Download

PAPER

Protective effect of rosmarinic acid against 5-fluorouracil-induced cardiotoxicity in mice via modulation of inflammation, oxidative stress, and apoptosis and restoration of NRF2/HO-1

Afaf F. Almuqati*

Department of Pharmaceutical Chemistry, College of Pharmacy, University of Hafr Al-Batin, Hafr Al-Batin, Saudi Arabia

Abstract

Plant phytochemicals are bioactive substances that offer various biological and health benefits. The cardiotoxicity of 5-fluorouracil (5-FU) restricts its applicability in cancer treatment. The bioactive rosmarinic acid (RA) is an antioxidant and anti-inflammatory polyphenol. This study elucidated the protective efficacy of RA against 5-FU-associated cardiac injury in mice. Mice received RA (25 or 50 mg/kg, orally) for 10 days and then were treated with 5-FU (150 mg/kg) on the 8th day. 5-FU-intoxicated mice demonstrated higher lactate dehydrogenase, creatine kinase-MB, and troponin I levels with various cardiac histopathological alterations. 5-FU-injected mice showed a significant rise in cardiac protein carbonyl and malondialdehyde, associated with reduced myocardial glutathione content and catalase and superoxide dismutase activities. RA pretreatment of 5-FU-treated mice attenuated cardiac injury, decreased protein carbonyl and MDA levels, and promoted antioxidant defense mechanisms in the myocardium. Furthermore, RA significantly reduced cardiac inflammatory response by decreasing the expression of cardiac NF-κB p65 and proinflammatory cytokines in the heart. RA also mitigated 5-FU-induced cardiac apoptosis by attenuation of cardiac levels of Bcl-2, Bax, and caspase-3. It also restored the cardiac Nrf2/HO-1 signaling pathway. Collectively, RA exerts significant cardioprotective effects on 5-FU-induced cardiac injury, and therefore RA could be used as a potential effective adjuvant in alleviating myocardial injury associated with increased oxidative stress and inflammation.

Key words: antioxidants, cardiotoxicity, inflammation, Nrf2, rosmarinic acid, 5-fluorouracil

Corresponding Author: Department of Pharmaceutical Chemistry, College of Pharmacy, University of Hafr Al-Batin, Hafr Al-Batin, Saudi Arabia. Email: aalmaqati@uhb.edu.sa

Academic Editor: Prof. Tommaso Beccari—University of Perugia, Italy

Received: 22 November 2024; Accepted 7 January 2025; Published: 1 April 2025

DOI: 10.15586/ijfs.v37i2.2935

© 2025 Codon Publications
This is an Open Access article distributed under the terms of the Creative Commons Attribution-NonCommercial-ShareAlike 4.0 International (CC BY-NC-SA 4.0). License (http://creativecommons.org/licenses/by-nc-sa/4.0/)

Introduction

The 5-fluorouracil (5-FU) agent is widely applied in cancer chemotherapy (Hashem et al., 2022; Potnuri et al., 2018). However, the therapeutic benefits of 5-FU are overshadowed by its cardiotoxicity, which limits its clinical efficacy (González-Rodríguez et al., 2020; Kenney et al., 2001; Vassilakopoulou et al., 2016). The 5-FU-associated cardiotoxicity manifests as sudden cardiac death, coronary thrombosis, angina, and arrhythmias (Afsar et al., 2017). The 5-FU cardiotoxicity-related molecular mechanisms largely remain unexplained and might include higher ROS (reactive oxygen species) production, suppressed antioxidant defense, alleviated aerobic metabolism, and triggering of proinflammatory signaling pathways to cause cell death and direct cardiomyocyte injury (El-Agamy et al., 2017; Ghobadi et al., 2017; Shariatinia and Mazloom-Jalali, 2020). A continuous high ROS generation coupled with compromised antioxidant defense mechanisms can lead to oxidative injury of nucleic acids, lipids, and proteins, and activation of NF-κB (nuclear factor kappa-B) proinflammatory transcription factor (Ekeleme-Egedigwe et al., 2019; Khamis et al., 2023). These phenomena contribute to cardiac injury. Therefore, the modulation of inflammation and oxidative stress is considered a novel therapeutic protective approach against 5-FU-associated cardiotoxicity.

Chemotherapy-linked tissue injury can be prevented by targeting the nuclear factor erythroid 2-related factor-2 (Nrf2) signaling pathway (Aladaileh et al., 2019; Hamzeh et al., 2019; Khamis et al., 2023; Kim and Choi, 2021; Sheweita et al., 2016). The cytoprotective transcription factor Nrf2 controls the genes of cellular defense mechanisms to counter inflammation and oxidative tissue damage (Chen et al., 2018; Ding et al., 2021). This approach serves as an effective therapeutic tool against 5-FU-associated cardiotoxicity. Plant bioactive compounds positively influence human health (Aladaileh et al., 2019; El-Tanbouly et al., 2019; Khamis et al., 2023). Particularly, the anti-inflammatory, antibacterial, anticancer, and antioxidant features of secondary plant metabolites (polyphenols and flavonoids) are beneficial for human health (Alaswad et al., 2021; Roy et al., 2022; Sedky et al., 2017; Shamsudin et al., 2022; Zhang et al., 2022). Rosmarinic acid (RA; C18H16O8) is a polyphenolic compound of rosemary, clary sage, lemon balm, and oregano that possesses cytoprotective, antiallergic, anti-inflammatory, antibacterial, and antioxidant properties (Al-khawaldeh et al., 2024; Noor et al., 2022). RA successfully protects the liver from acetaminophen side effects and ischemia or reperfusion injury in animal models by hindering inflammation (Ramalho et al., 2014; Yu et al., 2021). RA also improves cardiomyocyte energy metabolism, attenuates ROS overproduction, and alleviates cell apoptosis and hypoxia or reoxygenation damage in cardiomyocytes via p-Akt expression modulation (Li et al., 2014b). It has significantly restricted the cobalt-related hepatocyte injury and lipopolysaccharide (LPS)-linked neuroinflammation in in-vitro models (Jeon YuJin et al., 2014). Lu et al. (2022) reported RA-based attenuation of carbon chloride (CCl4)-linked mice liver injury through activation of Nrf2. Nrf2 activation further mediated RA effects against cisplatin via inflammatory response and oxidative stress modulation in the liver (Xiang et al., 2022). Despite pharmacological properties, RA protection against 5-FU cardiotoxicity demands further elaboration. Therefore, this study investigated RA’s efficacy against 5-FU-linked cardiac damage through inflammation, oxidative stress, and apoptosis assessment. A deeper understanding of RA’s protective role could help in devising novel treatments for 5-FU-associated cardiac injury.

Materials and Methods

Experimental design

Thirty Swiss albino mice (24–28 g) were kept under 12-hour alternating light cycles at 23–25°C and 50–60% humidity. The animals were fed on food and water ad libitum. The University of Hafr Al-Batin approved the animal protocols of this study. Five animal groups (6 mice/group) were acclimatized for 7 days before experiments. Group 1 (control) was orally treated with physiological saline for 10 days followed by a single intraperitoneal (i.p.) injection of physiological saline on the 8th day. Group 2 (RA) was orally administered with RA (50 mg/kg) (Biosynth Carbosynth, UK) that was dissolved in physiological saline. RA administration for 10 days was followed by a single physiological saline injection (i.p.) on the 8th day. Group 3 (5-FU) orally received physiological saline for 10 days followed by a single (i.p.) injection of 5-FU (150 mg/kg) (GenoChem World, Spain) on the 8th day. Group 4 (RA25+5-FU) and Group 5 (RA50+5-FU) were orally administered with physiological saline-dissolved RA (25 and 50 mg/kg; respectively) for 10 days followed by a single dose (i.p.) of 5-FU (150 mg/kg) on the 8th day. RA doses were based on a previous study, which reported its anti-inflammatory and antioxidant effects (Gautam et al., 2019). The 5-FU dose was selected according to the findings of an earlier study (Hamzeh et al., 2019).

Mice in all groups were anesthetized (ketamine–xylazine (100–10 mg/kg; i.p.]) after the experimental period, and blood samples were collected through cardiac puncture. Blood samples were allowed to clot, and serum was separated by centrifugation for biochemical analysis. Then, mice were dissected to quickly remove the hearts, which were rinsed in cold PBS buffer (phosphate-buffered saline, pH 7.0). Some heart portions were fixed in NBF (neutral buffered formalin, 10%) for histological studies, while the other sections were homogenized in cold PBS (10% w/v). The homogenates were subjected to centrifugation, and the supernatant was stored (−20°C) for further biochemical analysis.

Cardiac biomarkers in the serum

Cardiac troponin I (cTnI) serum levels were estimated using an enzyme-linked immunosorbent assay (ELISA) kit (MyBioSource, CA, USA). Creatine kinase-MB (CK-MB) and lactate dehydrogenase (LDH) serum activities were measured using commercial Spectrum Diagnostics kits (Al-Qalyubia Governorate, Egypt). The assays were performed following the manufacturer’s recommendations.

Antioxidants and oxidative stress levels in the heart

The cardiac malondialdehyde (MDA) contents, indicating ROS production and an end product of lipid peroxidation, were assessed by detecting thiobarbituric acid reactive substances (TBARS) (Ohkawa et al., 1979). Briefly, sample MDA and TBA reaction in the acidic medium (95°C for 30 min) formed a pink product which was spectrophotometrically measured at 532 nm. The protein carbonyl level in heart homogenates was revealed by its reaction with 2,4-dinitrophenylhydrazine (DNPH) that produced dinitrophenyl (DNP) hydrazine (Levine et al., 1990).

The reduced glutathione (GSH) cardiac contents were estimated by GSH-based reduction of 5, 5 dithiobis (2-nitrobenzoic acid) (DTNP) to yield 5-thio-2-nitrobenzoic acid (TNB) that was spectrophotometrically quantified at 412 nm (Griffith, 1980). SOD (superoxide dismutase) activity was spectrophotometrically (560 nm) quantified based on the inhibition of nitroblue tetrazolium dye reduction by NADH and phenazine methosulphate (Nishikimi et al., 1972). The decomposition of hydrogen peroxide (H2O2, λ max = 240 nm) into oxygen and water demonstrated the CAT (catalase) activity (Aebi, 1984). ELISA kit (FineTest, China) was used to determine myocardial tissue’s heme oxygenase 1 (HO-1) levels.

Proinflammatory cytokines level in the heart

ELISA kits (CUSABIO, TX, USA) were used to measure TNF-α (tumor necrosis factor-α) and interleukin-6 (IL-6) levels in the myocardial tissue.

Histopathological examination of heart sections

NBF (10%) fixed heart tissues were embedded in paraffin and cut into 5µm sections. Then, these sections were subjected to deparaffinization and rehydration followed by staining with H&E (hematoxylin and eosin) for cardiac injury’s histological evaluation.

Immunohistochemistry

Immunohistochemistry (IHC) staining involved the dewaxing and immersion (citrate buffer [50 mM], pH 6.8) of heart sections to retrieve antigens. Then, heart sections were treated with H2O2 (0.3%) to inhibit endogenous peroxidase activity. Normal serum’s addition for 20 min blocked the nonspecific binding. These treated sections were overnight incubated (4°C) with primary antibodies of the target proteins as follows: 1:100 dilution of NF-κB p65 (Santa Cruz Biotechnology, Dallas, TX, USA), 1:100 dilution of caspase-3 (Invitrogen, Waltham, MA, USA), and 1:100 dilution of Nrf2 (Invitrogen, Waltham, MA, USA). After washing, sections were incubated with secondary antibodies (EnVision+™ System Horseradish Peroxidase Labelled Polymer, Dako, Santa Clara, CA, USA), followed by color development with DAB substrate and counterstaining with Mayer’s hematoxylin. The staining intensity was assessed by quantifying the positive expression area with ImageJ analysis software (NIH, Bethesda, MD, USA).

Statistical analysis

GraphPad Prism 8 (San Diego, USA) was used for the statistical analysis. Data were expressed as the mean ± SEM. Groups were differentiated through one-way ANOVA (analysis of variance) whereas means were compared with Tukey’s post-hoc test at a significance level of P < 0.05.

Results

Rosmarinic acid pretreatment prevents 5-FU-associated cardiac injury

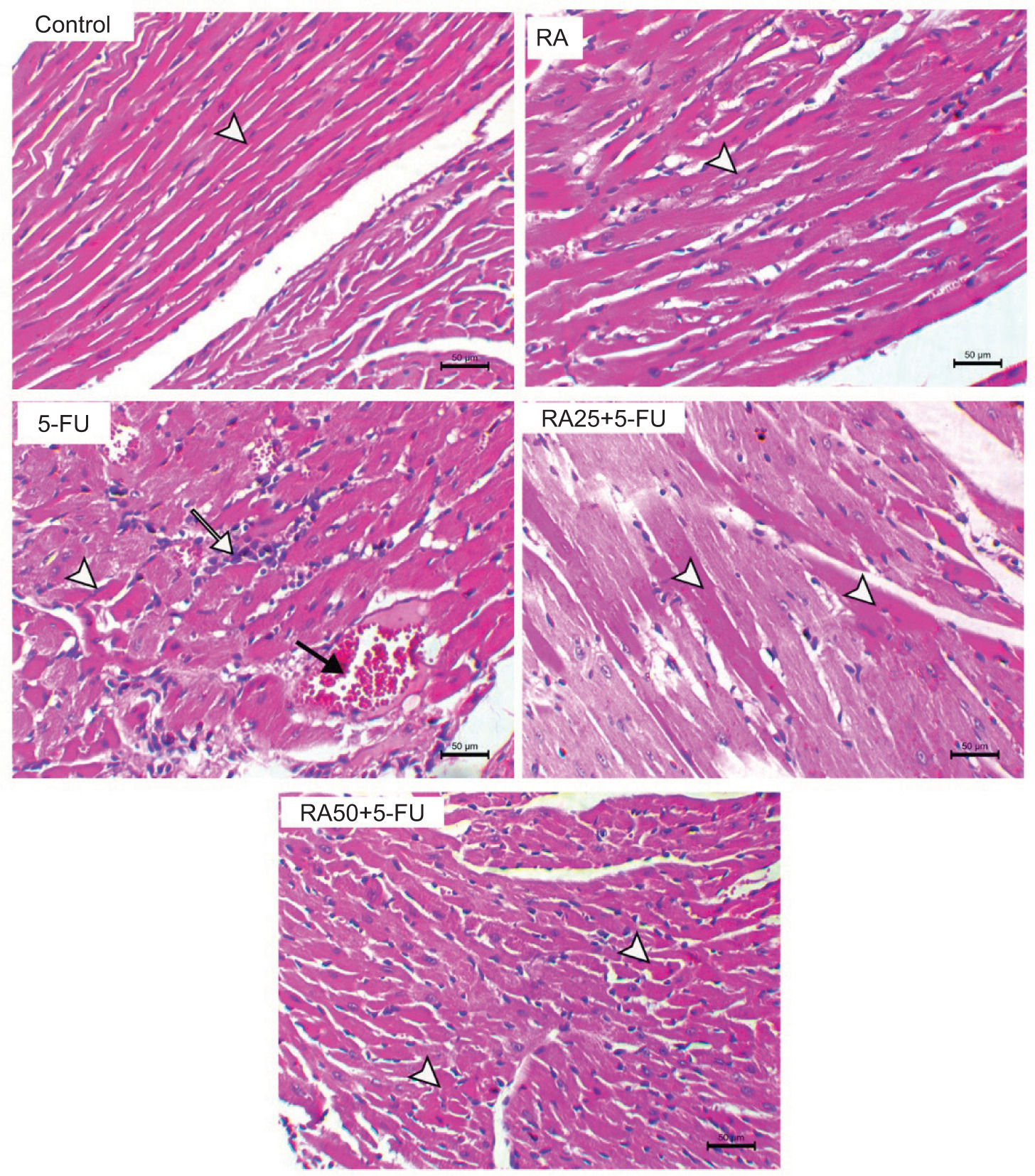
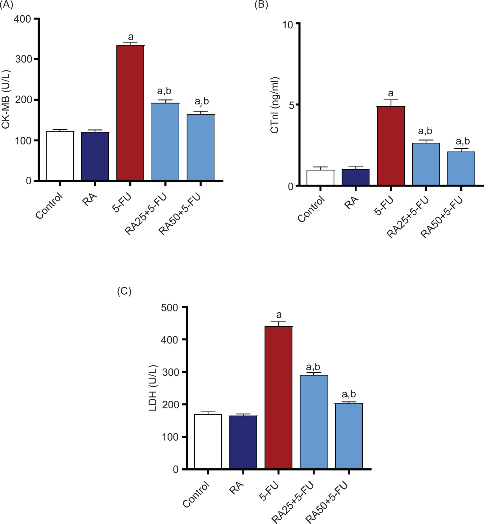
The CK-MB and LDH activities, cTnI serum levels, and cardiac tissue’s histopathological changes demonstrated the cardiac injury level (Figure 1 and Figure 2). 5-FU administration significantly elevated the CK-MB and LDH activities and cTnI serum levels compared to the control group (Figure 1). However, RA (25 or 50 mg/kg) pretreatment of mice before 5-FU injection significantly improved the serum cTnI levels and CK-MB and LDH in a dose-dependent manner (Figure 1). Furthermore, H&E-stained cardiac sections from control and RA-treated mice demonstrated normal cardiac muscle fibers with normal sarcoplasm and a normal centrally located nucleus (Figure 2). H&E-stained cardiac sections from 5-FU-injected mice showed myocarditis features associated with congestion of blood capillaries, necrosis of the cardiac muscle cells, and infiltration of mononuclear inflammatory cells (Figure 2). Largely, pretreatment of 5-FU-injected mice with RA attenuated 5-FU-induced histopathological changes in the myocardium (Figure 2).

Figure 1. Rosmarinic acid-based prevention of 5-FU-induced myocardial injury. Cardiac injury assessment through serum analysis of (A) CK-MB, (B) cTnI levels, and (C) LDH in RA-treated and untreated mice. Data represent mean ± SEM (n = 6/group). a P < 0.0 vs control, and b P < 0.05 vs 5-FU-injected group.

Figure 2. Rosmarinic acid-based prevention of 5-FU-induced histopathological changes in the heart. Representative images show H&E staining of all groups. (Control) H&E-stained cardiac sections from control mice demonstrated normal cardiac muscle fibers with normal sarcoplasm and a normal centrally located nucleus (arrowhead). (RA) H&E-stained cardiac sections from RA-injected mice showing normal cardiac muscle fibers (arrowhead). (5-FU) H&E-stained cardiac sections from 5-FU-injected mice showing myocarditis features associated with congestion of blood capillaries (black arrow), necrosis of the cardiac muscle cells (arrowhead), and infiltration of mononuclear inflammatory cells (white arrow). (RA25+5-FU) H&E-stained cardiac sections from 5-FU-injected mice treated with 25 mg/kg RA showing muscle broad fibers with myolysis and sarcoplasmic degenerative changes (arrowheads). (RA50+5-FU) H&E-stained cardiac sections from 5-FU-injected mice treated with 50 mg/kg RA showing marked improvement and demonstrating mild degree of sarcoplasmic degeneration of the cardiac muscle fibers (arrowheads). H&E; Scale bar = 50 µm.

Rosmarinic acid pretreatment alleviates 5-FU-associated cardiac oxidative stress

A significant (P < 0.05) rise in MDA and protein carbonyl levels was noted after 5-FU-administration (Figure 3A and B). Simultaneously, GSH content and antioxidant (SOD and CAT) activities significantly (P < 0.05) declined (Figure 3C-E) in myocardial tissue as compared to the control group (P < 0.05). RA pretreatment significantly (P < 0.05) alleviated the impacts of 5-FU-administration.

Figure 3. Rosmarinic acid-based attenuation of 5-FU-induced myocardial oxidative stress. RA attenuated (A) MDA and (B) protein carbonyl levels and reduced (C) GSH contents and (D) SOD and (E) CAT activities in the hearts of respective groups. Data represent mean ± SEM (n = 6/group). a P < 0.0 vs control, and b P < 0.05 vs 5-FU-injected group.

Rosmarinic acid pretreatment suppresses 5-FU-associated cardiac inflammation

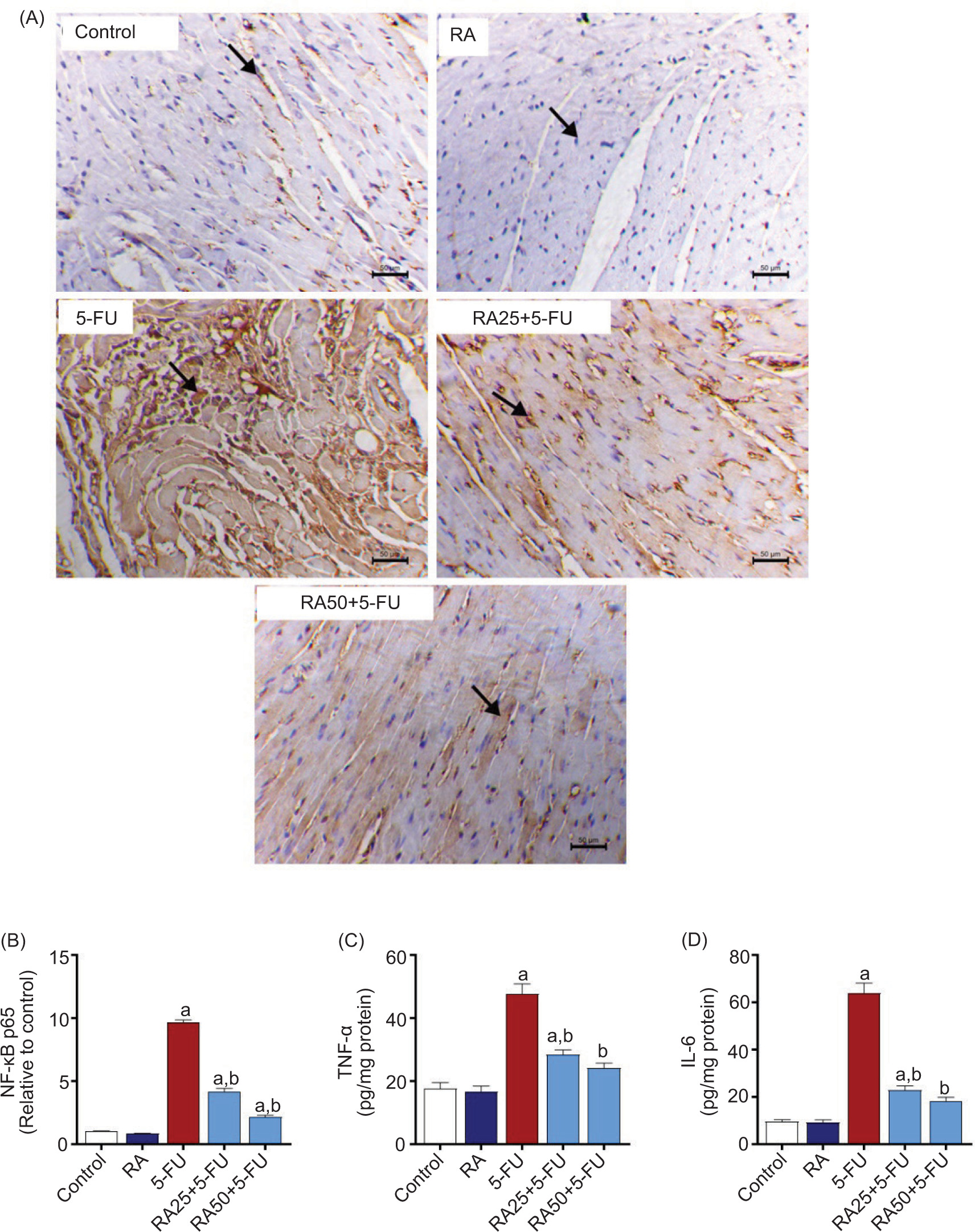
The inflammatory response is a key marker of 5-FU cardiotoxicity. IHC staining demonstrated significantly (P < 0.05) higher NF-κB p65 expressions in the cardiac tissue than in the control group (Figures 4A and 4B). TNF-α and IL-6 levels also significantly (P < 0.05) enhanced after 5-FU treatment as compared to the control group (Figures 4C and 4D). RA pretreatment considerably (P < 0.05) mitigated the effects of 5-FU administration (Figures 4A–4D).

Figure 4. Rosmarinic acid-based mitigation of 5-FU-induced increased inflammatory response in mouse heart. (A) Representative photomicrographs represent NF-κB p65 immunostaining within all groups. Brown staining indicates a rise in NF-κB p65 staining intensity whereas arrowheads point towards cardiomyocytes (IHC; 50 µm scale bar). The photomicrograph of 5-FU represents a marked increase of cytoplasmic and nuclear immunoexpression of NFκB P65 antibody within the cardiomyocytes and interstitial inflammatory cells (arrow); while pretreatment of 5-FU-injected mice with RA markedly decreased the expression of NF-κB p65 immunostaining within the cardiomyocytes (arrow). (B) NF-κB p65 immunostaining quantification was calculated relative to the control. RA also significantly decreased cardiac levels of (C) Tumor necrosis factor-alpha (TNF-α) and (D) Interleukin-6 (IL-6) in 5-FU-injected mice. Data represent mean ± SEM (n = 6/group). a P < 0.0 vs control, and b P < 0.05 vs 5-FU-injected group.

Rosmarinic acid pretreatment mitigates 5-FU-associated cardiac apoptosis

RA protective effects on 5-FU-associated myocardial damage were further evaluated via ELISA-based measurement of apoptosis–regulating proteins (Bcl-2 and Bax) and IHC staining-based caspase-3 examination of the cardiac tissues. 5-FU-injected cardiac tissues demonstrated significantly (P < 0.05) lower Bcl-2 expression (Figure 5A) whereas there was a significant (P < 0.05) rise in Bax (Figure 5B) and caspase-3 expressions (Figure 5C and D) in comparison to the control group. RA pretreatment resulted in significant (P < 0.05) alleviation of cardiac caspase-3, Bax, and Bcl-2 expressions (Figures 5A–5D).

Figure 5. Rosmarinic acid-based suppression of 5-FU-induced myocardial apoptosis. RA ameliorated (A) Bcl-2 and (B) levels in the myocardial tissues of respective groups. (C) Representative photomicrographs represent caspase-3 immunostaining within all groups. Brown staining indicates a rise in caspase-3 staining intensity whereas arrowheads point towards cardiomyocytes (IHC; 50 µm scale bar). The photomicrograph of 5-FU represents a marked increase of both cytoplasmic and nuclear expression of caspase-3 within the cardiomyocytes (arrows); while pretreatment of 5-FU-injected mice with RA markedly decreased the expression of caspase-3 immunostaining within the cardiomyocytes (arrow). (D) Caspase-3 immunostaining quantification was calculated relative to the control. Data represent mean ± SEM (n = 6/group). a P < 0.0 vs control, and b P < 0.05 vs 5-FU-injected group.

Rosmarinic acid pretreatment modulates cardiac Nrf2/HO-1 signaling pathway

Since Nrf2/HO-1 pathway is known to modulate inflammation and oxidative injury in tissues, RA effects on Nrf2 expression and HO-1 contents were also assessed in myocardial tissues. 5-FU-administered mice presented a significant (P < 0.05) reduction in myocardial Nrf2 expression and HO-1 levels than in the control group (Figure 6). RA pretreatment of 5-FU-administered mice restored (P < 0.05) Nrf2 expression and HO-1 levels in cardiac tissues (Figure 6).

Figure 6. Rosmarinic acid-based restoration of Nrf2/HO-1 in heart of 5-FU-injected mice. (A) Nrf2 in the cardiac sections as determined by IHC staining and (B) its quantification in the respective groups. (C) shows the decreased HO-1 level in the heart upon 5-FU administration and its restoration by RA treatment. Data represent mean ± SEM (n = 6/group). a P < 0.0 vs control, and b P < 0.05 vs 5-FU-injected group.

Discussion

The 5-FU agent is extensively applied in cancer therapies (malignant and premalignant skin cancers). It is also administered to treat various noncancerous cutaneous conditions such as scarring (keloid and hypertrophic), pigmentary disorders (vitiligo and idiopathic guttate hypomelanosis), inflammatory dermatoses (sarcoidosis, Hailey-Hailey disease, and Darier’s disease), cutaneous infections (viral warts and molluscum contagiosum), and cosmetic indications (filler nodules and photoaging) (Searle et al., 2021). However, 5-FU is known to exert multiple types of toxicity including cardiotoxicity (Alter et al., 2006; Anaka and Abdel-Rahman, 2023; Sorrentino et al., 2012). 5-FU-linked tissue injury includes inflammation and oxidative stress that leads to cardiomyocyte damage and apoptosis (Focaccetti et al., 2015; More et al., 2021; Sravathi et al., 2023). Therefore, novel strategies are mandatory to prevent/cure its cardiotoxicity. This study demonstrates RA-based prevention of 5-FU cardiotoxicity via modulation of cell apoptosis, oxidative injury in tissues, and inflammation. Moreover, it improved the Nrf2/HO-1 heart signaling as well.

5-FU-associated cardiotoxicities could manifest in multiple ways, and lead to heart failure or myocardial infarction (Jensen and Sørensen, 2006; Sorrentino et al., 2012; Stewart et al., 2010). During this study, 5-FU-linked cardiac injury appeared as elevated cTnI serum levels and higher LDH and CK-MB activities along with various histopathological heart changes, which is in line with the literature (Arafah et al., 2022; Li et al., 2023a; Safarpour et al., 2022). Higher levels of these serum cardiac biomarkers indicate myocardial injury because of the affected integrity of the cardiomyocyte cell membrane. The situation ultimately results in necrosis and myocyte apoptosis with the infiltration of inflammatory cells (Bodor, 2016; Mishra et al., 2019). However, RA treatment successfully prevented 5-FU-associated cardiac injury by decreasing cardiac biomarkers’ serum levels and attenuating histological heart alterations in a dose-dependent manner. This cardioprotective efficacy of RA coincides with the previous in-vitro and in-vivo reports (Li et al., 2014b; Rahbardar et al., 2022; Zhang et al., 2018).

5-FU cardiac injury-related molecular mechanisms remain unclear; however, myocardium’s oxidative damage is primarily considered to cause pathologic changes (Alter et al., 2006; Arafah et al., 2022; Focaccetti et al., 2015; Li et al., 2023a; Sorrentino et al., 2012). 5-FU-linked cardiac oxidative stress is known to elevate ROS levels. This phenomenon results in an affected antioxidant defense mechanism in cardiomyocytes, which leads to DNA damage, lipid peroxidation, and protein oxidation in the myocardium (Lamberti et al., 2012; Matsubara et al., 1980; Sara et al., 2018). 5-FU-administered mice hearts demonstrated a significant rise in protein carbonyl and MDA levels along with reduced CAT and SOD activities and GSH content, which agrees with previous studies (Arafah et al., 2022; Lokman et al., 2023; Safarpour et al., 2022). Lipid peroxidation modifies membrane fluidity, enhances tissue permeability, and inactivates membrane-bound enzymes and receptors resulting in membrane destruction and cell apoptosis (Kurutas, 2015). Moreover, proteins’ oxidative alteration disrupts their structural conformation, increases protein fragmentation and degradation, and inhibits cellular enzymatic activity (Wang et al., 2012).

Boosting antioxidant defenses and decreasing oxidative injury are the main therapeutic techniques to prevent 5-FU-associated cardiac injury. During the current study, RA pretreatment of 5-FU-administered mice considerably reduced protein carbonyl and MDA levels in addition to the restoration of CAT and SOD activities and GSH levels in myocardial tissues. An investigation has demonstrated RA–based protection against cardiac tissue’s oxidative injury in diabetic (Type-2) female rats (Zych et al., 2019). RA has also been reported to mitigate GSH and MDA contents during in-vitro and in-vivo experiments concerning doxorubicin-linked cardiotoxicity (Rahbardar et al., 2022). RA alleviated the aconitase oxidative inactivation and ROS generation during myocardial ischemia or reperfusion injury in mouse models (Quan et al., 2021). Moreover, RA is known to mitigate rodents’ acetaminophen hepatotoxicity-linked oxidative damage (Yu et al., 2021), CCl4 and cisplatin-related liver damage (Lu et al., 2022), chromium-associated DNA damage and hepatic oxidative stress (Khalaf et al., 2020), and renal oxidative stress caused by chlorpyrifos (Abduh et al., 2023) via reduction of lipid peroxidation. The antioxidant potential of RA depends on its free radical scavenging capability (Frezza et al., 2019).

Higher oxidative stress after 5-FU exposure activates signaling pathways (stress and proinflammatory) to cause apoptosis of cardiomyocytes, which results in tissue dysfunction and injury (Arafah et al., 2022; Focaccetti et al., 2015; Li et al., 2023a). 5-FU-administrated mice hearts had significantly lower Bcl-2 expression. Contrarily, NF-κB p65, caspase-3, Bax, TNF-α, and interleukins (IL-6 and IL-1β) levels were significantly increased. NF-κB activation contributes to fibrosis, endothelial dysfunction, apoptosis, and hypertrophy (Fiordelisi et al., 2019). Proinflammatory cytokines are considered to disrupt myocardial hemodynamic loading conditions, trigger ROS yield, and alter myocyte viability and contractility leading to cellular dysfunction and necrosis (Thomas and Grisanti, 2020; Zhazykbayeva et al., 2020). Moreover, continued ROS production in the heart after 5-FU administration might result in higher caspase-3-related apoptosis. The process involves the dissipation of mitochondrial membrane potential and the release of proapoptotic factors (cytochrome c) to trigger cell mortality (Lamberti et al., 2012; Muhammad et al., 2020). Thus, attenuation of oxidative stress in myocardial tissues, inflammation, and cell apoptosis serves as a therapeutic target to prevent 5-FU cardiotoxicity.

RA-based suppression of NF-κB p65 and reduced TNF-α and interleukin (IL-6 and IL-1β) levels in 5-FU-administered mice heart indicate its anti-inflammatory properties. RA elevated Bcl-2 (antiapoptotic protein) expression and reduced caspase-3 and Bax (proapoptotic proteins) expressions in 5-FU-administered mice hearts. The RA-linked inflammatory response reduction has been reported in cardiac ischemia/reperfusion injury via alleviation of heart protein (p-NFκB and p-IκB-α) levels (Quan et al., 2021). Another study revealed RA-based prevention of cardiomyocyte apoptosis through the inhibition of FasL release in cardiac fibroblasts (Zhang et al., 2019). Moreover, adriamycin-related reduced H9c2 cell viability and enhanced activation of caspase protease were ameliorated by RA treatment during a study (Kim et al., 2005). RA is known to restrict LPS-linked inflammation, and attenuate cholestasis-related oxidative stress and inflammation by NF-κB downregulation in animals (Li et al., 2017). During an investigation, RA inhibited TNF-α and NF-κB expressions and inhibited apoptosis in cisplatin-treated mice via caspase-3 and p53 suppression (Domitrović et al., 2014). Another study reported the prevention of chlorpyrifos-associated apoptosis and inflammatory response in kidneys after RA treatment as it modulated apoptosis mediators and NF-κB p65 (Abduh et al., 2023).

This study further elucidated the protection mechanism of RA against 5-FU cardiac injury. Therefore, HO-1 levels and Nrf2 expressions were investigated in the hearts of all mice groups. These results depicted reduced HO-1 levels and Nrf2 expressions in RA-pretreated 5-FU-administered mice, which is in line with previous studies (Li et al., 2023a, 2023b; Lokman et al., 2023). The transcription factor Nrf2 is crucial for cellular protection against inflammation and oxidative stress in heart illnesses (Althunibat et al., 2022; Li et al., 2014a; Obeidat et al., 2022; Satta et al., 2017). Nrf2 suppresses the NF-κB-mediated inflammatory response through inhibition of oxidative stress-induced activation of NF-κB and blocking IκB-α proteasomal degradation (Saha et al., 2020; Wardyn et al., 2015). A study has highlighted the protective role of Nrf2 against chemotherapy-related cardiotoxicity. The study revealed that Nrf2 knockout enhanced myocardial necrosis, dysfunction, oxidative stress, and cardiac injury in mice exposed to doxorubicin (Li et al., 2014a). Thus, Nrf2 upregulation is a promising 5-FU cardiotoxicity prevention approach. RA pretreatment of 5-FU-injected mice significantly enhanced Nrf2 expression and HO-1 levels in myocardial tissues. These findings support previous reports regarding Nrf2 mediation in RA efficacy against CCl4-related liver injury (Lu et al., 2022), cisplatin-associated kidney and liver damage (Xiang et al., 2022), and chlorpyrifos-linked kidney injury (Abduh et al., 2023) in rodents. Similarly, another study stated that Nrf2 deletion restricted RA-based ROS suppression in hepatic stellate cells (HSCs) (Lu et al., 2017). Thus, RA-mediated Nrf2/HO-1 activation successfully contributed to its anti-inflammatory and antioxidant properties against 5-FU-induced mice cardiotoxicity.

Conclusions

The study demonstrates the ability of RA to attenuate 5-FU-induced cardiotoxicity in mice. RA modulated oxidative tissue injury, inflammation, and apoptosis to prevent 5-FU-induced cardiac injury. The results also revealed that positive RA impacts were linked to Nrf2/HO-1 restoration in myocardial tissues (Figure 7). Thus, it might have a protective role in the heart diseases associated with oxidative stress and inflammation. However, further investigations are necessary to unravel RA’s protective mechanism against 5-FU cardiotoxicity.

Figure 7. A schematic diagram of RA cardioprotection against 5-FU-induced cardiotoxicity in mice. RA ameliorated cellular redox levels, suppressed inflammatory response, mitigated apoptosis, and restored Nrf2/HO-1 pathway in mouse hearts.

Data Availability

All the data generated or analyzed during this study have been included in this manuscript.

Conflict of Interest

The author declares no conflict of interest.

Funding

None.

REFERENCES

Abduh, M.S., Alruhaimi, R.S., Alqhtani, H.A., Hussein, O.E., Abukhalil, M.H., Kamel, E.M., et al., 2023. Rosmarinic acid mitigates chlorpyrifos-induced oxidative stress, inflammation, and kidney injury in rats by modulating SIRT1 and Nrf2/HO-1 signaling. Life Sciences. 313: 121281. 10.1016/j.lfs.2022.121281

Aebi, H., 1984. Catalase in vitro. Methods in Enzymology. 105: 121–126. 10.1016/S0076-6879(84)05016-3

Afsar, T., Razak, S. and Almajwal, A., 2017. Acacia hydaspica ethyl acetate extract protects against cisplatin-induced DNA damage, oxidative stress and testicular injuries in adult male rats. BMC Cancer. 17: 1–14. 10.1186/s12885-017-3898-9

Aladaileh, S.H., Abukhalil, M.H., Saghir, S.A., Hanieh, H., Alfwuaires, M.A., Almaiman, A.A., et al., 2019. Galangin activates Nrf2 signaling and attenuates oxidative damage, inflammation, and apoptosis in a rat model of cyclophosphamide-induced hepatotoxicity. Biomolecules. 9: 346. 10.3390/biom9080346

Alaswad, H.A., Mahbub, A.A., Le Maitre, C.L. and Jordan-Mahy, N., 2021. Molecular action of polyphenols in leukaemia and their therapeutic potential. International Journal of Molecular Sciences. 22: 3085. 10.3390/ijms22063085

Al-khawaldeh, O., Al-Alami, Z.M., Althunibat, O.Y., Abuamara, T.M., Mihdawi, A. and Abukhalil, M.H., 2024. Rosmarinic acid attenuates testicular damage via modulating oxidative stress and apoptosis in streptozotocin-induced diabetic albino mice. Stresses. 4: 505–517. 10.3390/stresses4030032

Alter, P., Herzum, M., Soufi, M., Schaefer, J. and Maisch, B., 2006. Cardiotoxicity of 5-fluorouracil. Cardiovascular & Hematological Agents in Medicinal Chemistry (Formerly Current Medicinal Chemistry-Cardiovascular & Hematological Agents). 4: 1–5. 10.2174/187152506775268785

Althunibat, O.Y., Abduh, M.S., Abukhalil, M.H., Aladaileh, S.H., Hanieh, H. and Mahmoud, A.M., 2022. Umbelliferone prevents isoproterenol-induced myocardial injury by upregulating Nrf2/HO-1 signaling, and attenuating oxidative stress, inflammation, and cell death in rats. Biomedicine & Pharmacotherapy. 149: 112900. 10.1016/j.biopha.2022.112900

Anaka, M. and Abdel-Rahman, O., 2023. Managing 5FU cardiotoxicity in colorectal cancer treatment. Cancer Management and Research. 14: 273–285. 10.2147/CMAR.S273544

Arafah, A., Rehman, M.U., Ahmad, A., AlKharfy, K.M., Alqahtani, S., Jan, B.L., et al., 2022. Myricetin (3, 3', 4', 5, 5', 7-Hexahydroxyflavone) prevents 5-fluorouracil-induced cardiotoxicity. ACS Omega. 7: 4514–4524. 10.1021/acsomega.1c06475

Bodor, G.S., 2016. Biochemical markers of myocardial damage. EJIFCC. 27(2): 95.

Chen, J., Sun, X., Xia, T., Mao, Q. and Zhong, L., 2018. Pretreatment with dihydroquercetin, a dietary flavonoid, protected against concanavalin A-induced immunological hepatic injury in mice and TNF-α/ActD-induced apoptosis in HepG2 cells. Food & Function. 9: 2341–2352. 10.1039/C7FO01073G

Ding, C., Zhao, Y., Chen, X., Zheng, Y., Liu, W. and Liu, X., 2021. Taxifolin, a novel food, attenuates acute alcohol-induced liver injury in mice through regulating the NF-κB-mediated inflammation and PI3K/Akt signalling pathways. Pharmaceutical Biology. 59(1): 866–877. 10.1080/13880209.2021.1942504

Domitrović, R., Potočnjak, I., Crnčević-Orlić, Ž. and Škoda, M., 2014. Nephroprotective activities of rosmarinic acid against cisplatin-induced kidney injury in mice. Food and Chemical Toxicology. 66: 321–328. 10.1016/j.fct.2014.02.002

Ekeleme-Egedigwe, C.A., Famurewa, A.C., David, E.E., Eleazu, C.O. and Egedigwe, U.O., 2019. Antioxidant potential of garlic oil supplementation prevents cyclophosphamide-induced oxidative testicular damage and endocrine depletion in rats. Journal of Nutrition & Intermediary Metabolism. 18: 100109. 10.1016/j.jnim.2020.100109

El-Agamy, D.S., Elkablawy, M.A. and Abo-Haded, H.M., 2017. Modulation of cyclophosphamide-induced cardiotoxicity by methyl palmitate. Cancer Chemotherapy and Pharmacology. 79: 399–409. 10.1007/s00280-016-3233-1

El-Tanbouly, D., Zaki, H., Abdelsalam, R. and Zaki, A., 2019. Anti-inflammatory and anti-apoptotic potentials of apigenin against liver injury induced by ischemia-reperfusion in rats. Bulletin of Faculty of Pharmacy, Cairo University. 57: 46–54. 10.21608/bfpc.2019.13703.1040

Fiordelisi, A., Iaccarino, G., Morisco, C., Coscioni, E. and Sorriento, D., 2019. NFkappaB is a key player in the crosstalk between inflammation and cardiovascular diseases. International Journal of Molecular Sciences. 20: 1599. 10.3390/ijms20071599

Focaccetti, C., Bruno, A., Magnani, E., Bartolini, D., Principi, E., Dallaglio, K., et al., 2015. Effects of 5-fluorouracil on morphology, cell cycle, proliferation, apoptosis, autophagy and ROS production in endothelial cells and cardiomyocytes. PLoS One. 10: e0115686. 10.1371/journal.pone.0115686

Frezza, C., Venditti, A., Serafini, M., Bianco, A., 2019. Phytochemistry, chemotaxonomy, ethnopharmacology, and nutraceutics of Lamiaceae. Studies in Natural Products Chemistry. 62: 125–178. 10.1016/B978-0-444-64185-4.00004-6

Gautam, R.K., Gupta, G., Sharma, S., Hatware, K., Patil, K., Sharma, K., et al., 2019. Rosmarinic acid attenuates inflammation in experimentally induced arthritis in Wistar rats, using Freund’s complete adjuvant. International Journal of Rheumatic Diseases. 22: 1247–1254. 10.1111/1756-185X.13602

Ghobadi, E., Moloudizargari, M., Asghari, M.H. and Abdollahi, M., 2017. The mechanisms of cyclophosphamide-induced testicular toxicity and the protective agents. Expert Opinion on Drug Metabolism & Toxicology. 13: 525–536. 10.1080/17425255.2017.1277205

González-Rodríguez, A., Cobo, J., Soria, V., Usall, J., Garcia-Rizo, C., Bioque, M., et al., 2020. Women undergoing hormonal treatments for infertility: A systematic review on psychopathology and newly diagnosed mood and psychotic disorders. Frontiers in Psychiatry. 11: 479. 10.3389/fpsyt.2020.00479

Griffith, O.W., 1980. Determination of glutathione and glutathione disulfide using glutathione reductase and 2-vinylpyridine. Analytical Biochemistry. 106: 207–212. 10.1016/0003-2697(80)90139-6

Hamzeh, M., Hosseinimehr, S.J., Karimpour, A., Mohammadi, H.R., Khalatbary, A.R. and Amiri, F.T., 2019. Cerium oxide nanoparticles protect cyclophosphamide-induced testicular toxicity in mice. International Journal of Preventive Medicine. 10: 5. 10.4103/ijpvm.IJPVM_184_18

Hashem, S., Ali, T.A., Akhtar, S., Nisar, S., Sageena, G., Ali, S., et al., 2022. Targeting cancer signaling pathways by natural products: Exploring promising anti-cancer agents. Biomedicine & Pharmacotherapy. 150: 113054. 10.1016/j.biopha.2022.113054

Jensen, S.A. and Sørensen, J.B., 2006. Risk factors and prevention of cardiotoxicity induced by 5-fluorouracil or capecitabine. Cancer Chemotherapy and Pharmacology. 58: 487–493. 10.1007/s00280-005-0178-1

Jeon YuJin, J.Y., Song KyungSik, S.K., Han HoJae, H.H., Park SooHyun, P.S., Chang WooChul, C.W. and Lee MinYoung, L.M., 2014. Rosmarinic acid inhibits chemical hypoxia-induced cytotoxicity in primary cultured rat hepatocytes. Archives of Pharmacal Research. 37(7): 907–915. 10.1007/s12272-013-0234-z

Kenney, L.B., Laufer, M.R., Grant, F.D., Grier, H. and Diller, L., 2001. High risk of infertility and long-term gonadal damage in males treated with high dose cyclophosphamide for sarcoma during childhood. Cancer. 91: 613–621. 10.1002/1097-0142(20010201)91:3<613::AID-CNCR1042>3.0.CO;2-R

Khalaf, A.A., Hassanen, E.I., Ibrahim, M.A., Tohamy, A.F., Aboseada, M.A., Hassan, H.M., et al., 2020. Rosmarinic acid attenuates chromium-induced hepatic and renal oxidative damage and DNA damage in rats. Journal of Biochemical and Molecular Toxicology. 34: e22579. 10.1002/jbt.22579

Khamis, T., Hegazy, A.A., El-Fatah, S.S.A., Abdelfattah, E.R., Abdelfattah, M.M.M., Fericean, L.M., et al., 2023. Hesperidin mitigates cyclophosphamide-induced testicular dysfunction via altering the hypothalamic pituitary gonadal axis and testicular steroidogenesis, inflammation, and apoptosis in male rats. Pharmaceuticals. 16: 301. 10.3390/ph16020301

Kim, C.-W. and Choi, K.-C., 2021. Effects of anticancer drugs on the cardiac mitochondrial toxicity and their underlying mechanisms for novel cardiac protective strategies. Life Sciences. 277: 119607. 10.1016/j.lfs.2021.119607

Kim, D.-S., Kim, H.-R., Woo, E.-R., Hong, S.-T., Chae, H.-J. and Chae, S.-W., 2005. Inhibitory effects of rosmarinic acid on adriamycin-induced apoptosis in H9c2 cardiac muscle cells by inhibiting reactive oxygen species and the activations of c-Jun N-terminal kinase and extracellular signal-regulated kinase. Biochemical Pharmacology. 70: 1066–1078. 10.1016/j.bcp.2005.06.026

Kurutas, E.B., 2015. The importance of antioxidants which play the role in cellular response against oxidative/nitrosative stress: Current state. Nutrition Journal. 15: 1–22. 10.1186/s12937-016-0186-5

Lamberti, M., Porto, S., Marra, M., Zappavigna, S., Grimaldi, A., Feola, D., et al., 2012. 5-Fluorouracil induces apoptosis in rat cardiocytes through intracellular oxidative stress. Journal of Experimental & Clinical Cancer Research. 31: 1–8. 10.1186/1756-9966-31-60

Levine, R.L., Garland, D., Oliver, C.N., Amici, A., Climent, I., Lenz, A.-G., et al., 1990. Determination of carbonyl content in oxidatively modified proteins. Methods in enzymology. 186: 464–478. 10.1016/0076-6879(90)86141-H

Li, D., Song, C., Zhang, J. and Zhao, X., 2023a. Resveratrol alleviated 5-FU-induced cardiotoxicity by attenuating GPX4-dependent ferroptosis. The Journal of Nutritional Biochemistry. 112: 109241. 10.1016/j.jnutbio.2022.109241

Li, S., Wang, W., Niu, T., Wang, H., Li, B., Shao, L., et al., 2014a. Nrf2 deficiency exaggerates doxorubicin-induced cardiotoxicity and cardiac dysfunction. Oxidative Medicine and Cellular Longevity. 2014: 748524. 10.1155/2014/748524

Li, X.-L., Liu, J.-X., Li, P. and Zheng, Y.-Q., 2014b. Protective effect of rosmarinic acid on hypoxia/reoxygenation injury in cardiomyocytes. Zhongguo Zhong yao za zhi= Zhongguo zhongyao zazhi= China Journal of Chinese Materia Medica. 39: 1897–1901.

Li, X., Xie, H., Jiang, Q., Wei, G., Lin, L., Li, C., et al., 2017. The mechanism of (+) taxifolin’s protective antioxidant effect for OH-treated bone marrow-derived mesenchymal stem cells. Cellular & Molecular Biology Letters. 22: 1–11. 10.1186/s11658-017-0066-9

Li, Y., Wu, Y., Ning, Z. and Li, X., 2023b. Echinacoside ameliorates 5-fluorouracil-induced endothelial injury and senescence through SIRT1 activation. International Immunopharmacology. 120: 110279. 10.1016/j.intimp.2023.110279

Lokman, M.S., Althagafi, H.A., Alharthi, F., Habotta, O.A., Hassan, A.A., Elhefny, M.A., et al., 2023. Protective effect of quercetin against 5-fluorouracil-induced cardiac impairments through activating Nrf2 and inhibiting NF-κB and caspase-3 activities. Environmental Science and Pollution Research. 30: 17657–17669. 10.1007/s11356-022-23314-z

Lu, C., Zou, Y., Liu, Y. and Niu, Y., 2017. Rosmarinic acid counteracts activation of hepatic stellate cells via inhibiting the ROS-dependent MMP-2 activity: Involvement of Nrf2 antioxidant system. Toxicology and Applied Pharmacology. 318: 69–78. 10.1016/j.taap.2017.01.008

Lu, Y.-h., Hong, Y., Zhang, T.-y., Chen, Y.-x., Wei, Z.-j. and Gao, C.-y., 2022. Rosmarinic acid exerts anti-inflammatory effect and relieves oxidative stress via Nrf2 activation in carbon tetrachloride-induced liver damage. Food & Nutrition Research. 66. 10.29219/fnr.v66.8359

Matsubara, I., Kamiya, J. and Imai, S., 1980. Cardiotoxic effects of 5-fluorouracil in the guinea pig. The Japanese Journal of Pharmacology. 30: 871–879. 10.1016/S0021-5198(19)52945-6

Mishra, P.K., Adameova, A., Hill, J.A., Baines, C.P., Kang, P.M., Downey, J.M., et al., 2019. Guidelines for evaluating myocardial cell death. American Journal of Physiology-Heart and Circulatory Physiology. 317(5): H891–H922. 10.1152/ajpheart.00259.2019

More, L.A., Lane, S. and Asnani, A., 2021. 5-FU cardiotoxicity: Vasospasm, myocarditis, and sudden death. Current Cardiology Reports. 23: 1–8. 10.1007/s11886-021-01441-2

Muhammad, R.N., Sallam, N. and El-Abhar, H.S., 2020. Activated ROCK/Akt/eNOS and ET-1/ERK pathways in 5-fluorouracil-induced cardiotoxicity: Modulation by simvastatin. Scientific Reports. 10: 14693. 10.1038/s41598-020-71531-8

Nishikimi, M., Rao, N.A. and Yagi, K., 1972. The occurrence of superoxide anion in the reaction of reduced phenazine methosulfate and molecular oxygen. Biochemical and Biophysical Research Communications. 46: 849–854. 10.1016/S0006-291X(72)80218-3

Noor, S., Mohammad, T., Rub, M.A., Raza, A., Azum, N., Yadav, D.K., et al., 2022. Biomedical features and therapeutic potential of rosmarinic acid. Archives of Pharmacal Research. 45: 205–228. 10.1007/s12272-022-01378-2

Obeidat, H.M., Althunibat, O.Y., Alfwuaires, M.A., Aladaileh, S.H., Algefare, A.I., Almuqati, A.F., et al., 2022. Cardioprotective effect of taxifolin against isoproterenol-induced cardiac injury through decreasing oxidative stress, inflammation, and cell death, and activating Nrf2/HO-1 in mice. Biomolecules. 12: 1546. 10.3390/biom12111546

Ohkawa, H., Ohishi, N. and Yagi, K., 1979. Assay for lipid peroxides in animal tissues by thiobarbituric acid reaction. Analytical Biochemistry. 95: 351–358. 10.1016/0003-2697(79)90738-3

Potnuri, A.G., Allakonda, L. and Lahkar, M., 2018. Crocin attenuates cyclophosphamide induced testicular toxicity by preserving glutathione redox system. Biomedicine & Pharmacotherapy. 101: 174–180. 10.1016/j.biopha.2018.02.068

Quan, W., Liu, H.-x., Zhang, W., Lou, W.-j., Gong, Y.-z., Yuan, C., et al., 2021. Cardioprotective effect of rosmarinic acid against myocardial ischaemia/reperfusion injury via suppression of the NF-κB inflammatory signalling pathway and ROS production in mice. Pharmaceutical Biology. 59: 220–229. 10.1080/13880209.2021.1878236

Rahbardar, M.G., Eisvand, F., Rameshrad, M., Razavi, B.M. and Hosseinzadeh, H., 2022. In vivo and in vitro protective effects of rosmarinic acid against doxorubicin-induced cardiotoxicity. Nutrition and Cancer. 74: 747–760. 10.1080/01635581.2021.1931362

Ramalho, L.N.Z., Pasta, Â.A.C., Terra, V.A., Augusto, M.J., Sanches, S.C., Souza-Neto, F.P., et al., 2014. Rosmarinic acid attenuates hepatic ischemia and reperfusion injury in rats. Food and Chemical Toxicology. 74: 270–278. 10.1016/j.fct.2014.10.004

Roy, A., Khan, A., Ahmad, I., Alghamdi, S., Rajab, B.S., Babalghith, A.O., et al., 2022. Flavonoids a bioactive compound from medicinal plants and its therapeutic applications. BioMed Research International. 2022: 5445291. 10.1155/2022/5445291

Safarpour, S., Pirzadeh, M., Ebrahimpour, A., Shirafkan, F., Madani, F., Hosseini, M., et al., 2022. Protective effect of kaempferol and its nanoparticles on 5-fluorouracil-induced cardiotoxicity in rats. BioMed Research International. 2022: 2273000. 10.1155/2022/2273000

Saha, S., Buttari, B., Panieri, E., Profumo, E. and Saso, L., 2020. An overview of Nrf2 signaling pathway and its role in inflammation. Molecules. 25: 5474. 10.3390/molecules25225474

Sara, J.D., Kaur, J., Khodadadi, R., Rehman, M., Lobo, R., Chakrabarti, S., et al., 2018. 5-fluorouracil and cardiotoxicity: A review. Therapeutic Advances in Medical Oncology. 10: 1758835918780140. 10.1177/1758835918780140

Satta, S., Mahmoud, A.M., Wilkinson, F.L., Yvonne Alexander, M. and White, S.J., 2017. The role of Nrf2 in cardiovascular function and disease. Oxidative Medicine and Cellular Longevity. 2017: 9237263. 10.1155/2017/9237263

Searle, T., Al-Niaimi, F. and Ali, F.R., 2021. 5-fluorouracil in dermatology: the diverse uses beyond malignant and premalignant skin disease. Dermatologic Surgery. 47: e66–e70. 10.1097/DSS.0000000000002879

Sedky, A., Mahboub, F., Elsawy, H. and Eid, R., 2017. Protective potential of quercetin on Cd-induced hepatorenal damage. Polish Journal of Environmental Studies. 26(5): 2197–2205. 10.15244/pjoes/68954

Shamsudin, N.F., Ahmed, Q.U., Mahmood, S., Ali Shah, S.A., Khatib, A., Mukhtar, S., et al., 2022. Antibacterial effects of flavonoids and their structure-activity relationship study: A comparative interpretation. Molecules. 27: 1149. 10.3390/molecules27041149

Shariatinia, Z. and Mazloom-Jalali, A., 2020. Molecular dynamics simulations on chitosan/graphene nanocomposites as anticancer drug delivery using systems. Chinese Journal of Physics. 66: 362–382. 10.1016/j.cjph.2020.04.012

Sheweita, S.A., El-Hosseiny, L.S. and Nashashibi, M.A., 2016. Protective effects of essential oils as natural antioxidants against hepatotoxicity induced by cyclophosphamide in mice. PLoS One. 11: e0165667. 10.1371/journal.pone.0165667

Sorrentino, M.F., Kim, J., Foderaro, A.E. and Truesdell, A.G., 2012. 5-fluorouracil induced cardiotoxicity: Review of the literature. Cardiology Journal. 19: 453–457. 10.5603/CJ.2012.0084

Sravathi, V., Supriya, R., Yadala, R., Bora, S., Deepa, P., Vasavi, K., et al., 2023. 5-Fluorouracil-induced cardiotoxicity: An updated brief review. The Pharma Innovation Journal. SP-12(9): 1178–1186.

Stewart, T., Pavlakis, N. and Ward, M., 2010. Cardiotoxicity with 5-fluorouracil and capecitabine: More than just vasospastic angina. Internal Medicine Journal. 40: 303–307. 10.1111/j.1445-5994.2009.02144.x

Thomas, T.P. and Grisanti, L.A., 2020. The dynamic interplay between cardiac inflammation and fibrosis. Frontiers in Physiology. 11: 529075. 10.3389/fphys.2020.529075

Vassilakopoulou, M., Boostandoost, E., Papaxoinis, G., Rouge, T.d.L.M., Khayat, D. and Psyrri, A., 2016. Anticancer treatment and fertility: Effect of therapeutic modalities on reproductive system and functions. Critical Reviews in Oncology/Hematology. 97: 328–334. 10.1016/j.critrevonc.2015.08.002

Wang, Y., Yang, J. and Yi, J., 2012. Redox sensing by proteins: Oxidative modifications on cysteines and the consequent events. Antioxidants & Redox Signaling. 16: 649–657. 10.1089/ars.2011.4313

Wardyn, J.D., Ponsford, A.H. and Sanderson, C.M., 2015. Dissecting molecular cross-talk between Nrf2 and NF-κB response pathways. Biochemical Society Transactions. 43: 621–626. 10.1042/BST20150014

Xiang, Y., Ji, M., Wu, L., Lv, L., Liang, Q., Deng, R., et al., 2022. Rosmarinic acid prevents cisplatin-induced liver and kidney injury by inhibiting inflammatory responses and enhancing total antioxidant capacity, thereby activating the Nrf2 signaling pathway. Molecules. 27: 7815. 10.3390/molecules27227815

Yu, Y., Wu, Y., Yan, H.-z., Xia, Z.-r., Wen, W., Liu, D.-y., et al., 2021. Rosmarinic acid ameliorates acetaminophen-induced acute liver injury in mice via RACK1/TNF-α mediated antioxidant effect. Pharmaceutical Biology. 59: 1284–1291. 10.1080/13880209.2021.1974059

Zhang, X., Ma, Z.-G., Yuan, Y.-P., Xu, S.-C., Wei, W.-Y., Song, P., et al., 2018. Rosmarinic acid attenuates cardiac fibrosis following long-term pressure overload via AMPKα/Smad3 signaling. Cell Death & Disease. 9: 102. 10.1038/s41419-017-0123-3

Zhang, X., Zhu, J.-X., Ma, Z.-G., Wu, H.-M., Xu, S.-C., Song, P., et al., 2019. Rosmarinic acid alleviates cardiomyocyte apoptosis via cardiac fibroblast in doxorubicin-induced cardiotoxicity. International Journal of Biological Sciences. 15: 556. 10.7150/ijbs.29907

Zhang, Z., Li, X., Sang, S., McClements, D.J., Chen, L., Long, J., et al., 2022. Polyphenols as plant-based nutraceuticals: Health effects, encapsulation, nano-delivery, and application. Foods. 11: 2189. 10.3390/foods11152189

Zhazykbayeva, S., Pabel, S., Mügge, A., Sossalla, S. and Hamdani, N., 2020. The molecular mechanisms associated with the physiological responses to inflammation and oxidative stress in cardiovascular diseases. Biophysical Reviews. 12: 947–968. 10.1007/s12551-020-00742-0

Zych, M., Wojnar, W., Borymski, S., Szałabska, K., Bramora, P. and Kaczmarczyk-Sedlak, I., 2019. Effect of rosmarinic acid and sinapic acid on oxidative stress parameters in the cardiac tissue and serum of type 2 diabetic female rats. Antioxidants. 8: 579. 10.3390/antiox8120579