels by restricting iron availability, thus curbing iron-induced lipid peroxidation and easing cell death. This decrease in stress relieves tissue damage and aids in the renewal and restoration of intestinal epithelial cells, ultimately enhancing clinical manifestations and outcomes for UC patients.

Addressing UC iron chelators’ disrupted iron regulation and oxidative stress provides a strategy for reducing inflammation and fostering tissue recovery.

Their capacity to regulate ferroptosis showcases the significance of comprehending the processes that govern cell death pathways in development of IBD. It also emphasizes the effectiveness of treatments focusing on iron balance and oxidative stress in managing UC (Chieppa et al., 2017). High dietary iron supplementation exacerbates UC manifestations (Kobayashi et al., 2019). Ferroptosis was observed in UC mouse models as well, and manifestations were alleviated by targeted inhibition of ferroptosis (Xu et al., 2020). These findings further confirmed that inhibiting ferroptosis could be a new target for alleviating IBD. In IBD, excessive production of ROS by the colorectal mucosa could lead to changes in cellular proteins, lipids, and nucleic acids, leading to various cellular dysfunctions and thus affecting the disease process (Bhattacharyya et al., 2014). Excess-free iron exacerbates oxidative activity within the intestinal epithelium through multiple mechanisms. First, hydrogen peroxide and ferrous ions generate directly large amounts of ROS through the Fenton reaction. In addition, iron overload not only leads to an imbalance of ROS production but also interferes with intestinal bacteria, thereby exacerbating enteritis (Qi et al., 2020). Although ferroptosis accompanied by iron overload is found in UC, iron chelators can significantly reduce ROS and improve UC manifestations. Therefore, the studies emphasized the pathological role of iron overload in the development of IBD; that is, iron deposition in the intestine can lead to severe oxidative stress and promote the production of ROC through the Fenton reaction. As a result, ferroptosis was initiated, stimulating the release of damage-associated molecular patterns (DAMPs) and causing intestinal immune and inflammatory responses, which affect the progression of IBD. This study used LPS-treated HT-29 and Caco-2 cells to simulate inflammatory scenario in IBD intestinal cells. The cells in the IBD group showed increased expression of ROS levels, increased cell death, decreased cell viability, and higher levels of inflammatory factors. Meanwhile, low levels of Fe ions were discovered, and ROS overload was found to trigger ferroptosis in IBD cells. In addition, Nrf2 was discovered to play a negative regulatory role in inflammation.

Colonic epithelial cells contain multiple antioxidant systems, such as antioxidant enzymes, namely GSH, Gpx4, and lipoxygenases (LOX), but they are often dysregulated in pathological conditions of IBD. GSH can directly scavenge ROS and enhance cellular antioxidant capacity. However, higher oxidative stress promotes GSH depletion and reduces GSH synthesis. Nrf2 is the main regulator of antioxidant response and can induce the expression of endogenous antioxidant proteins, thereby blocking lipid peroxidation and alleviating oxidative stress. This study also found that after LPS treatment, both groups of colon cells showed a decrease in GSH, a significant increase in MDA and SOD, and an increase in oxidative stress. This phenomenon was more pronounced after Nrf2 interference, thus confirming that Nrf2 reduces lipid peroxidation by regulating the expression of endogenous antioxidant proteins in the colon.

Recent studies have shown that the Nrf2–Gpx4 signaling pathway can significantly inhibit ferroptosis, yet the Nrf2–Gpx4 signaling pathway is inhibited in UC. Activation of Gpx4 can significantly inhibit ferroptosis and improve UC manifestations (Xia et al., 2019). Therefore, Nrf2 is widely confirmed to participate in the pathophysiological process of UC and inhibit ferroptosis. It has been reported that Nrf2 regulates ferroptosis by controlling the expression of NAD(P)H quinone oxidoreductase 1 (NQO1), iron metabolism proteins, and Gpx4 and GSH production (Tang and Kroemer, 2020).

In Nrf2 knockout UC mice, a significant increase in the severity of UC and the risk of UC-related colon cancer were observed (Endale et al., 2023). Nrf2 has a regulatory effect on ferroptosis; activation of Nrf2 can inhibit ferroptosis, and Nrf2 knockout increases sensitivity to various ferroptosis inducers (Xie et al., 2016). Notably, compounds that activate Nrf2 inhibit ferroptosis and reduce UC-related mucosal damage and colon inflammation (Endale et al., 2023).

We also found in this study that apoptosis increased significantly. Meanwhile, cell proliferation activity decreased, Fe levels decreased, GSH decreased, and MDA increased in cells interfered with Nrf2, confirming that Nrf2 regulates ferroptosis.

Leonurine has anti-inflammatory, antioxidant, and anti-apoptotic effects. It also has strong antioxidant activity. It reduces the expression of inflammatory factors in organs and tissues through different pathways and exerts anti-inflammatory effects. There are two main mechanisms. One is to directly down-regulate the activation of TLR4 on the surface of inflammatory cells, thereby reducing the expression of various inflammatory mediators. Second, it can down-regulate the activity of NF-kB to inhibit its downstream pathways, thereby reducing the expression of various inflammatory factors. In the preliminary research of this project, leonine was found to have a protective effect on IBD mouse models, and by activating the Nrf2/HO-1 signaling pathway and inhibiting the TLR4/NF-κB pathway, leonine can inhibit apoptosis, inflammatory response, and oxidation stress by alleviating IBD in mice (Qi et al., 2022). Many studies have confirmed that leonurine can regulate ferroptosis in acute kidney and liver injuries by activating the Nrf2 signaling pathway (Wojtyniak et al., 2013). In this work, when LPS was administered with simultaneous interference of Nrf2, the oxidative stress and apoptosis of cells were further increased and Fe and antioxidants were further reduced, confirming that Nrf2 is involved in regulating oxidative stress, apoptosis, and ferroptosis. The finding that adding motherwort could inhibit cellular inflammatory factors, oxidative stress, and apoptosis and promote Fe accumulation after LPS treatment indicates that leonine may regulate cell apoptosis, oxidative stress, and ferroptosis by activating Nrf2.

However, this study also found that when LPS cells were interfered by Nrf2, leonurine treatment could still reduce inflammatory response after LPS treatment, indicating that leonurine may reduce cell apoptosis and inflammatory responses in multiple mechanisms. On the one hand, Nrf2 response to oxidative stress is not a specific response to ferroptosis because Nrf2 is also related to the regulation of pyroptosis (Xie et al., 2016). This suggests that the protective effect of Nrf2 on IBD may be linked to regulating multiple forms of cell death. Again, ferroptosis is an important cell death pathway for immune cells, including T cells and macrophages. The dysfunction of immune cells also plays a key role in it. It is impossible to rule out that motherwort may alleviate ferroptosis by regulating immune cells. In addition, because leonurine acts on multiple targets simultaneously, it may also exert its biological effects through various mechanisms, such as interaction with membrane proteins and endocytosis. This warrants further investigation in future research.

Conclusions

Ferroptosis, a type of controlled cell death, is characterized by the build-up of lipid oxidation products and the reduction of fats in cell membranes. This process occurs due to iron-triggered lipid oxidation, leading to ROS and eventual cell death. The sources of ROS in ferroptosis include both production and insufficient removal mechanisms.

In conditions such as IBD (UC), imbalanced iron levels and oxidative stress play key roles in worsening gut inflammation and tissue damage. Iron chelators, substances that bind and trap iron, have emerged as treatments for reducing ROS build-up and aiding in the repair of cells in UC patients.

Research has demonstrated that iron chelators effectively lower ROS levels by restricting iron availability, thus inhibiting iron-induced lipid oxidation and lessening cell death. This decrease in stress helps to reduce tissue damage and supports the regeneration and healing of intestinal cells, ultimately lessening clinical manifestations and outcomes for UC patients.

The involvement of Nrf2 in protecting against LPS-induced inflammatory harm and cell death in intestinal cells highlights its crucial role in cellular defense mechanisms.

Nrf2 plays a key role as a regulator of antioxidant response elements by controlling the activation of genes related to antioxidant defense, detoxification, and anti-inflammatory pathways.

When facing damage caused by LPS, the activation of Nrf2 acts as a shield against stress and inflammation by increasing the expression of antioxidant enzymes and reducing the production of pro-inflammatory cytokines. Furthermore, Nrf2 is involved in preventing cell death (apoptosis), which helps to maintain the integrity and functioning of cells.

Recent findings suggest that Nrf2 could influence ferroptosis, a regulated cell death characterized by iron lipid peroxidation and oxygen species (ROS) accumulation. Controlling genes related to iron metabolism and lipid peroxidation, Nrf2 activation might protect against cell death and tissue damage.

Leonurine, a compound known for its antioxidant properties, is established to offer protection against LPS-induced oxidative stress, inflammation, and apoptosis in intestinal epithelial cells by activating Nrf2 signaling pathways. By boosting activity, leonurine enhances the production of antioxidant enzymes while reducing inflammatory mediator levels. This ultimately helps reduce damage and supports tissue healing.

Moreover, leonurine might also prevent the occurrence of ferroptosis by adjusting Nrf2-related pathways linked to iron regulation and lipid oxidation. By boosting defenses against antioxidants and reducing stress, leonurine could assist in balancing iron levels and preventing cell death due to ferroptosis in the cells lining the intestines.

The results generally indicate that activating Nrf2 pathways through leonurine shows promise for lessening inflammation caused by LPS cell death through apoptosis and potentially ferroptosis in cells. Further investigation is needed to understand the mechanisms of how leonurine protects against these effects and its potential as a treatment for bowel conditions and associated issues.

Funding

This work was supported by the Anhui Medical University Research Fund Project (Grant No. 2020xkj038).

Competing Interests

The authors stated that there were no conflicts of interest to disclose.

Ethics Approval

This article contained no studies involving human participants or animals performed by any authors.

Data Availability

The authors declare that all data supporting the findings of this study are available within the paper, and any raw data can be obtained from the corresponding author upon request.

Author Contributions

Le Qi and Lili Zhu designed and conducted the study, supervised data collection, and analyzed and interpreted it. Both authors prepared the manuscript for publication and reviewed its draft. Both authors read and approved the final manuscript.

REFERENCES

Baumgart, D.C., and Carding, S.R. 2007. Inflammatory bowel disease: cause and immunobiology. Lancet. 369(9573):1627–1640. 10.1016/S0140-6736(07)60750-8

Bhattacharyya, A., Chattopadhyay, R., Mitra, S., and Crowe, S.E. 2014. Oxidative stress: an essential factor in the pathogenesis of gastrointestinal mucosal diseases. Physiol Rev. 94(2):329–354. 10.1152/physrev.00040.2012

Capelletti, M.M., Manceau, H., Puy, H., and Peoc’h, K. 2020. Ferroptosis in liver diseases: an overview. Int J Mol Sci. 21(14):4908. 10.3390/ijms21144908

Chieppa, M., Galleggiante, V., Serino, G., Massaro, M., and Santino, A. 2017. Iron chelators dictate immune cells inflammatory ability: potential adjuvant therapy for IBD. Curr Pharm Des. 23(16):2289–2298. 10.2174/1381612823666170215143541

Endale, H.T., Tesfaye, W., and Mengstie, T.A. 2023. ROS-induced lipid peroxidation and their role in ferroptosis. Front Cell Dev Biol. 11:1226044. 10.3389/fcell.2023.1226044

Kobayashi, Y., Ohfuji, S., Kondo, K., Fukushima, W., Sasaki, S., Kamata, N. et al. 2019. Association between dietary iron and zinc intake and development of ulcerative colitis: a case-control study in Japan. J Gastroenterol Hepatol. 34(10):1703–1710. 10.1111/jgh.14642

Kong, E., Xu, Y., and Yang, H. 2023. Total flavonoids of Rhizoma drynariae influence ferroptosis in osteoblasts via miR-205-5p/Gpx4 axis. Trop J Pharm Res. 22(7):1379–1386. 10.4314/tjpr.v22i7.4

Mao, H., Zhao, Y., Li, H., and Lei, L. 2020. Ferroptosis as an emerging target in inflammatory diseases. Prog Biophys Mol Biol. 155:20–28. 10.1016/j.pbiomolbio.2020.04.001

Qi, L., Chen, X., Pan, Y., Zha, Z., Tang, M., Shi, C. et al. 2022. Leonurine is protective in dextran sodium sulfate-induced experimental inflammatory bowel disease mice model. Gen Physiol Biophys. 41(1):43–51. 10.4149/gpb_2021044

Qi, X., Zhang, Y., Guo, H., Hai, Y., Luo, Y., and Yue, T. 2020. Mechanism and intervention measures of iron side effects on the intestine. Crit Rev Food Sci Nutr. 60(12):2113–2125. 10.1080/10408398.2019.1630599

Ren, J.-X., Sun, X., Yan, X.-L., Guo, Z.-N., and Yang, Y. 2020. Ferroptosis in neurological diseases. Front Cell Neurosci. 14:14218. 10.3389/fncel.2020.00218

Stockwell, B.R., Jiang, X., and Gu, W. 2020. Emerging mechanisms and disease relevance of ferroptosis. Trends Cell Biol. 30(6):478–490. 10.1016/j.tcb.2020.02.009

Tang, D., and Kroemer, G. 2020. Ferroptosis. Curr Biol. 30(21):R1292–R1297. 10.1016/j.cub.2020.09.068

Wojtyniak, K., Szymański, M., Matławska, I. 2013. Leonurus cardiaca L. (motherwort): a review of its phytochemistry and pharmacology. Phytother Res. 27(8):1115–1120. 10.1002/ptr.4850

Xavier, R.J., and Podolsky, D.K. 2007. Unraveling the pathogenesis of inflammatory bowel disease. Nature. 448(7152):427–434. 10.1038/nature06005

Xia, X., Fan, X., Zhao, M., and Zhu, P. 2019. The relationship between ferroptosis and tumors: a novel landscape for therapeutic approach. Curr Gene Ther. 19(2):117–124. 10.2174/1566523219666190628152137

Xie, Y., Hou, W., Song, X., Yu, Y., Huang, J., Sun, X. et al. 2016. Ferroptosis: process and function. Cell Death Different. 23(3):369–379. 10.1038/cdd.2015.158

Xu, M., Tao, J., Yang, Y., Tan, S., Liu, H., Jiang, J. et al. 2020. Ferroptosis involves intestinal epithelial cell death in ulcerative colitis. Cell Death Disease. 11(2):86. 10.1038/s41419-020-2299-1