1Institute of Technology of Agricultural Products, Hellenic Agricultural Organization – DIMITRA, Lycovrissi, Attica, Greece;
2Department of Microbiology, Culture Collection of Industrial Microorganisms-Microbiological Resource Center, Prof. Wacław Dąbrowski Institute of Agricultural and Food Biotechnology State Research Institute, Warsaw, Poland;
3Laboratory of Microbiology and Biotechnology of Foods, Department of Food Science and Human Nutrition, Agricultural University of Athens, Iera Odos Athens, Greece;
4Laboratory of Food Microbiology and Hygiene, Department of Food Science & Technology, School of Agriculture, Aristotle University of Thessaloniki, Thessaloniki, Greece
The objective of this work was the isolation and characterization of Alicyclobacillus acidoterrestris strains from orange juice. In all, 72 isolates were recovered from commercial orange juice bought from the Greek market. The isolates were subjected to polymerase chain reaction–restriction fragment length polymorphism (PCR-RFLP) to discriminate them at strain level and A. acidoterrestris types I and II. The restriction patterns of 16S rRNA gene revealed that isolates were categorized in different groups depending on the restriction endonucleases. Moreover, the digestion of the part of vdc operon gene with HphI restriction enzyme successfully differentiated between A. acidoterrestris types I and II. In conclusion, RFLP succeeded in differentiating A. acidoterrestris isolates at strain and type levels.
Key words: Alicyclobacillus acidoterrestris, orange juice, PCR-RFLP, vdc gene
*Corresponding Author: Agapi Doulgeraki, Laboratory of Food Microbiology and Hygiene, Department of Food Science & Technology, School of Agriculture, Aristotle University of Thessaloniki, 54124 Thessaloniki, Greece. Email: adoulgeraki@agro.auth.gr
Received: 17 November 2023; Accepted: 25 April 2024; Published: 24 May 2024
© 2024 Codon Publications
This is an Open Access article distributed under the terms of the Creative Commons Attribution-NonCommercial-ShareAlike 4.0 International (CC BY-NC-SA 4.0). License (http://creativecommons.org/licenses/by-nc-sa/4.0/)
In recent years, the fruit juice industry has suffered financial loss because of the reported fruit juice contaminations (Centers for Disease Control and Prevention [CDC], 1999; Griffiths, 2000). The most serious threat to fruit juice producers is the presence of Alicyclobacillus, which has increased considerably in a variety of fruit juices, including the orange juice (Eguchi et al., 1999; Eiroa et al., 1999; Pinhatti et al., 1997; Sourri et al., 2022). Alicyclobacillus spp. are non-pathogenic thermoacidophilic, spore-forming bacteria that can survive pasteurization conditions and subsequently germinate under favorable conditions, and therefore limit the shelf life of products (Cacho et al., 2011; Molva and Baysal, 2015; Silva and Gibbs, 2001). Spoilage because of the presence of Alicyclobacillus is not visible during storage or retailing because neither gas production nor swelling of the container takes place (flat sour-type spoilage). Only after consumption, one can describe flavors as “smoky”, “antiseptic”, or “disinfectant”, and possible increased turbidity and sediment formation can lead to the conclusion of spoilage of the juice (Lusardi et al., 2000; Smit et al., 2011; Uchida and Silva, 2017). Although the predominant taint compound responsible for these defects is 2-methoxyphenol (guaiacol), the presence of halophenols 2,6 dibromothenol and 2,6 dichlorophenol can also lead to spoilage of the juice (Hartyáni et al., 2013; Molva and Baysal, 2015). Alicyclobacillus acidoterrestris is linked to the majority of spoiling, although not all Alicyclobacillus spp. are able to produce guaiacol (Molva and Baysal, 2015). Hence, in order to optimize the pasteurization process, Alicyclobacillus acidoterrestris is regarded as the target microorganism by fruit juice manufacturers (Silva et al., 2000; Vieira et al., 2002).
In the present study, a survey was conducted involving Greek commercial orange juices by using the IFU method No. 12 (International Federation of Fruit Juice Producers, 2007). This is recognized as the most effective microbiological method for detection of Alicyclobacillus (Witthuhn et al., 2011). The aim of this survey, besides examining the occurrence of the bacterium in orange juice, was to identify different isolates of Alicyclobacillus spp., and in addition compare the relative presence of Alicyclobacillus acidoterrestris with other Alicyclobacillus spp. Another goal of the survey was to determine whether the isolates had the ability to produce guaiacol and thus lead to spoilage issues.
Numerous polymerase chain reaction (PCR) techniques, including polymerase chain reaction–restriction fragment length polymorphism (PCR-RFLP) analysis of 16S ribosomal RNA (16S rRNA), rpoB, and valine decarboxylase (vdc) genes, were successfully used over the years for differentiation and/or identification of Alicyclobacillus (Chen et al., 2006; Dekowska et al., 2018; Roth et al., 2021; Sourri et al., 2019; Wang et al., 2021). Vermicon Identification Technology (VIT) is another technique that was used for Alicyclobacillus differentiation, because A. acidoterrestris glows in different colors (Thelen, 2003). Distinction between guaiacol-producing and non-producing species was accomplished with the denaturing gradient gel electrophoresis (DGGE) method (Osopale et al., 2016). Three restriction enzymes were employed in PCR-RFLP to discriminate and characterize Alicyclobacillus isolates. The classification of Alicyclobacillus isolates into clusters, and their association with guaiacol production, is of major interest and significance for juice manufacturers to prevent incidents of spoilage.
In all, 72 Alicyclobacillus isolates were recovered from four different commercial Greek orange juice brands (JA, JL, JH, and JP) with the use of IFU method No. 12 developed by the Working Group on Microbiology of the International Federation of Fruit Juice Producers (2007). In addition, a culture collection of A. acidoterrestris DSMZ 2498 obtained from DSMZ (Deutsche Sammlung von Mikroorganismen and Zellkuturen, Braunschweig, Germany) was used as a reference strain.
All isolates were cultured in yeast extract starch glucose (YSG) broth (2 g/L yeast extract [Biolife Italiana]; 1 g/L glucose [LAB M Limited]; and 2 g/L soluble starch [NeoLab Migge Laborbedarf-Vertiebs GmbH], pH adjusted to 3.7 with 1-N HCl) and incubated at 45°C for 48 h. Bacterial cells at the exponential phase, 10 mL, were collected by centrifugation (8,000 rpm for 5 min at 4°C) and treated with 20-mg/mL lysozyme in lysis buffer (20 mmol/L Tris-HCl, pH = 8.0, 2 mmol/L ethylenediaminetetraacetic acid [EDTA], and 1% Triton ×100) at 37°C for 60 min for lysis of Alicyclobacillus cells. To extract genomic DNA from Alicyclobacillus cultures, nucleospin tissue (Macherey-Nagel, Düren, Nordrhein-Westfalen, Germany) was used according to the manufacturer’s instructions. DNA concentration was measured by NanoDrop 2000 Spectrophotometer (Thermo Fisher, IL, US).
Genomic DNA of all isolates was subjected to PCR using the universal primers: P1: 5'-AGCAGTAGGGAATCTTCCA-3' and P2: 5'-TTCCCCACGCGTTACTCACC-3' for the amplification of 16S rDNA gene (Klijn et al., 1991). PCR amplification was performed in a total volume of 25 μL containing 1.25 U of thermostable (Taq) DNA polymerase (Kapa Biosystems), 2.5-μL Taq buffer, 0.8-mM deoxynucleotide triphosphate (dNTP), 0.2 μM of each primer, and 2-mM total MgCl2. Amplification was performed in a Bio-Rad thermocycler, with the following PCR conditions: initial denaturation at 94°C for 5 min, followed by 35 cycles of denaturation at 94°C for 30 s, primer annealing at 56°C for 30 s, primer extension at 72°C for 1 min, and a final extension at 72°C for 10 min. Then 5 U of three different restriction endonucleases (REs) HhaI, RSaI, and HiNFI (New England Biolabs [NEB], Ipswich, MA, USA)) were used to digest 5 μL of each PCR product after incubation at 37°C for 2 h. The restriction profiles of the isolates were separated by gel electrophoresis on 3% (w/v) agarose for 2 h. After staining with ethidium bromide, the restriction fragments were detected under ultraviolet (UV) light (Gel Doc, Biorad, Hercules, CA, USA). A molecular weight marker (NEB) of 50 bp was used to estimate the size of fragments. Dendrogram construction and normalization were performed using the Dice coefficient and the unweighted pair group method with arithmetic mean (UPGMA) cluster analysis (optimization: 0.5 and tolerance: 1.0) via the BioNumerics software version 6.1 (Applied Maths, Sint-Martens-Latem, Belgium).
In all, 13 representative isolates grouped in major clusters (at a similarity level of 70%; Figure 1) were subjected to DNA extraction using a DNeasy Power Food Microbial kit (Qiagen) according to the manufacturer’s instructions. A Nanodrop 1000 spectrophotometer (Thermo Fisher Scientific,Waltham, MA, USA) was used to estimate DNA concentration. The method used by Dekowska et al. (2018) was applied to characterize Alicyclobacillus isolates by amplification of 16S rRNA gene (primers 8F: 5'-AGAGTTTGATCCTGGCTCAG-3'; 1512R:5'-ACGGCTACCTTGTTACGACT-3'), rpoB gene (primers Gru5:5'-CGCGACGTACACTATTCGCACTA-3'; Gru6: 5'-GCCCAAACCTCCATCTCACCAAA-3') and part vdc operon (primers 5'-Bur5: GCCGACGTGATGCTCAARGAGCGCA-3'; Bur6:5'-GTSGCRTCGAGAATCATCTTGTG-3'). DreamTaq Green PCR Master Mix (Thermo Fisher) was used for DNA amplification in 50 μL PCR reaction. The amplicons were checked for purity in 1% agarose gel using a 1-kB ladder. Restriction enzymes BsuRI (HaeIII), HphI, and Hin6I (HinP1I) were used to digest amplicons at 37°C according to the manufacturer’s (NEB) recommendations. Following the inactivation of enzymes at 65°C (HphI and Hin6I) and 80°C (BsuRI) for 20 min, the RFLP patterns were analyzed on 3% agarose gel. A 100-bp ladder was included as a molecular marker. The following eight isolates belonging to the Culture Collection of Industrial Microorganisms–Microbiological Resource Center IAFB (Warsaw, Poland) culture collection were included as reference strains for 16S rRNA and rpoB genes: Alicyclobacillus acidoterrestris type I DSM 2498, A. acidoterrestris type II ATCC 49025, A. acidiphilus DSM 14558, A. herbarius DSM 13609, A. hesperidum DSM 12489, A. acidocaldarius DSM 446, Bacillussubtilis ATCC 6655, and Geobacillus stearothermophilus ATCC 7953. In addition, Alicyclobacillus acidoterrestris B41 and A. hesperidum 6G belonging to the Culture Collection of Institute of Technology of Agricultural Products (ITAP, Athens, Greece) were included for 16S rRNA and rpoB genes analysis. Similarly, the following four isolates belonging to IAFB were included as reference strains for vdc operon: Alicyclobacillus acidoterrestris type I DSM 2498, A. acidoterrestris type II ATCC 49025, A. acidiphilus DSM 14558, and A. herbarius DSM 13609. In addition, Alicyclobacillus acidoterrestris B41 belonging to ITAP was included for vdc operon analysis. Syngene gel documentation was used for the visualization of amplicons and RFLP patterns. Sequencing of vdc gene of representative isolates was performed. In addition, sequencing of 16S rRNA and rpoB genes was performed for non-A. acidoterrestris isolates.
Figure 1. Dendrogram of 16S rRNA PCR-RFLP with restriction endonucleases HhaI, RSaI, and HiNFI of Alicyclobacillus isolates from commercial orange juices. The reference strain A. acidoterrestris DSMZ 2498 is marked as 5.13 in red box.
Alicyclobacillus isolates were also checked for their potential of producing guaiacol with the Peroxidase Enzyme Colorimetric Assay (PECA) method. A commercial Guaiacol detection kit (Dohler DMD; Microsafety Design, Darmstadt, Germany) was used for this purpose according to the manufacturer’s instructions. Alicyclobacillus acidoterrestris B41, A. acidoterrestris 4a, and A. hesperidum 6G belonging to the Culture Collection of Institute of Technology of Agricultural Products (ITAP, Athens, Greece) were included as positive (A. acidoterrestris) and negative (A. hesperidum) controls.
The occurrence of spoilage caused by Alicyclobacillus has been extensively documented in several fruit juices, including orange juice (Gocmen et al., 2005; Osopale et al., 2016). Furthermore, there are reports of isolation from many other fruit juices, such as mango (Gouws et al., 2005), passion (McKnight et al., 2010), and kiwi (Zhang et al., 2013). In addition, Yamazaki et al. (1996) successfully isolated Alicyclobacillus strains from fruit juice blends, while Van Luong et al. (2019) achieved the same outcome from a range of fruit juices. Isolations for each specific type of juice are presented in Table 1. All isolates were amplified using the PCR-RFLP technique, followed by restriction digestion using three endonucleases HhaI, RSaI, and HiNFI. Figure 1 displays the dendrogram derived from the restriction pattern cluster analysis.
Table 1. Alicyclobacillus isolates from four types of commercial orange juices.
| Juice type | Alicyclobacillus isolates |
|---|---|
| JA (juice) | A1-A31 |
| JL (juice) | B1-B10, B21-B38, and B42-B44 |
| JH (concentrated) | B11-B16 |
| JP (juice) | B17-B20 |
The clustering process yielded eight groups at a similarity level of 80% and 16 clusters at a similarity level of 90%. It was observed that at the similarity level of 80%, 16 (referring to group VI) out of 72 isolates (A14, A26, A28, A29, A30, A31, B1, B24, B26, B27, B32, B34, B35, B38, B42, and B43) obtained from orange juice exhibited comparable restriction patterns with the reference strain A. acidoterrestis DSMZ 2498 as shown in Figure 1. Group IV, including 15 isolates (A1, A2, A3, A4, A5, A6, A9, A12, A13, A15, A17, A18, A19, B22, and B44) along with the former group, were the larger clusters as indicated in the dendrogram. The remaining groups comprised 12 isolates (A8, A10, A11, A22, A23, A25, B3, B4, B5, B8, B9, and B13) classified as group I, 11 isolates (A7, A16, A20, B6, B7, B14, B15, B16, B20, B25, and B37) that composed group V, 8 isolates that comprised group II (B2, B10, B11, B18, B28, B29, B30, and B31), 6 isolates comprising group VII (A21, A24, A27, B23, B33, and B36), and 3 isolates of group VIII (B17, B19, and B21). One particular isolate (B12) with a distinctive pattern comprised group III. Table 2 summarizes the distribution of Alicyclobacillus isolates into eight distinct groups based on their restriction patterns and the type of orange juice from which they were obtained.
Table 2. Distribution of Alicyclobacillus isolates from different orange juices.
| Juice | Total isolates | Groupsa | |||||||
|---|---|---|---|---|---|---|---|---|---|
| I | II | III | IV | V | VI | VII | VIII | ||
| JA | 31 | 6 | 13 | 3 | 6 | 3 | |||
| JL | 31 | 5 | 6 | 2 | 4 | 10 | 3 | 1 | |
| JH | 6 | 1 | 1 | 1 | 3 | ||||
| JP | 4 | 1 | 1 | 2 | |||||
| Total | 72 | 12 | 8 | 1 | 15 | 11 | 16 | 6 | 3 |
aAccording to the Dendrogram given in Figure 1.
The findings provided in Table 2 demonstrate that Alicyclobacillus isolates obtained from each juice were categorized into distinct groups, indicating potential variations among isolates from the same juice. Furthermore, the dendrogram revealed that not all groups were present in all juices. Even the isolates that were grouped in the largest clusters (III and V) were found exclusively in the juices with a high number of recovered colonies (JA and JL). It should also be highlighted that juices (JH and JP) from which a lower number of colonies were retrieved exhibited isolates that were spread throughout distinct groups.
Furthermore, the PECA method was used to detect guaiacol synthesis in all isolates. This approach relies on the oxidation of guaiacol by peroxidase enzymes in the presence of H2O2, resulting in the production of a brown molecule, known as 3,3’-dimethoxy-4,4’-biphenoquinone (Doerge et al., 1997). In accordance with the instructions provided by the commercial detection kit, the color change was detected for all isolates, with the presence of brown color, indicating guaiacol production. The results indicated that all isolates were capable of producing guaiacol. The isolates have been arranged in ascending order of brown color intensity, as depicted in Figure S1, while the negative and positive control samples are on the left and right sides, respectively. Figures S2 and S3 show representative isolates which produce guaiacol based on the development of brown color. Alicyclobacillus acidoterrestris B41 and A. acidoterrestris 4a were included as positive control strains (known guaiacol producers; Table 3), while Alicyclobacillus hesperidum 6G was used as negative control strain (data not shown). The isolates were visually classified into six groups based on the varying degrees of the brown color as displayed in Table 3. However, there does not appear to be any correlation between the groups separated in the dendrogram on the basis of the restriction patterns with those distinguished using the PECA method (Figure 1).
Table 3. Distribution of Alicyclobacillus isolates according to the PECA method.
| Groups | Color intensity | Isolates | Total |
|---|---|---|---|
| I | Very light brown | B1, B6, B10 | 3 |
| II | Light brown | A16, B20, B44, B41* | 3 |
| III | Pale brown | A5, A6, A7, A15, A17, A25, A26, A31, B8, B9, B15, B19, B22, B30, B31, B32, B42, B43 | 18 |
| IV | Brown | A4, A14, A18, A24, A28, A29, A30, B4, B7, B13, B17, B21, B23, B29, B33, B34, 4a | 16 |
| V | Dark brown | A3, A8, A9, A13, A19, A23, B11, B12, B16, B18, B24, B26, B27, B28, B35 | 15 |
| VI | Very dark brown | A1, A2, A10, A11, A12, A20, A21, A22, A27, B2, B3, B5, B14, B25, B36, B37, B38 | 17 |
*Reference strains: known guaiacol producers are marked in bold font.
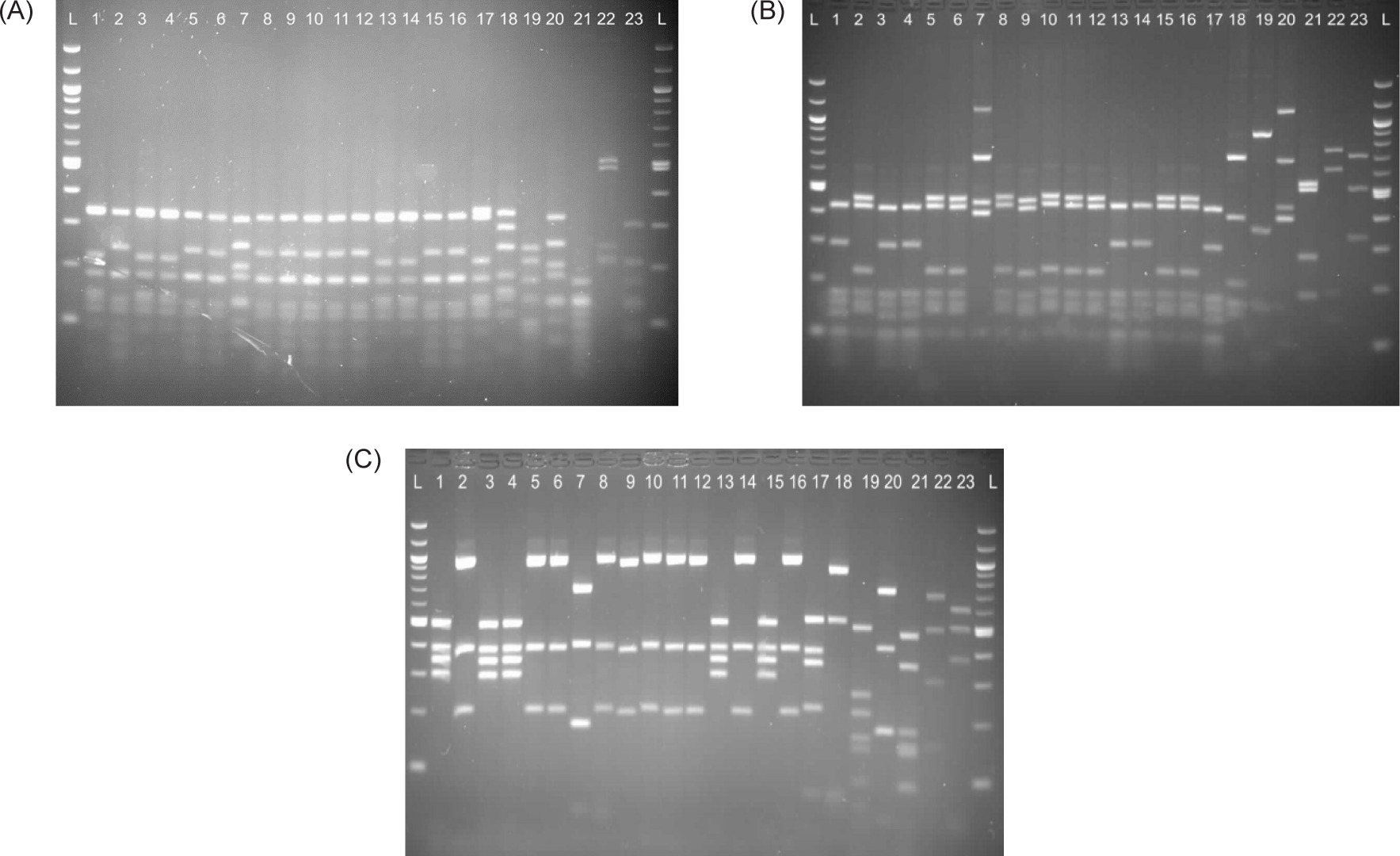
In all, 13 representative isolates from major clusters (Figure 1; similarity level 70%) were subjected to species identification based on the protocol described by Dekowska et al. (2018). According to the obtained results, differentiation of the isolates at the species level was achieved based on the restriction profile of the 16S rRNA gene of Alicyclobacillus isolates obtained with restriction enzyme HinP1I (Figure 2). All isolates were characterized as Alicyclobacillus acidoterrestris. Moreover, the discrimination of A. acidoterrestris, A. acidiphilus, A. herbarius, A. hesperidum, and A. acidocaldarius was achieved by the application of HinP1I (Figure 2a). On the other hand, inability of the restriction profile of 16S rRNA gene of Alicyclobacillus isolates obtained with restriction enzymes HphI and HaeIII to distinguish A. acidoterrestris and A. hesperidum was shown in Figures 2b and 2c, respectively. However, the discrimination of A. herbarius and A. acidocaldarius from A. acidoterrestris, A. acidophilus, and A. hesperidum was achieved following the observation of restriction patterns obtained after the application of HphI. Similarly, the application of HaeIII was able to discriminate A. herbarius and A. acidocaldarius from the pattern of A. acidophilus, A. herbarius, and A. acidocaldarius from the pattern of A. acidoterrestris and A. hesperidum (HaeIII). In another study, discrimination of A. acidoterrestris by other Alicyclobacillus spp. was also achieved by RFLP-PCR (Sourri et al., 2019). The sequencing analysis of 16S rRNA gene of A. hesperidum 6G strain confirmed the 99.78% identity to A. hesperidum DSM 12489.
Figure 2. Restriction profile of 16S rRNA gene of Alicyclobacillus isolates obtained with (A) HinP1I, (B) HphI, and (C) HaeIII. L: 100-bp DNA ladder; isolates 1–6: A5, A16, A17, A27, A28, A30; isolate 7: A. hesperidum 6G, isolates 8–14: B1, B6, B18, B19, B20, B30, B31; isolate 15: A. acidoterrestris B41; isolate 16: A. acidoterrestris type IDSM 2498; isolate 17: A. acidoterrestris type IIATCC 49025; isolate 18: A. acidiphilus DSM 14558 ; isolate 19: A. herbarius DSM 13609; isolate 20: A. hesperidum DSM 12489; isolate 21: A. acidocaldarius DSM 446; isolate 22: Bacillussubtilis ATCC 6655; and isolate 23: Geobacillus stearothermophilus ATCC 7953.
The ability to discriminate A. acidoterrestris from the other tested Alicyclobacillus spp. based on the restriction profiles of rpoB gene using any of the used restriction enzymes was shown. In addition, the differentiation of A. acidoterrestris in type I and type II was achieved (Figure 3). It was shown that the isolates A16, A28, A30, B1, B6, B19, and B20 (A. acidoterrestris type I) were discerned from A5, A17, A27, B30, and B31 (A. acidoterrestris type II). The A. acidoterrestris B41 was also assigned to A. acidoterrestris type I. In previous studies, similar grouping of A. acidoterrestris isolates was achieved by RAPD and sequencing analysis of 16S rRNA gene (Durak et al., 2010; Osopale et al., 2016). The sequencing analysis of rpoB gene of A. hesperidum 6G strain confirmed the 99.63% identity to A. hesperidum DSM 12489.
Figure 3. Restriction profile of rpoB gene of Alicyclobacillus isolates obtained with (A) HinP1I, (B) HphI, and (C) HaeIII. L: 100-bp DNA ladder; isolates 1–6: A5, A16, A17, A27, A28, A30; isolate 7: A.hesperidum 6G, isolates 8–14: B1, B6, B18, B19, B20, B30, B31; isolate 15: A. acidoterrestris B41; isolate 16: A. acidoterrestris type I DSM 2498; isolate 17: A. acidoterrestris type II ATCC 49025; isolate 18: A. acidiphilus DSM 14558; isolate 19: A. herbarius DSM 13609; isolate 20: A. hesperidum DSM 12489; isolate 21: A. acidocaldarius DSM 446; isolate 22: Bacillussubtilis ATCC 6655; and isolate 23: Geobacillus stearothermophilus ATCC 7953.
The digestion of partial vdc operon with the restriction enzyme HphI (Figure 4) succeeded in discerning the A. acidoterrestris type I from A. acidoterrestris type II (Dekowska et al., 2018) according to the results obtained from the digestion of rpoB gene with the three enzymes. On the other hand, the results obtained after the digestion of vdc operon gene with restriction enzymes HaeIII and HinP1I showed the inability of 14 isolates to be discerned in type I and II A. acidoterrestris, which was not in accordance to the previously published results (Dekowska et al., 2018) and the results obtained from rpoB gene. Following the differentiation of 14 A. acidoterrestris isolates in type I and type II according to the rpoB gene restriction profiles, sequencing analysis of partial vdc operon gene of two representative isolates (A16 and A5) was performed. According to the obtained results, the sequence of vdc operon gene of the A5 isolate was found to be 99.93% similar to the sequence of reference strain DSM 2498 (reference strain AATI) and 94.31% similar to ATCC 49025 (reference strain AATII). Similarly, the sequence of vdc gene of A16 isolate was found to be 99.73% similar to the sequence of reference strain DSM 2498 (reference strain AATI) and 94.11% similar to ATCC 49025 (reference strain AATII). In addition, the sequences of vdc gene fragments of A5 and A16 isolates were 99.8% identical.
Figure 4. Restriction profile of partial vdc operon of Alicyclobacillus isolates obtained with (A) HinP1I, (B) HphI, and (C) HaeIII. L: 100-bp DNA ladder; isolates 1–13: A5, A16, A17, A27, A28, A30, B1, B6, B18, B19, B20, B30, B31; isolate 14: A. acidoterrestris B41; isolate 15: A. acidoterrestris type IDSM 2498; isolate 16: A. acidoterrestris type IIATCC 49025; isolate 17: A. acidiphilus DSM 14558; isolate 18: A. herbarius DSM 13609.
The Alicyclobacillus isolates obtained from various commercially available orange juices exhibited distinct patterns, including those derived from the same juice. The successful utilization of PCR-RFLP, employing the restriction endonucleases HhaI, RSaI, and HiNFI, clustered the isolates into eight distinct groups at a similarity level of 80%. The employed methodology for distinguishing the isolates demonstrated a wide range of distinct isolates, suggesting the presence of several strains, subgroups, or even distinct species in orange juice. Furthermore, it is worth noting that the isolates capable of producing guaiacol could lead to the spoilage of the juice under favorable conditions. The presence of Alicyclobacillus, therefore, has emerged as a serious concern for fruit juice manufacturing. Additionally, since Alicyclobacillus acidoterrestris is considered as the primary spoiler because of guaiacol production, it is critical to determine whether the isolates pertain to this species.
Τhe European Union’s Horizon 2020 Research and Innovation programme under the grant agreement No. 871129 and “FUNJUICE” project (T2EDK-01922) co-financed by the EU and Greek National Funds through the Operational Program Competitiveness, Entrepreneurship and Innovation, RESEARCH-CREATE-INNOVATE. Part of the analysis was done with support from the European Horizon 2020 research and innovation program under grant agreement No. 871129-IS_MIRRI21 Project.
Conceptualization & Methodology: AID; Validation & Formal analysis AID; Investigation: PS, AD & AID; Writing - Original Draft: PS; Writing - Review & Editing: AID, PS, AD, JB-K, G-JEN &CT; Visualization: Investigation: PS & AID; Supervision & Project administration: AID & CT; Funding acquisition: CT & JB-K.
Cacho P., Danyluk M., and Rouseff R. 2011. GC–MS quantification and sensory thresholds of guaiacol in orange juice and its correlation with Alicyclobacillus spp. Food Chem. 129:45–50. 10.1016/j.foodchem.2011.04.014
Centers for Disease Control and Prevention (CDC). 1999. Outbreak of salmonella serotype Muenchen infections associated with unpasteurized orange juice—United States and Canada, June 1999. MMWR Morb Mortal Wkly Rep. 1999 Jul 16;48(27):582–585. Available at: https://www.cdc.gov/mmwr/preview/mmwrhtml/mm4827a2.htm (accessed: 30 January 2022).
Chen S., Tang Q., Zhang X., Zhao G., Hu X., Liao X., et al. 2006. Isolation and characterization of thermo-acidophilic endospore-forming bacteria from the concentrated apple juice-processing environment. Food Microbiol. 23:439–445. 10.1016/j.fm.2005.07.005
Dekowska A., Niezgoda J., and Sokolowska B. 2018. Genetic heterogeneity of Alicyclobacillus strains revealed by RFLP analysis of vdc region and rpoB gene. Biomed Res Int. 2018:9608756. 10.1155/2018/9608756
Doerge D.R., Divi R.L., and Churchwell M.I. 1997. Identification of the colored guaiacol oxidation product produced by peroxidases. Anal Biochem. 250:10–17. 10.1006/abio.1997.2191
Durak M.Z., Churey J.J., Danyluk M.D., and Worobo R.W. 2010. Identification and haplotype distribution of Alicyclobacillus spp. from different juices and beverages. Int J Food Microbiol. 142:286–291. 10.1016/j.ijfoodmicro.2010.07.003
Eguchi S., Manfio G., Pinhatti M., Azuma E., and Variane S. 1999. Acidothermophilic sporeforming bacteria (ATSB) in orange juices: detection methods, ecology, and involvement in the deterioration of fruit juices. Brazillian Association of Citrus Exports (CitrusBR), Corpus ID: 166224686, pp. 25–35. https://api.semanticscholar.org/CorpusID:166224686
Eiroa M.N.U., Junqueira V.C.A., and Schmidt F.L. 1999. Alicyclobacillus in orange juice: occurrence and heat resistance of spores. J Food Prot. 62:883–886. 10.4315/0362-028X-62.8.883
Gocmen D., Elston A., Williams T., Parish M., and Rouseff R. 2005. Identification of medicinal off-flavours generated by Alicyclobacillus species in orange juice using GC-olfactometry and GC-MS. Lett Appl Microbiol. 40:172–177. 10.1111/j.1472-765X.2004.01636.x
Gouws P.A., Gie L., Pretorius A., and Dhansay N. 2005. Isolation and identification of Alicyclobacillus acidocaldarius by 16S rDNA from mango juice and concentrate. Int J Food Sci Technol. 40;789–792. 10.1111/j.1365-2621.2005.01006.x
Griffiths M. 2000. The new face of food born illness. Can Meat Sci Assoc. 1:6–9.
Hartyáni P., Dalmadi I., and Knorr D. 2013. Electronic nose investigation of Alicyclobacillus acidoterrestris inoculated apple and orange juice treated by high hydrostatic pressure. Food Control. 32:262–269. 10.1016/j.foodcont.2012.10.035
International Federation of Fruit Juice Producers. 2007. Method on the detection of taint producing Alicyclobacillus in fruit juices. IFU method No. 12, 2004/2007. IFU, Copenhagen, Denmark.
Klijn N., Weerkamp A.H., and de Vos W.M. 1991. Identification of mesophilic lactic acid bacteria by using polymerase chain reaction-amplified variable regions of 16S rRNA and specific DNA probes. Appl Environ Microbiol. 57:3390–3393. 10.1128/aem.57.11.3390-3393.1991
Lusardi C., Previdi M.P., Colla F., Barbieri G., and Bolzoni L. 2000. Ability of Alicyclobacillus strains to spoil fruit juices and nectars. Ind Conserve Italy. 75:151–161.
McKnight I., Eiroa M., Sant’Ana A., and Massaguer P. 2010. Alicyclobacillus acidoterrestris in pasteurized exotic Brazilian fruit juices: isolation, genotypic characterization and heat resistance. Food Microbiol. 27:1016–1022. 10.1016/j.fm.2010.06.010
Molva C., and Baysal A.H. 2015. Evaluation of bioactivity of pomegranate fruit extract against Alicyclobacillus acidoterrestris DSM 3922 vegetative cells and spores in apple juice. LWT. 62:989–995. 10.1016/j.lwt.2015.02.021
Osopale B.A., Witthuhn C.R., Albertyn J., and Oguntoyinbo F.A. 2016. Culture-dependent and independent genomic identification of Alicyclobacillus species in contaminated commercial fruit juices. Food Microbiol. 56:21–28. 10.1016/j.fm.2015.11.014
Pinhatti M.E.M.C., Variane S., Eguchi S.Y., and Manfio G.P. 1997. Detection of Acidothermophilic bacilli in industrialized fruit juices. Fruit Process. 9:350–353.
Roth K., Rana Y.S., Daeschel D., Kovac J., Worobo R., and Snyder A.B. 2021. Alicyclobacillus mali spp. nov., Alicyclobacillus suci spp. nov., and Alicyclobacillus fructus spp. nov., thermoacidophilic sporeforming bacteria isolated from fruit beverages. Int J Syst Evol Microbiol. 71(9):5016. 10.1099/ijsem.0.005016
Silva F., and Gibbs P. 2001. Alicyclobacillus acidoterrestris spores in fruit products and design of pasteurization processes. Trends Food Sci Technol. 12:68–74. 10.1016/S0924-2244(01)00070-X
Silva F.V.M., Gibbs P., and Silva C.L.M. 2000. Establishing a new pasteurisation criterion based on Alicyclobacillus acidoterrestris spores for shelf-stable high-acidic fruit products. Fruit Proces. 4:138–141.
Smit Y., Cameron M., Venter P., and Witthuhn R.C. 2011. Alicyclobacillus spoilage and isolation—a review. Food Microbiol. 28:331–349. 10.1016/j.fm.2010.11.008
Sourri P., Doulgeraki A.I., Tassou C.C., and Nychas G.-J.E. 2019. A single enzyme PCR-RFLP assay targeting V1-V3 region of 16S rRNA gene for direct identification of Alicyclobacillus acidoterrestris from other Alicyclobacillus species. J Appl Genet. 60:225–229. 10.1007/s13353-019-00498-8
Sourri P., Tassou C.C., Nychas G.-J.E., and Panagou E.Z. 2022. Fruit juice spoilage by Alicyclobacillus: detection and control methods—a comprehensive review. Foods. 11:747. 10.3390/foods11050747
Thelen K. (2003). Specific rapid detection of Alicyclobacillus by fluorescently labeled gene probes in fruit juices. Fruit Proces. 6:416–418.
Uchida R., and Silva F.V. 2017. Alicyclobacillus acidoterrestris spores inactivation by high pressure combined with mild heat: modeling the effects of temperature and soluble solids. Food Control. 73:426–432. 10.1016/j.foodcont.2016.08.034
Van Luong T.S., Moir C.J., Kaur M., Frank D., Bowman J.P., and Bradbury M.I. 2019. Diversity and guaiacol production of Alicyclobacillus spp. from fruit juice and fruit-based beverages. Int J Food Microbiol. 2:311:108314. 10.1016/j.ijfoodmicro.2019.108314
Vieira M.C., Teixeira A.A., Silva F.M., Gaspar N., and Silva C.L.M. 2002. Alicyclobacillus acidoterrestris spores as a target for Cupuaçu (Theobroma grandiflorum) nectar thermal processing: kinetic parameters and experimental methods. Int J Food Microbiol. 77:71–81. 10.1016/S0168-1605(02)00043-0
Wang Z., Yue T., Yuan Y., Zhang Y., Gao Z., and Cai R. 2021. Targeting the vanillic acid decarboxylase gene for Alicyclobacillus acidoterrestris quantification and guaiacol assessment in apple juices using real time PCR. Int J Food Microbiol. 338:109006. 10.1016/j.ijfoodmicro.2020.109006
Witthuhn R.C., Smit Y., Cameron M., and Venter P. 2011. Isolation of Alicyclobacillus and the influence of different growth parameters. Int J Food Microbiol. 146:63–68. 10.1016/j.ijfoodmicro.2011.02.002
Yamazaki K., Teduka H., Inoue N., and Shinano H. 1996. Specific primers for detection of Alicyclobacillus acidoterrestris by RT-PCR. Lett Appl Microbiol. 23:350–354. 10.1111/j.1472-765X.1996.tb00206.x
Zhang J., Yue T., and Yuan Y. 2013. Alicyclobacillus contamination in the production line of Kiwi products in China. PLoS One. 2-8(7):67704. 10.1371/journal.pone.0067704
Figure S1. Color gradient of Alicyclobacillus isolates after incubation for the detection of guaiacol production with Dohler DMD kit.
Figure S2. Representative isolates of Alicyclobacillus for the detection of guaiacol production with the Dohler DMD kit.
Figure S3. Representative isolates of Alicyclobacillus for the detection of guaiacol production with the Dohler DMD kit.