1Dairy Department, Faculty of Agriculture, Minia University, Minia, 61519, Egypt;
2Dairy Department, Faculty of Agriculture, Al-Azhar University, Assiut, Egypt;
3Pathology and Clinical Pathology Department, Faculty of Veterinary Medicine, Assiut University, Assiut, 71526, Egypt;
4Dairy Science and Technology Department, Faculty of Agriculture & Natural Resources, Aswan University, Aswan, 81528, Egypt;
5Biology Department, College of Science and Arts, King Khalid University, Muhayl Asser, 61913, Saudi Arabia;
6Biology Department, Faculty of Science, Princess Nourah Bint Abdulrahman University, Riyadh, Saudi Arabia;
7Department of Biological Sciences, College of Science, University of Jeddah, Jeddah, 22233, Saudi Arabia;
8Department of Biochemistry, College of Sciences, University of Jeddah, Jeddah, Saudi Arabia;
9Department of Nutrition, Faculty of Pharmacy and Medical Sciences, University of Petra, Amman, 11196, Jordan;
10Agricultural Chemistry Department, Faculty of Agriculture, Minia University, Minia, 61519, Egypt
Deltamethrin (DLM) represents one of the most commonly used pesticides. It passes through milk, vegetables, and fruits to humans or through animals (veterinary drugs and feeding on contaminated forage) to milk; it can escape from skin to blood and be secreted in breast milk in lactating women. It is believed to have neurotoxic, nephrotoxic, and hepatotoxic properties. To investigate deltamethrin-induced hepatotoxicity, 64 rats were divided into eight groups. The control group did not receive any treatment. The groups were as follows: D 30 mg DLM/kg body weight (BW) dissolved in corn oil; B 1 mL whey (1010 cfu/mL of Bifidobacterium longum ATCC 15707); S 1 mL whey (0.5 ppm selenium); BS 1 mL whey (1010 cfu/mL of B. longum ATCC 15707 + 0.5 ppm selenium); BD 1 mL whey (1010 cfu/mL of B. longum ATCC 15707 + DLM); SD 1 mL whey (0.5 ppm selenium) + DLM; and BSD 1 mL whey (1010 cfu/mL of B. longum ATCC 15707) + 0.5 ppm selenium + DLM. Results revealed that the manipulation of Bifidobacteria with selenium triggered a significant improvement in AST (U/mL), ALT (U/mL), GSH (mg/g), TNF-α (pg/mL), NF-κB (ng/mL), and BCL2 (ng/mL) from 166.7 ± 6.42, 30.67 ± 0.55, 0.252 ± 0.005, 17.18 ± 0.42, 1.14 ± 0.10, and 1.77 ± 0.06 versus 334.9 ± 4.7, 72.83 ± 2.49, 0.108 ± 0.005, 33.57 ± 0.59, 2.58 ± 0.05, and 1.04 ± 0.04, respectively, compared to DLM group. As well as reduction in histopathological necrosis, congestion, and degradation. Whey beverages fortified with B. longum and selenium implicated a reduction in oxidative stress and histopathological degradation that accomplished DLM toxicity. The utilization of whey (a byproduct of cheese making) is considered a recycling process that supports eco-friendly practices and sustainability, thus encouraging its use as a protective tool in animal feed or manipulation by humans, especially workers in pesticide plants.
Key words: Bifidobacterium longum, Deltamethrin, hepatotoxicity, probiotic, selenium, whey
*Corresponding Author: Wael F. Elkot, Dairy Science and Technology Department, Faculty of Agriculture & Natural Resources, Aswan University, Aswan, Egypt. Email: wael.fathi@agr.aswu.edu.eg
Received: 24 July 2024; Accepted: 20 August 2024; Published: 18 October 2024
© 2024 Codon Publications
This is an Open Access article distributed under the terms of the Creative Commons Attribution-NonCommercial-ShareAlike 4.0 International (CC BY-NC-SA 4.0). License (http://creativecommons.org/licenses/by-nc-sa/4.0/)
Synthetic pyrethroids have superior resistance to degradation and exhibit potent activity against a wide range of ectoparasites (Ellse et al., 2012). Type-II synthetic pyrethroid, extensively used as a pesticide and herbicide in agriculture, is known commonly known as deltamethrin (DLM) (Tewari et al., 2018). Its quick metabolism, minimal toxicity to people and animals, and strong effect on numerous pests have promoted its widespread usage (Abdel-Daim et al., 2013). According to Gaines and Linder (1986), the acute toxicity of DLM is high, with an oral LD50 (in an oily vehicle) of about 50 mg/kg BW for adult male rats and 30 mg/kg BW for adult female rats. DLM metabolites have been linked to detrimental effects on human health, including nephrotoxicity, hepatotoxicity, and neurotoxicity. The neurotoxic effects of DLM metabolites are characterized by the inhibition of voltage-gated chloride channels and gamma-aminobutyric acid (GABA) receptors, as well as the opening of voltage-sensitive sodium channels (Aylward et al., 2011). The liver was found to accumulate a greater concentration of metabolites as it is the major organ of DLM metabolism, and the kidneys are the main site of excretion (El-Maghraby, 2007). Pyrethroid exposure in humans can occur through ingestion, inhalation, skin contact, blood, and ultimately excretion in breast milk (Chi et al., 2023; Riederer et al., 2008; Saillenfait et al., 2015). Children and pregnant women are more vulnerable to these kinds of exposures (Berkowitz et al., 2003). An acceptable daily intake (ADI) of 0.01 mg/kg of BW per day has been established for DLM by the joint FAO/WHO (Sams and Jones, 2012). However, there is a lack of data on actual human exposure to DLM. Its exposure is common in agricultural and occupational workers; for example, workers in DLM packaging factories in China have been exposed to airborne levels of 0.5–12 μg/m3, with resulting skin contact (He et al., 1989). It was established that pyrethroid metabolites were found in the urine following ingestion of milk, sour cream, semolina (pasta), rice, whole grain bread, breakfast cereals, and fruits from the pesticide-sprayed areas. DLM residues were discovered in milk as a result of animal exposure through feed, fodder, drinking water, external parasite control on animal bodies, and insect control in cattle and sheep (Akhtar and Ahad, 2017; Riederer et al., 2010).
Probiotics are microorganisms that when used in adequate amounts (not less than 106–107) provide health benefits to the host (Bakr et al., 2021; Elkot, 2022; Elkot and Khalil, 2022; Elkot et al., 2023). The ability of probiotics to detoxify pesticides has been extensively studied in recent years. This protective activity depends on several variables, such as pH, growth phase, toxicant structure, concentration, and, most importantly, staining (Khorshidian et al., 2016; Yousefi et al., 2019). Fermentation is a highly effective way to reduce pesticide levels. The brine of naturally fermented black olives contains two Lactobacillus plantarum strains (LB-1 and LB-2) and can degrade deltamethrin; after 3 days, LB-1 and LB-2 strains degraded 24 and 53% of DLM, respectively (Kumral et al., 2020). Pesticide-degrading genes encoded to enzymes possessing higher gene expression in such microorganisms in the presence of pesticides in the growth media explain the effects of probiotics on pesticides (Sidhu et al., 2019). Pesticides can affect the composition and metabolites of the gut microbiota, such as bile acids, trimethylamine, and short-chain fatty acids (SCFAs), as well as eliminate intestinal mucosa and cells. This can cause pathological changes by influencing receptor sites in various tissues and organs (Yuan et al., 2019). Probiotics help to restore environmental contaminants and reduce gut dysbiosis (Feng et al., 2019). They produce antimicrobial compounds that inhibit the growth of other microorganisms or compete with the intestinal microbes for nutrients and binding sites. According to Hemarajata and Versalovic (2013), probiotics enhance the integrity of the intestinal barrier, lessen bacterial translocation across the intestinal mucosa, and modify intestinal immunity. Superoxide dismutase is a tool that probiotics use to break down superoxide. They can also create antioxidant metabolites such as glutathione, butyrate, and folate; boost the host’s antioxidant system; control signaling pathways such as nuclear factor kappa B (NF-kB), mitogen-activated protein kinase (MAPK), and protein kinase (PKC), and enzymes that produce reactive oxygen species (ROS) such as cyclooxygenase, NADPH oxidase, and cytochrome P450. (Dasari et al., 2017; Wang et al., 2017).
According to Hong-Wei et al. (2020), the kidneys synthesize plasma glutathione peroxidases (GSH-Px), which requires selenium as a cofactor. GSH-Px are crucial for the metabolism of ROS. Furthermore, Yousef et al. (2006) demonstrated that ROS are produced during the metabolism of pyrethroids. Selenium, as GPx, is a potent anti-inflammatory and antioxidant that can: (i) lower hydroperoxide intermediates in the lipoxygenase and cyclooxygenase pathways that produce inflammatory prostaglandins and leukotrienes; (ii) lower hydroperoxides of lipids, hydrogen peroxide, and phospholipids, which inhibits the spread of ROS and free radicals; and (iii) modulate the respiratory burst by removing superoxide and hydrogen peroxide (Spallholz et al., 1990); iv) control thyroid hormone metabolism; and v) adjust immunological response. Glutathione peroxidase (GSH-Px) and thioredoxin are two enzymes with physiological antioxidant characteristics that contain selenium as a structural component (Perottoni et al., 2004). Selenium in organic form has many potential activities, and the addition of probiotic bacteria represents extra value to selenium besides its role as a pesticide detoxicate.
Less toxic nano-selenium and its greater bioavailability have gained a lot of interest. The subject of biomedical nervous systems has a lot of potential applications for nano-selenium (Ding et al., 2023). However, there is a lot of concern regarding long-term, low-level exposure to chemicals, pesticides, or airborne pollutants and neuroinflammation. Selenium has the potential to alter the nonoccupational subclinical neurotoxic effects of metals (Werder et al., 2020).
Whey has high nutritional quality, which equates between 70 and 90% of processed milk volume and 50% of the nutrients from the original milk, including soluble protein, lactose, vitamins, and minerals. It is a byproduct of cheese processing or casein precipitation that can be used in beverage formulations (Elkot et al., 2024; Ismail et al., 2023). The type of cheese being processed, the casein precipitation technique, the temperature at which the milk is heated, and the storage of the milk following milking are some of the variables that affect the composition of milk whey (Lievore et al., 2015).
According to Kang et al. (2020), dietary selenium can be acquired as selenomethionine (SeMet), selenocysteine (Sec), selenite, and selenite. Whey is a source of methionine and cysteine, 1.6 and 1.7 g/100 g whey protein, respectively (Banaszek et al., 2019). Moreover, whey proteins help the growth of probiotic bacteria and maintain them from oxidative stress owing to the antioxidant properties of whey proteins (Skryplonek et al., 2019).
As DLM is a very commonly applied pesticide, what is the safe strategy to diminish its toxicity? As previous studies did not merge selenium and defined probiotic strains to prevent DLM toxification, we decided to utilize them in functional whey beverages. The utilization of B. longum ATCC 15707 in a specific target conveys the scientific direction to use the probiotic strain for a distinct purpose. So, the current study hypothesis is that fortified whey beverages with selenium and/or Bifidobacterium can reduce DLM toxicity in rat models, toward its future application in human nutrition and animal feeding.
The probiotic strain B. longum ATCC 15707 was acquired from the Cairo Microbiological Resource Center (MIRCEN) at Faculty of Agriculture, Ain Shams University. We obtained Lactococcus lactis ssp. lactis and L. lactis spp. cremoris from the American Type Culture Collection (American Type Culture Collection, Rockville, MD), to use as a starter in cheddar cheese making.
Sixty-four female Sprague Dawley rats weighing 175–200 g at 2–3 months were purchased from the Egyptian Company for Drugs and Veterinary Vaccines (Vacsera, Helwan, Egypt). According to the World Organization for Animal Health (OIE) regulations for using animals in research, the protocol was approved by the Committee on the Ethics of Animal Experiments of the Faculty of Agriculture at Minia University, Minia, Egypt, before beginning the research. This study was carried out following the recommendations in the Guide for the Care and Use of Laboratory Animals of the National Institutes of Health (Protocol Number: MU/FA-00800223). Animals were maintained in a well-ventilated facility following a 12 h light/dark cycle and ambient temperature (26 ± 2°C). All animals received a standard diet (4–5 g/25 g BW) and drinking water ad libitum. The diet was purchased from Research Diet Inc. Every possible effort and precaution were taken to minimize pain in the animals throughout the experimental procedures. All surgeries were performed under thiopental sodium anesthesia.
Sodium selenite (Na2OSe3, MW: 172.95, Purity 99.5%) was purchased from Electro Scient Chemical Company, Kasr El-Eieny, Cairo. The stock solution was prepared as described by Zommara et al., 2013. Deltamethrin 98% was purchased from Super Kanzib Company, Egypt.
Whey was prepared from cow’s milk (obtained from the herd of the animal production farm, Faculty of Agriculture). Briefly, cow’s milk was acidified with 1% L. lactis ssp. lactis + L. lactis spp cremoris and incubated at 40°C for 30 min. Rennet was added, and after coagulation, the curd was cut and stirred at 40°C and allowed to drain, and the steps for manufacturing cheddar cheese were met (Walstra et al., 2005). The resultant whey (byproduct) was inoculated with 1% of active B. longum ATCC 15707 culture (the final product containing 1010 cfu /mL) separately, or with 0.5 ppm Na2OSe3 and incubated at 37°C for 48 h.
Titratable acidity, pH, fat, protein, TS, and moisture were determined according to AOAC International (2016). The viability of Bifidobacteria in whey beverages was determined according to Emana et al. (2020).
Sixty-four female Sprague Dawley rats weighing 175–200 g and aged 2–3 months were adopted for 2 weeks before the experiment. The rat chow (basal diet) was offered at a level of 4–5 g/25 g BW, and clean water was provided ad libitum. The rats were divided into eight equal groups. The experimental group was designed as follows:
C: Rats fed with a control diet (CD) was considered as the negative control
D: rats were fed with CD + DLM (30 mg/kg BW). DLM was dissolved in corn oil (Abdel-Daim et al., 2013) (positive control)
B: rats were fed with CD + 1 mL whey (1010 cfu /mL of B. longum ATCC 15707)
S: rats were fed with CD + 1 mL whey (0.5 ppm selenium)
BS: rats were fed with CD + 1 mL whey (1010 cfu /mL of B. longum ATCC 15707 + 0.5 ppm selenium)
BD rats were fed with CD + 1 mL whey (1010 cfu /mL of B. longum ATCC 15707 + DLM)
SD rats were fed with CD + 1 mL whey (0.5 ppm selenium) + DLM)
BSD rats were fed with CD + 1 mL whey (1010 cfu/L of B. longum ATCC 15707 + 0.5 ppm selenium) + DLM.
The rats had free access to drinking water for 10 days, and the diet was calculated as 4–5 g/25 g rat BW. One milliliter of whey containing Bifidobacteria or selenium was given to each treated rat by oral gavage feeding method, once in a day.
After the experiment, the rats were humanely euthanized by giving thiopental sodium (50 mg/kg) intraperitoneally (Abdelrahman et al., 2020). The blood sample was drawn from the hepatic vein and centrifuged for 15 min at 3000 × g, and the serum was gathered and preserved at −20°C for further biochemical analysis. The liver from each rat was swiftly dissected and washed out using physiological saline to remove any clogs and was divided into numerous portions. For histological examination, one portion was preserved in 10% neutral buffered formalin (El-Nasr Company for Intermediate Chemicals, Giza, Egypt). Other tissue parts were stored at −80°C for oxidative biomarkers estimation.
Alanine aminotransferase (ALT) (IU/L) and aspartate aminotransferase (AST) (IU/L) were determined gnidrocca to Wu (2006). The concentrations of reduced glutathione (GSH) were determined as described by Beutler et al. (1963), and all measurements were determined following the instructions on the commercial kits from Biodiagnostic, Giza, Egypt. TNF-α was estimated by TNF-α ELISA KIT, NF-κB was determined following the instructions of manufacturer of Rat Nuclear Factor Kappa B/NFKB ELISA kit, and BCL2 was determined according to the instructions of Rat B-cell CLL/lymphoma 2 (BCL2) ELISA KIT.
Hepatic tissue samples were preserved in 10% neutrally buffered formalin. This was followed by dehydration using increasing alcohol grades, xylene clearing, and paraffin embedding. Hematoxylin and eosin (H&E) staining was performed on tissue sectioned to a thickness of 5 microns (Bancroft et al., 1996).
Every assessment was performed at least thrice. Means and standard errors were calculated. Data were analyzed by one-way ANOVA analysis followed by the Tukey test, applied as a post-test to compare all groups with the negative and positive controls using GraphPad Prism 5 analysis software (Motulsky, 1999).
Examination of the chemical composition of resultant whey from cheddar cheese as a byproduct revealed 5.640 ± 0.010, 0.143 ± 0.006, 0.923 ± 0.051, 0.300 ± 0.100, 5.326 ± 0.062, 5.026 ± 0.062, and 94.67 ± 0.062 for pH, acidity, protein, fat, TS, SNF, and moisture, respectively (Table 1). Deltamethrin is a synthetic pyrethroid insecticide that has a neurotoxic effect on insects and animals. It is commonly used in agriculture and for residential pest control. Bifidobacteria are beneficial bacteria naturally present in the intestines of mammals, including rats. Whey proteins have been reported to pose a promoting effect on the growth of probiotic bacteria belonging to Lactobacillus and Bifidobacterium as well as a protective performance from oxidative stress as the presence of sulfhydryl group in sulfuric amino acids constituting whey proteins (Dinkçi et al., 2023; Skryplonek et al., 2019). Whey is selected as it constitutes (sulfuric amino acids) cysteine and methionine that incorporate with selenium to form selenoproteins that could enhance the growth of Bifidobacteria.
Table 1. Chemical composition of cheddar cheese whey.
| Chemical composition | Average |
|---|---|
| pH | 5.640 ±0.010 |
| Acidity% (w/v) | 0.143 ±0.006 |
| Fat% (w/v) | 0.300 ±0.100 |
| Protein% (w/v) | 0.923 ±0.051 |
| Total solids (TS) % (w/v) | 5.326 ±0.062 |
| Solids not fat (SNF)% (w/v) | 5.026 ±0.062 |
| Moisture% (w/v) | 94.67 ±0.062 |
*Results are expressed as means of three replicates ± standard deviations (SD).
Analysis of cheddar cheese whey indicated symmetric results of 0.3, 6.75, 6.45, and 93.25 for fat %, TS, SNF, and moisture, respectively. However, slightly less acidity has been reported at 0.13% (w/v in lactic acid) (Senarathna et al., 2010). Concerning protein, water content, and TS, Lievore et al. (2015) obtained results closer to those obtained in the current study, 0.84, 94.44, and 5.57%, respectively, with a high acidity of 0.61%. Whey from hard cheese often had a pH of 5.6 or greater (Gami et al., 2016).
To examine the effect of selenium on the activity of B. longum ATCC 15707, the strain was inoculated in MRS + L-cysteine (control) and combination with sodium selenate (Na2SO3) 0.5 ppm, and the growth was monitored as OD at 660 nm (T80 UV/VIS spectrometer PG Instrument Ltd). Results indicated that there was no obvious inhibition with the addition of selenium in the form of sodium selenate (Na2SO3) 0.5 ppm on B. longum ATCC 15707 viability compared to control 1.247 ± 0.05221 versus 1.301 ± 0.02427.
Figure 1 indicated that there was no statical difference in groups according to the liver index. Liver enzymes AST and ALT concentrations are indicated in Table 2. A significant boost in AST and ALT levels in the DLM group was observed compared to the control, and the addition of Bifidobacteria triggered significant enhancement. However, incorporation of selenium did not emerge as a describable improvement in consideration of liver enzymes. The combination of Bifidobacteria with selenium led to a static decrease in the liver enzymes both in the presence and absence of DLM, 109.2 ± 5.56, 28.13 ± 1.62 and 166.7 ± 6.42, 30.67 ± 0.55, respectively compared to 334.9 ± 4.7, 72.83 ± 2.49. AST and ALT showed similar characteristics in the tested group. Many authors reported elevation in liver weight after 12 weeks of exposure to DLM at a dose of 45 mg/kg body weight (Li et al., 2021). Only 6 mg/kg of DLM for 28 days was sufficient to cause liver weight gain (Sharma et al., 2014). Differences in the current study may refer to the short experiment period and low pesticide dosage. According to the current study, DLM-treated rats had significantly higher blood biochemical parameters such as aspartate transaminase (AST) and alanine transaminase (ALT) (probably caused by antioxidant biomarker inhibition) (Abdel-Daim et al., 2013).
Figure 1. Effect of DLM, Bifidobacteria, and selenium on liver index %. Data represent the mean ± SD of observations from eight rats. asignificantly different from control group at P < 0.05. bsignificantly different from the deltamethrin group at P < 0.05. Control: negative control, D: DLM (positive control), B: Bifidobacterium, S: selenium, BS: Bifidobacterium + selenium, BD: Bifidobacterium + DLM, SD: selenium + DLM and BSD: Bifidobacterium + selenium + DLM.
Table 2. Liver enzymes AST and ALT for experimental groups.
| Groups | AST(U/mL) | ALT(U/mL) |
|---|---|---|
| Control | 146.2 ± 4.58 | 22.8 ± 1.05 |
| D | 334.9 ± 4.7a | 72.83 ± 2.49a |
| B | 129.9 ± 0.74ab | 25.00 ± 1.85b |
| S | 157.2 ± 6.30b | 30.40 ± 0.55ab |
| BS | 109.2 ± 5.56ab | 28.13 ± 1.62b |
| BD | 191.7 ± 7.63ab | 32.73 ± 1.33ab |
| SD | 237 ± 2.64ab | 32.97 ± 2.65ab |
| BSD | 166.7 ± 6.42ab | 30.67 ± 0.55ab |
Data represent the mean ± SD of observations from eight rats. asignificantly different from control group at P < 0.05. bsignificantly different from the Deltamethrin group at (P < 0.05). Control: negative control, D: DLM (positive control), B: Bifidobacterium, S: selenium, BS: Bifidobacterium + selenium, BD: Bifidobacterium + DLM, SD: selenium + DLM and BSD: Bifidobacterium + selenium + DLM.
In consideration of glutathione, Figure 2 indicated DLM-induced oxidative stress, and GSH reduced significantly compared to the control, 0.108 ± 0.005 versus 0.263 ± 0.004 mg/g. Amalgamation of selenium resulted in reduced improvement likened to Bifidobacteria, while the combination of Bifidobacterium longum ATCC 15707 and 0.5 ppm selenium seemed to be more effective in elevated GSH levels. GSH is a tripeptide essential for cell defence, a well-known antioxidant, and a potent nucleophile. It can prevent ROS such as peroxides and free radicals from causing harm to crucial cellular constituents. Every cell in the human body can synthesize glutathione, and liver glutathione synthesis is important (Pompella and Corti, 2015). DLM decreased the GSH level in the liver compared to the control groups, this depletion in GSH level could be referred to as the oxidative stress resulting from DLM or as inhibition of some enzymes like GR, GPx, and so on, which cause exhaustion in GSH levels (Sharma et al., 2014).
Figure 2. Effect of DLM, Bifidobacteria, and selenium on GSH level %. Data represent the mean ± SD of observations from eight rats. asignificantly different from control group at P < 0.05. bsignificantly different from the deltamethrin group at P < 0.05. Control: negative control, D: DLM (positive control), B: Bifidobacterium, S: selenium, BS: Bifidobacterium + selenium, BD: Bifidobacterium + DLM, SD: selenium + DLM and BSD: Bifidobacterium + selenium + DLM.
Table 3 included TNF-α and NF-KB results. DLM increased TNF-α and NF-KB concentrations significantly compared to the control, 33.57 ± 0.59 versus 15.55 ± 0.52 and 2.58 ± 0.05 vs 1.03 ± 0.06, respectively. Treatments of B, S, and BS showed enhancement compared to the control. Although the addition of Bifidobacteria and selenium separately or together besides DLM did not improve more than controls, the results were statically different compared to the DLM group. BS was the most effective treatment to reduce TNF-α and 1.03 ± 0.06 concentrations, in case of adding DLM or not.
Table 3. TNF-ά, NF-KB, and BCL2 for experimental groups.
| Groups | TNF-α (pg/mL) |
NF-κB (ng/mL) | BCL2 (ng/mL) |
|---|---|---|---|
| Control | 15.55 ± 0.52 | 1.03 ± 0.06 | 1.83 ± 0.11 |
| D | 33.57 ± 0.59a | 2.58 ± 0.05a | 1.04 ± 0.04a |
| B | 11.87 ± 0.92ab | 0.81 ± 0.04ab | 2.08 ± 0.09ab |
| S | 13.31 ± 0.65ab | 0.84 ± 0.04ab | 2.71 ± 0.06b |
| BS | 10.02 ± 0.17ab | 0.69 ± 0.025ab | 3.207 ± 0.58ab |
| BD | 18.28 ± 0.73ab | 1.18 ± 0.03ab | 1.53 ± 0.08 |
| SD | 23.60 ± 0.51ab | 1.40 ± 0.06ab | 1.27 ± 0.04 |
| BSD | 17.18 ± 0.42b | 1.14 ± 0.10b | 1.77 ± 0.06b |
Data represent the mean ± SD of observations from eight rats. asignificantly different from control group at P < 0.05. bsignificantly different from the deltamethrin group at (P < 0.05). Control: negative control, D: DLM (positive control), B: Bifidobacterium, S: selenium, BS: Bifidobacterium + selenium, BD: Bifidobacterium + DLM, SD: selenium + DLM and BSD: Bifidobacterium + selenium + DLM.
As expected, BCL2 decreased significantly in the DLM group. Consequently, the incorporation of B, S, and BS cleared a considerable enhancement compared to control. In addition to Bifidobacteria and selenium, separately or together besides DLM, the results were statically different compared to the DLM group. BS was the most effective treatment to reduce TNF -ά and 1.03 ± 0.06 concentrations, in the presence or absence of DLM. A remarkable decrease in SOD activity in the liver was recorded in rats after DLM exposure. SOD activity reduction can be explained by the accumulation of hydrogen peroxide (Nishikimi et al. 1972), and accumulated H2O2 is distinguished to suppress CAT activity (Latchoumycandane and Mathur, 2002).
Based on our findings, piglets were fed on a basal diet (Con, 0.16 mg Se/kg) for 42 days in addition to probiotics (P, 0.16 mg Se/kg), sodium selenite (SS, 0.46 mg Se/kg), and SP (0.46 mg Se/kg). Glutathione peroxidase activity and tissue thioredoxin reductase 1 mRNA expression were increased by both treatments (SS and SP), with selenium-enriched probiotics exhibiting a greater increase than selenium-lone probiotics. Superoxide dismutase activity (SOD) (40.1, 53.0, and 64.5%) and glutathione levels (84.6, 104, and 165%) were increased by P, SS, and SP supplementation. Probiotics enhanced with selenium may have greater antioxidant capacity than probiotics alone (Gan et al., 2014). The primary role of the BCL2 protein is to maintain the integrity of the mitochondrial membrane by preventing cytochrome c from being released and from attaching itself to APAF1 (apoptosis activating factor-1). The protein contains each of the four BCL2 homology (BH) domains, BH1 through BH4. The protein can interact and form homo- and heterodimers with proapoptotic BCL2 protein family members through the hydrophobic gap that BH1, BH2, and BH3 form (Reed, 2006; Thomadaki and Scorilas, 2006).
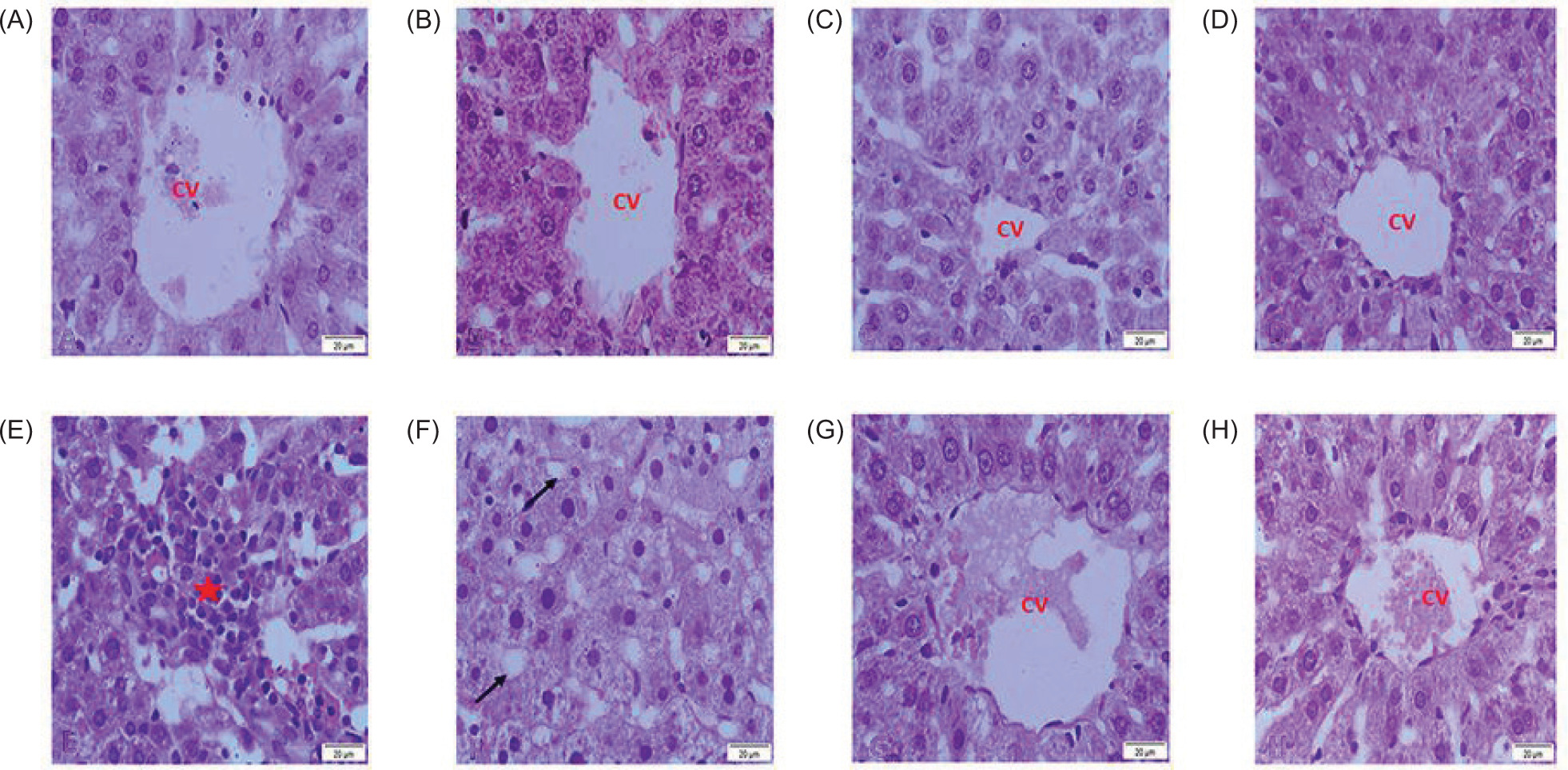
Examination of the liver in the control negative group revealed a normal histological appearance (Figure 3A). The histopathology of the DLM-treated group revealed vascular alterations such as congestion of the central vein, perivascular fibrosis, and perivascular mononuclear cell infiltration mainly in lymphocytes. The hepatocellular changes were vacuolar degeneration of hepatocytes, focal areas of necrosis with mononuclear cell infiltration as well as focal areas of hemorrhages could also be noticed (Figures 3B–3H). Examination of Bifidobacteria-treated group, selenium-treated group, and Bifidobacteria +selenium-treated group revealed the normal structure of the liver with normal central vein and hepatocytes (Figures 4A–4C). The group of rats treated with Bifidobacteria and DLM showed vacuolar degeneration of the hepatocytes and mononuclear cell infiltration (Figures 4D and 4E). Examination of the selenium- and DLM-treated group showed vacuolar degeneration, nuclear pyknosis, and vascular changes such as congestion and dilation of the central vein (Figures 4F and 4G), while the group of rats treated with selenium, Bifidobacteria, and DLM-treated group showed complete improvement in the hepatic architecture (Figure 4H). The lesion scores of all groups are presented in Table 4.
Figure 3. Representative micrograph of the liver of Groups 1 and 2 stained with HE. (A) Control negative group (C) showing normal liver histology, central vein (CV) and hepatocytes. B-H) Deltamethrin treated group (D) showing congestion of the central vein (CV), perivascular fibrosis (red arrow), perivascular mononuclear cell infiltration (red star), vacuolar degeneration (black arrows), focal necrosis with mononuclear cell infiltration (black star), and focal areas of hemorrhages (blue stars).
Figure 4. Representative micrograph of the liver of the in Groups 3–8 stained with HE. (A, B, C) Bifidobacteria-treated group (B), selenium (S) treated group and Bifidobacteria- + selenium-treated group (BS) displayed the normal structure of the liver with normal central vein (CV). D, E) Bifidobacteria + deltamethrin treated group (BD) showing vacuolar degeneration and mononuclear cell infiltration (red star). (F, G) Selenium + Deltamethrin treated group (SD) showing vacuolar degeneration (black arrows), nuclear pyknosis and congestion & dilation of central vein (CV). H) Selenium + Bifidobacteria + Deltamethrin-treated group (BSD) showing hepatic cells are getting better and have normal architecture.
Table 4. An overview of the lesion score in all groups.
| Lesion | C | D | B | S | BS | BD | SD | BSD |
|---|---|---|---|---|---|---|---|---|
| Congestion of bl. vs | – | +++ | – | – | – | + | ++ | + |
| Perivascular mononuclear infiltration | – | ++ | – | – | – | – | – | – |
| Perivascular fibrosis | – | + | – | – | – | – | – | – |
| Vacuolar degeneration of hepatocytes | – | +++ | – | – | – | + | + | – |
| Focal liver necrosis | – | ++ | – | – | – | ++ | – | – |
| Focal hemorrhages | – | ++ | – | – | – | – | – | – |
–No lesions, + lesions present in 2–3 sections, ++ lesions present in 4–6 sections, +++ lesions present in 7–10 sections. Control: negative control, D: DLM (positive control), B: Bifidobacterium, S: selenium, BS: Bifidobacterium + selenium, BD: Bifidobacterium + DLM, SD: selenium + DLM and BSD: Bifidobacterium + selenium + DLM.
Numerous cell types have been shown to undergo apoptosis when exposed to DLM. After 3 h of DLM administration, BCL2 expression is considerably decreased, whereas p38 MAP kinase and Bax expression are enhanced in a concentration-dependent manner, according to Western blot analysis. Glutathione depletion has also been noted at 3 and 6 h with DLM concentrations of 25 and 50 µM, respectively. According to Kumar et al. (2016), DLM can trigger apoptosis by binding to CD45 and CD28 receptors, which can result in oxidative stress and the activation of mitochondrial caspase-dependent pathways that eventually impact immunological activities.
According to Su et al. (2019), persistent ROS release will result in a significant inflammatory response. ROS stimulated the traditional NF-κB inflammatory signaling pathway in diseased conditions. Following that, the announcement of several proinflammatory cytokines, such as TNF-α, interleukin-1β, and interleukin-6, exacerbate inflammatory damage to the liver (Liu et al., 2018, 2019; Wei et al., 2018). Chronic inflammation and tissue damage are caused by TNF-α, which increases the production of chemokines by fibroblasts, endothelial cells, and macrophages. In addition to controlling the oxidative stress response, Nrf2 functions as an upstream regulator by controlling the release of cytokines, which reduces inflammation (Li et al., 2021). Consequently, DLM exposure causes liver inflammation in rats by stimulating the NF-κB/TNF-α signaling pathway.
A DLM dose lower than that implicated in this study (12.5 mg/kg BW in corn oil) can induce apoptosis and oxidative stress in rats (Wu and Liu, 2000). On comparing the treated (Groups D, BD, SD, and BSD) mice to the control group, the livers of the treated mice displayed more pronounced alterations. The targeted organ showed intermittent or no discernible alterations in the groups (C, B, S, and BS) that did not receive any doses. The liver plays a major role in the metabolism of many substances, medications, and insecticides (Pineiro-Carrero and Pineiro, 2004). When the pesticide is metabolized in the liver by hydrolytic ester cleavage by the cytochrome P450 and oxidative pathways, free radical production may play a role in the pathophysiology of DLM poisoning (Chargui et al., 2012; Tewari et al., 2018). According to earlier research, a high level of exposure to harmful xenobiotics causes biochemical and histological alterations in the liver, including hepatocyte disintegration and necrosis (Mossa et al., 2011). Exposure to DLM increases the production of glucagon and adrenocorticotropic hormone, which expedites the conversion of hepatic glycogen into glucose and promotes glycogen depletion (Datta and Kaviraj, 2003). According to Tewari et al. (2018), this reaction to DLM may be the result of a stress hormone-mediated response, which causes vacuoles to appear in the cytoplasm of hepatocytes in groups that were treated with the drug. HepG2 cells were used for assessing the DLM hepatotoxicity, and from the results it can be found that 265 mM falls in the normal range of pesticide exposure. Comparable values were obtained for neutral assay. An increase in LDH leakage depicts the loss of membrane integrity as a result of pesticide exposure. The viability assessment confirms the dose-dependent toxicity of DLM that was ameliorated by using sodium selenite due to its involvement in hepatic glutathione metabolism and redox balance maintenance. Selenium forms the indispensable part of glutathione peroxidase that is required for the oxidation of reduced glutathione; most of the ROS are scavenged by glutathione which results in decreased fluorescence. Thiol-specific dye monochlorobimane also confirms a decrease in intracellular glutathione of HepG2 cells treated with DLM which may be due to conversion in oxidized form (Ramachandran, 2014).
Toxic effects of chemicals typically manifest largely in the liver and kidney tissues since the liver is the master organ of massive metabolic processes and the kidney is the major organ of drug and xenobiotic execration (Abdel-Daim et al., 2013). In the current investigation, rats treated with DLM showed signs of acute hepatic injury, including necrosis, vacuolar degeneration, perivascular fibrosis, loss of hepatic architecture, and bleeding. Additionally, the histological findings demonstrated for a long time that SB protected against DLM-induced hepatotoxicity.
The DLM metabolic pathways were confirmed in vitro using mouse liver microsomal enzyme systems, demonstrating that 3-PBA, 4'-, and 5-OH DLM were the primary metabolites that agreed with the in vivo investigation. In the liver of cows and chickens, DLM was converted into 3-PBA and 4'-OH-deltamethrin (Akhtar and Ahad, 2017). One study, in particular, found that DLM accumulated inside cells in cell models but underwent partial transformation into less or inactive isomers (Lu et al., 2019). Additionally, NADPH-dependent and -independent metabolic pathways may be used to metabolize DLM. In rat liver microsomes, approximately 1 μM of DLM was metabolized via NADPH-dependent oxidative metabolism; in human liver microsomes, however, it was metabolized via NADPH-independent hydrolytic metabolism. These variations were probably caused by variations in the intrinsic activity of the carboxylesterases in rats and humans (Godin et al., 2006). According to a more recent study, CYP6FU1 has a role in the metabolism of DLM in Laodelphax striatellus (a cereal crop pest dependent on NADPH) and the synthesis of 4-OH-deltamethrin. Additionally, CYP6AA3-mediated DLM metabolism was assisted by a purified NADPH-CYP450 reductase protein, which moved electrons from NADPH to the CYP450-substrate complex (Elzaki et al., 2018).
At the moment, it seems that the primary metabolic pathways for DLM are CYP450 enzymes, carboxylesterase, and the NADPH pathway (Müller et al., 2008). It is crucial to remember that DLM metabolites, such as 4'-OH-deltamethrin and 2'-OH-DLM, exhibit markedly increased toxicity (Anadón et al., 1996). This phenomenon will help explain the toxicity of DLM after metabolism, particularly once it enters the environment (Lu et al., 2019). The mode of action of Bifidobacteria in a rat treated with DLM is not well established. However, recent studies suggest that Bifidobacteria can help to mitigate the toxic effects of DLM in the body. Here are a few possible mechanisms by which Bifidobacteria may exert a protective effect:
Modulation of the gut microbiota: Bifidobacteria help restore the balance of the gut microbiota, which may be disrupted by exposure to pesticides, by promoting the growth of other beneficial bacteria, competing pathogenic bacteria at the binding site, and by helping to maintain a healthy gut environment.
Increased production of short-chain fatty acids (SCFAs): Bifidobacteria can produce SCFAs, which are important metabolites that have numerous health benefits. SCFAs can reduce inflammation, improve gut barrier function, and protect against oxidative stress.
Enhancement of the immune system: Bifidobacteria can stimulate the immune system and help to protect against infections. By promoting the growth of immune cells and enhancing their function, Bifidobacteria can help to reduce the toxic effects of DLM in the body.
Degrade pesticides by enzymes such as carboxylase, phosphatase, and phosphotriesterase.
Decrease oxidative stress by mitigation of antioxidant metabolites, producing ROS emerging enzymes, stimulation of antioxidant mechanisms and regulation of signaling pathways.
Raising expression of tight junction proteins such as Cingulin, Occludin, and Zona occluden 1 and 2 (Mohammadi et al., 2021).
Overall, the exact mode of action of Bifidobacteria in rats treated with DLM is not fully understood, and more research is needed to determine the mechanisms by which these bacteria exert their protective effects. However, Bifidobacteria can play an important role in promoting gut health and protecting against environmental toxins.
Selenium is a natural antioxidant and anti-inflammatory agent as GPx, that can:
Diminish hydrogen peroxide, lipid, and phospholipids hydroperoxides, thereby dampening the propagation of free radicals and ROS.
Lessen hydroperoxide intermediates in the cyclooxygenase and lipoxygenase pathways leading to inflammatory prostaglandins and leukotrienes.
Moderate the respiratory burst, by removal of hydrogen peroxide and superoxide (Spallholz et al., 1990).
Arrange thyroid hormone metabolism.
Modulate the immune system.
Act as a precursor component of enormous enzymes with physiological antioxidant properties, including glutathione peroxidase (GSH) and thioredoxin (Perottoni et al., 2004).
From previously discussed mechanisms, the addition of probiotic bacteria to selenium is a merge process between the benefits of each probiotic strain and selenium that introduces extra value to Selenium besides their realistic roles also acts as a pesticide detoxicant. The limitations of the present study include the lack of data about the proposed mechanism and more required antioxidant biomarkers that could explain the potential effects. Further studies should involve farm animals and investigate the effect of sweet whey fortified with B. longum ATCC 15707 and selenium on both short- and long-term DLM exposure, as well as more probiotics should be examined for their potential DLM detoxification.
Fortified whey beverages with B. longum ATCC 15707 and selenium (BS) introduce a safer alternative treatment or protective means for DLM hepato-toxicity, they improve GSH, AST, ALT, TNF -α, NF-κB, BCL2, and liver histology criteria significantly. Whey beverages fortified with B. longum ATCC 15707 and sodium selenate (Na2SO3) 0.5 ppm are used in the veterinary sector and farm animals and also in human nutrition in the form of flavors or natural sweeteners, such as honey, which enrich the taste, improve acceptability, and act as prebiotics. Fortified whey beverages can be used as functional foods that reduce DLM toxicity. They may be used as protective beverages, especially for workers in DLM plants or for farmers who are subjected to higher DLM doses during spraying on crops and for everyone with no prospective adverse effects. Moreover, the utilization of whey, considered a waste (or byproduct), supports sustainability and the concept of a clean environment.
The conceptualization, formal analysis, and data curation of the study were done by RMSM, AHAO, and HMH. RMSM, AHAO, KMAH, and HMH contributed to the study methodology. RMSM, AHAO, KMAH, WFE, and HMH contributed to the resources, and writing of the original draft. The manuscript review and editing were performed by RMSM, AHAO, WFE, AMA, and HMH. WFE and AMA contributed to the software part, and acquisition of funds was done by SKA, LAA, OAA, AA, and ATZ. All authors reviewed the manuscript.
The authors declared no conflict of interest.
Original contributions presented in the study are included in the article. Further inquiries can be directed to the corresponding authors.
This research was funded by Princess Nourah bint Abdulrahman University Researchers Supporting Project number (PNURSP2024R365), Princess Nourah bint Abdulrahman University, Riyadh, Saudi Arabia. The authors extend their appreciation to the Deanship of Scientific Research at King Khalid University for funding this work through the Large Groups Project under grant number (R.G.P.2/60/45).
The authors declare that they have not used any type of generative artificial intelligence for the writing of this manuscript, nor for the creation of images, graphics, tables, or their corresponding captions.
Abdel-Daim, M.M., Abuzead, S.M.M., and Halawa, S.M., 2013. Protective role of Spirulina platensis against acute deltamethrin-induced toxicity in rats. PLoS One. 8(9): e72991. 10.1371/journal.pone.0072991
Abdelrahman, I., El-Kashef, H., and Hassan, N., 2020. Anti-tumor effect of green tea extract, simvastatin and gamma radiation on solid tumor in mice. Arab Journal of Nuclear Sciences and Applications. 1–14. 10.21608/ajnsa.2020.22827.1322
Akhtar, S., and Ahad, K., 2017. Pesticides residue in milk and milk products: Mini review. Pakistan Journal of Analytical & Environmental Chemistry. 18(1): 37–45. 10.21743/pjaec/2017.06.03
Anadón, A., Martinez-Larrañaga, M. R., Fernandez-Cruz, M. L., Diaz, M. J., Fernandez, M. C., & Martinez, M. A., 1996. Toxicokinetics of deltamethrin and its 4'-HO-metabolite in the rat. Toxicology and Applied Pharmacology, 141(1), 8–16. 10.1016/S0041-008X(96)80003-2
AOAC International, 2016. Official methods of analysis of AOAC International. 20th ed. Benjamin Franklin Station, Washington DC.: Association of Official Analysis Chemists International.
Aylward, L.L., Krishnan, K., Kirman, C.R., Nong, A., and Hays, S.M., 2011. Biomonitoring equivalents for deltamethrin. Regulatory Toxicology and Pharmacology. 60(2): 189–199. 10.1016/j.yrtph.2011.03.014
Bakr, A.S-H.T., Elkot, W.F., and Hussein, A.K-H.A., 2021. Impact of using Jerusalem artichoke tubers powder and probiotic strains on some properties of labneh. Journal of Food Technology & Nutrition Sciences. 3(1): 1–7.
Banaszek, A., Townsend, J.R., Bender, D., Vantrease, W.C., Marshall, A.C., and Johnson, K.D., 2019. The effects of whey vs. pea protein on physical adaptations following 8-weeks of high-intensity functional training (HIFT): A pilot study. Sports. 7(1): 12. 10.3390/sports7010012
Bancroft, J.D., Stevens, A., and Turner, D.R., 1996. Theory and practice of histological techniques. 4th ed. New York: Churchill Livingstone.
Berkowitz, G.S., Obel, J., Deych, E., Lapinski, R., Godbold, J., Liu, Z., et al., 2003. Exposure to indoor pesticides during pregnancy in a multiethnic, urban cohort. Environmental Health Perspectives. 111(1): 79–84. 10.1289/ehp.5619
Beutler, E., Duron, O., and Kelly, B.M., 1963. Improved method for the determination of blood glutathione. The Journal of Laboratory and Clinical Medicine. 61: 882–888.
Chargui, I., Grissa, I., Bensassi, F., Hrira, M.Y., Haouem, S., Haouas, Z., et al., 2012. Oxidative stress, biochemical and histopathological alterations in the liver and kidney of female rats exposed to low doses of deltamethrin (DM): A molecular assessment. Biomedical and Environmental Sciences. 25(6): 672–683. 10.3967/0895-3988.2012.06.009
Chi, Z.H., Goodyer, C.G., Hales, B.F., and Bayen, S., 2023. Characterization of different contaminants and current knowledge for defining chemical mixtures in human milk: A review. Environment International. 171: 107717. 10.1016/j.envint.2022.107717
Dasari, S., Kathera, C., Janardhan, A., Praveen Kumar, A., and Viswanath, B., 2017. Surfacing role of probiotics in cancer prophylaxis and therapy: A systematic review. Clinical Nutrition. 36(6): 1465–1472. 10.1016/j.clnu.2016.11.017
Datta, M., & Kaviraj, A., 2003. Acute toxicity of the synthetic pyrethroid deltamethrin to freshwater catfish Clarias gariepinus. Bulletin of Environmental Contamination and Toxicology, 70(2). 10.1007/s00128-002-0190-7
Ding, W., Wang, S., Gu, J., and Yu, L., 2023. Selenium and human nervous system. Chinese Chemical Letters. 34(7): 108043.
Dinkçi, N., Akdeniz, V., and Akalın, A.S., 2023. Probiotic whey-based beverages from cow, sheep and goat milk: Antioxidant activity, culture viability, amino acid contents. Foods. 12(3): 610. 10.3390/foods12030610
Elkot, W.F., 2022. Functional dairy foods: A review. Journal of Agroalimentary Process and Technologies. 28(23): 223–225.
Elkot, W.F., Elmahdy, E., El-Sawah, T.H, Alghamdia, O.A., Alhag, S.K., Al-Shahari, E.A., et al., 2024. Development and characterization of a novel flavored functional fermented whey-based sports beverage fortified with Spirulina platensis. International Journal of Biological Macromolecules. 258: 128999. 10.1016/j.ijbiomac.2023.128999
Elkot, W. F., El-Sawah, T. H., Abdeldaiem, A. M., Alnuzaili, E. S., Eljeam, H. A. A., AL-Farga, A., and Elmahdy, A., 2023. Effect of using dried white sapote fruit (Casimiroa edulis) on the quality characteristics of bio-low-fat goat milk yoghurt drink. Saudi Journal of Biological Sciences, 30, 12. 10.1016/j.sjbs.2023.103844
Elkot, W.F., and Khalil O.S.F., 2022. Physicochemical, textural, microbiological and sensory properties of low-fat bio-labneh using sweet lupine powder and Bifidobacterium longum ATCC 15707. Journal of Food Processing and Preservation. 46(3): e16311. 10.1111/JFPP.16311
Ellse, L., Burden, F., and Wall, R., 2012. Pyrethroid tolerance in the chewing louse Bovicola (Werneckiella) ocellatus. Veterinary Parasitology. 188(1–2): 134–139. 10.1016/j.vetpar.2012.03.018
El-Maghraby, S., 2007. Metabolism of deltamethrin in rats. Biomedical and Environmental Sciences. 20(3): 212–216.
Elzaki, M. E. A., Miah, M. A., Peng, Y., Zhang, H., Jiang, L., Wu, M., and Han, Z., 2018. Deltamethrin is metabolized by CYP6FU1, a cytochrome P450 associated with pyrethroid resistance, in Laodelphax striatellus. Pest Management Science, 74(6), 1265–1271. 10.1002/ps.4808
Emana, M., Batu, G., Fufa, D., Tolasa, T., and Moti, Y., 2020. Total bacterial counts of raw milk in selected dairy farms in Nekemte Town, Ethiopia. World Journal of Dairy & Food Sciences. 15(l): 62–69. 10.5829/idosi.wjdfs.2020.62.69
Feng, P., Ye, Z., Kakade, A., Virk, A.K., Li, X., and Liu, P., 2019. A review on gut remediation of selected environmental contaminants: Possible roles of probiotics and gut microbiota. Nutrients. 11(1): 22. 10.3390/nu11010022
Gaines, T.B., and Linder, R.E., 1986. Acute toxicity of pesticides in adult and weanling rats. Fundamental and Applied Toxicology: Official Journal of the Society of Toxicology. 7: 299–308. 10.1016/0272-0590(86)90160-0
Gami, S., Godwin, G., Czymmek, K., Ganoe, K., and Ketterings, Q., 2016. Acid whey pH and nutrient content agronomy fact sheet series. Available from: www.dec.ny.gov/regulations/81768.html.
Gan, F., Chen, X., Liao, S.F., Lv, C., Ren, F., Ye, G., et al., 2014. Selenium-enriched probiotics improve antioxidant status, immune function, and selenoprotein gene expression of piglets raised under high ambient temperature. Journal of Agricultural and Food Chemistry. 62(20): 4502–4508. 10.1021/jf501065d
Godin, S. J., Scollon, E. J., Hughes, M. F., Potter, P. M., DeVito, M. J., & Ross, M. K., 2006. Species differences in the in vitro metabolism of deltamethrin and esfenvalerate: differential oxidative and hydrolytic metabolism by humans and rats. Drug Metabolism and Disposition, 34(10), 1764–1771. 10.1124/dmd.106.010058
He, F., Wang, S., Liu, L., Chen, S., Zhang, Z., and Sun, J., 1989. Clinical manifestations and diagnosis of acute pyrethroid poisoning. Archives of Toxicology. 63: 54–58. 10.1007/BF00334635
Hemarajata, P., and Versalovic, J., 2013. Effects of probiotics on gut microbiota: Mechanisms of intestinal immunomodulation and neuromodulation. Therapeutic Advances in Gastroenterology. 6(1): 39–51. 10.1177/1756283X12459294
Hong-Wei, Y.I., Xiao-Xiao, Z.H.U., Huang, X.L., Yu-Zhu, L.A.I., and Yue, T.A.N.G., 2020. Selenium-enriched Bifidobacterium longum protected alcohol and high-fat diet-induced hepatic injury in mice. Chinese Journal of Natural Medicines. 18(3): 169–177.
Ismail, H.A., El-Sawah, T.H., Ayyash, M., Adhikari, B., and Elkot, W.F., 2023. Functionalization of Ricotta cheese with powder of spirulina platensis: Physicochemical, sensory, and microbiological properties. International Journal of Food Properties. 26(1): 1968–1983. 10.1080/10942912.2023.2238916
Kang, D., Lee, J., Wu, C., Guo, X., Lee, B.J., Chun, J.S., et al., 2020. The role of selenium metabolism and selenoproteins in cartilage homeostasis and arthropathies. Experimental and Molecular Medicine. 52(8): 1198–1208. 10.1038/s12276-020-0408-y
Khorshidian, N., Asli, M.Y., Hosseini, H., Shadnoush, M., and Mortazavian, A.M., 2016. Potential anticarcinogenic effects of lactic acid bacteria and probiotics in detoxification of process-induced food toxicants. International Journal of Cancer Management. 9(5): e7920. 10.17795/ijcp-7920
Kumar, A., Sasmal, D., Bhaskar, A., Mukhopadhyay, K., Thakur, A., and Sharma, N., 2016. Deltamethrin-induced oxidative stress and mitochondrial caspase-dependent signaling pathways in murine splenocytes. Environmental Toxicology. 31(7): 808–819. 10.1002/tox.22091
Kumral, A.Y., Kumral, N.A., and Gürbüz, O., 2020. Chlorpyrifos and deltamethrin degradation potentials of two Lactobacillus plantarum (Orla-Jensen, 1919) (Lactobacillales: Lactobacillaceae) strains. Turkiye Entomoloji Dergisi. 44(2): 165–176. 10.16970/ENTOTED.625156
Latchoumycandane, C., and Mathur, P.P., 2002. Induction of oxidative stress in the rat testis after short-term exposure to the organochlorine pesticide methoxychlor. Archives of Toxicology. 76(12): 692–698. 10.1007/s00204-002-0388-9
Li, S., Zheng, X., Zhang, X., Yu, H., Han, B., Lv, Y., et al., 2021. Exploring the liver fibrosis induced by deltamethrin exposure in quails and elucidating the protective mechanism of resveratrol. Ecotoxicology and Environmental Safety. 207: 111501. 10.1016/j.ecoenv.2020.111501
Lievore, P., Simões, D.R.S., Silva, K.M., Drunkler, N.L., Barana, A.C., Nogueira, A., et al., 2015. Chemical characterisation and application of acid whey in fermented milk. Journal of Food Science and Technology. 52(4): 2083–2092. 10.1007/s13197-013-1244-z
Liu, J., Chang, G., Huang, J., Wang, Y., Ma, N., Roy, A.-C., et al., 2019. Sodium butyrate inhibits the inflammation of lipopolysaccharide-induced acute lung injury in mice by regulating the toll-like receptor 4/nuclear factor κB signaling pathway. Journal of Agricultural and Food Chemistry. 67(6): 1674–1682. 10.1021/acs.jafc.8b06359
Liu, B., Yu, H., Baiyun, R., Lu, J., Li, S., Bing, Q., et al., 2018. Protective effects of dietary luteolin against mercuric chloride-induced lung injury in mice: Involvement of AKT/Nrf2 and NF-κB pathways. Food and Chemical Toxicology. 113: 296–302. 10.1016/j.fct.2018.02.003
Lu, Q., Sun, Y., Ares, I., Anadón, A., Martínez, M., Martínez-Larrañaga, M.R., et al., 2019. Deltamethrin toxicity: A review of oxidative stress and metabolism. Environmental Research. 170: 260–281. 10.1016/j.envres.2018.12.045
Mohammadi, M., Shadnoush, M., Sohrabvandi, S., Yousefi, M., Khorshidian, N., and Mortazavian, A.M., 2021. Probiotics as potential detoxification tools for mitigation of pesticides: A mini review. International Journal of Food Science and Technology. 56(5): 2078–2087. 10.1111/ijfs.14880
Mossa, A.T.H., Refaie, A.A., and Ramadan, A., 2011. Effect of exposure to mixture of four organophosphate insecticides at no observed adverse effect level dose on rat liver: The protective role of vitamin C. Research Journal of Environmental Toxicology. 5(6): 323–335. 10.3923/rjet.2011.323.335
Motulsky, H.J., 1999. Analyzing data with GraphPad Prism, GraphPad Software Inc., San Diego CA. Available from: www.Graphpad.com.
Müller, P., Chouaïbou, M., Pignatelli, P., Etang, J., Walker, E.D., Donnelly, M.J., Simard, F., & Ranson, H. (2008). Pyrethroid tolerance is associated with elevated expression of antioxidants and agricultural practice in Anopheles arabiensis sampled from an area of cotton fields in Northern Cameroon. Molecular Ecology, 17(4), 1145–1155. 10.1111/j.1365-294X.2007.03617.x
Nishikimi, M., Appaji Rao, N., and Yagi, K., 1972. The occurrence of superoxide anion in the reaction of reduced phenazine methosulfate and molecular oxygen. Biochemical and Biophysical Research Communications. 46(2): 849–854. 10.1016/S0006-291X(72)80218-3
Perottoni, J., Rodrigues, O.E.D., Paixão, M.W., Zeni, G., Lobato, L.P., Braga, A.L., et al., 2004. Renal and hepatic ALA-D activity and selected oxidative stress parameters of rats exposed to inorganic mercury and organoselenium compounds. Food and Chemical Toxicology. 42(1): 17–28. 10.1016/j.fct.2003.08.002
Pineiro-Carrero, V.M., and Pineiro, E.O., 2004. Liver. Pediatrics. 113(4 Suppl): 1097–1106.
Pompella, A., & Corti, A., 2015. Editorial: The changing faces of glutathione, a cellular protagonist. In Frontiers in Pharmacology (Vol. 6, Issue MAY). 10.3389/fphar.2015.00098
Ramachandran, R., 2014. Selenium ameliorates oxidative damage and toxicity induced by deltamethrin in Hepg2 cells. Available from: https://www.researchgate.net/publication/292643160.
Reed, J. C., 2006. Proapoptotic multidomain Bcl-2/Bax-family proteins: mechanisms, physiological roles, and therapeutic opportunities. Cell Death & Differentiation, 13(8), 1378–1386.10.1038/sj.cdd.4401975
Riederer, A.M., Bartell, S.M., Barr, D.B., and Ryan, B., 2008. Diet and nondiet predictors of uninary 3-phenoxybenzoic acid in NHANES 1999–2002. Environmental Health Perspectives. 116(8): 1015–1022. 10.1289/ehp.11082
Riederer, A.M., Hunter, R.E., Hayden, S.W., and Ryan, P.B., 2010. Pyrethroid and organophosphorus pesticides in composite diet samples from Atlanta, USA adults. Environmental Science and Technology. 44(1): 483–490. 10.1021/es902479h
Saillenfait, A.M., Ndiaye, D., and Sabaté, J.P., 2015. Pyrethroids: Exposure and health effects—An update. International Journal of Hygiene and Environmental Health. 218(3): 281–292. 10.1016/j.ijheh.2015.01.002
Sams, C., and Jones, K., 2012. Biological monitoring for exposure to deltamethrin: A human oral dosing study and background levels in the UK general population. Toxicology Letters. 213: 35–38. 10.1016/j.toxlet.2011.04.014
Senarathna, I., Bandara, R., Wickramanayaka, D., Udayathilaka, E., and Wijeratne, A., 2010. Development of a cultured milk beverage using chedder cheese whey. Journal of Agricultural Sciences. 4(1): 29. 10.4038/jas.v4i1.1643
Sharma, P., Singh, R., and Jan, M., 2014. Dose-dependent effect of deltamethrin in testis, liver, and Kidney of wistar rats. Toxicology International. 21(2): 131–139. 10.4103/0971-6580.139789
Sidhu, G.K., Singh, S., Kumar, V., Dhanjal, D.S., Datta, S., and Singh, J., 2019. Toxicity, monitoring and biodegradation of organophosphate pesticides: A review. Critical Reviews in Environmental Science and Technology. 49(13): 1135–1187. 10.1080/10643389.2019.1565554
Skryplonek, K., Dmytrów, I., and Mituniewicz-Małek, A., 2019. Probiotic fermented beverages based on acid whey. Journal of Dairy Science. 102(9): 7773–7780. 10.3168/jds.2019-16385
Spallholz, J.E., Boylan, L.M., and Larsen, H.S., 1990. Advances in understanding selenium’s role in the immune system. Annals of the New York Academy of Sciences. 587(1): 123–139. 10.1111/j.1749-6632.1990.tb00140.x
Su, Y., Wei, H., Bi, Y., Wang, Y., Zhao, P., Zhang, R., et al., 2019. Pre-cold acclimation improves the immune function of trachea and resistance to cold stress in broilers. Journal of Cellular Physiology. 234(5): 7198–7212. 10.1002/jcp.27473
Tewari, A., Banga, H.S., and Gill, J.P.S., 2018. Sublethal chronic effects of oral dietary exposure to deltamethrin in Swiss albino mice. Toxicology and Industrial Health. 34(6): 423–432. 10.1177/0748233718758913
Thomadaki, H., and Scorilas, A., 2006. BCL2 family of apoptosis-related genes: functions and clinical implications in cancer. Critical Reviews in Clinical Laboratory Sciences, 43(1), 1–67. 10.1080/10408360500295626
Walstra, P., Walstra, P., Wouters, J.T.M., and Geurts, T.J., 2005. Dairy science and technology. 2nd ed. Boca Raton: CRC Press. 10.1201/9781420028010
Wang, Y., Wu, Y., Wang, Y., Xu, H., Mei, X., Yu, D., et al., 2017. Antioxidant properties of probiotic bacteria. Nutrients. 9(5): 521. 10.3390/nu9050521
Wei, H., Zhang, R., Su, Y., Bi, Y., Li, X., Zhang, X., et al., 2018. Effects of acute cold stress after long-term cold stimulation on antioxidant status, heat shock proteins, inflammation and immune cytokines in broiler heart. Frontiers in Physiology. 9: 1589. 10.3389/fphys.2018.01589
Werder, E.J., Engel, L.S., Curry, M.D., and Sandler, D.P., 2020. Selenium modifies associations between multiple metals and neurologic symptoms in Gulf states residents. Environmental Epidemiology. 4(6): e115. 10.1097/EE9.0000000000000115
Wu, A.H.B., 2006. Tietz clinical guide to laboratory tests. 4th ed. Philadelphia, PA: W.B Saunders.
Wu, A., and Liu, Y., 2000. Apoptotic cell death in rat brain following deltamethrin treatment. Neuroscience Letters. 279(2): 85–88. 10.1016/S0304-3940(99)00973-8
Yousef, M.I., Awad, T.I., and Mohamed, E.H., 2006. Deltamethrin-induced oxidative damage and biochemical alterations in rat and its attenuation by Vitamin E. Toxicology. 227(3): 240–247. 10.1016/j.tox.2006.08.008
Yousefi, M., Shariatifar, N., Tajabadi Ebrahimi, M., Mortazavian, A.M., Mohammadi, A., Khorshidian, N., et al., 2019. In vitro removal of polycyclic aromatic hydrocarbons by lactic acid bacteria. Journal of Applied Microbiology. 126(3): 954–964. 10.1111/jam.14163
Yuan, X., Pan, Z., Jin, C., Ni, Y., Fu, Z., and Jin, Y., 2019. Gut microbiota: An underestimated and unintended recipient for pesticide-induced toxicity. Chemosphere. 227: 425–434. 10.1016/j.chemosphere.2019.04.088
Zommara, M., Rashed, M., Zayan, A., and Omran, M., 2013. Impact of different forms of selenium on lipid profile and peroxidation stress of rats fed on Zabady drink. Egyptian Journal of Dairy Science. 41(2): 151–161.